拔牙正畸是口腔正畸治疗中一种常见的手段,很多人听到“拔牙”可能会感到紧张,担心影响牙齿健康或面部美观,但实际上在特定情况下,拔牙是为牙齿排列和咬合功能创造更好条件的关键步骤,今天我们就来详细聊聊“拔了一个牙正畸”背后的逻辑、流程和注意事项,帮助大家全面了解这一治疗方式。
为什么正畸有时需要拔牙?
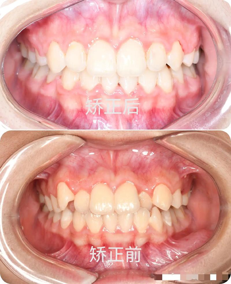
牙齿在口腔中的排列需要足够的空间,当颌骨空间不足、牙齿数量过多,或存在咬合、面部轮廓等问题时,单纯靠移动现有牙齿可能无法达到理想效果,此时就需要通过拔牙“释放”空间,拔牙并非随意为之,而是正畸医生基于全面的口腔检查(包括X光片、模型、头影测量等)后,严格评估的必要治疗手段。

常见的需要拔牙正畸的情况主要有三类:
一是牙齿严重拥挤,现有牙齿排列过于密集,导致牙齿扭转、重叠,甚至无法正常萌出,虎牙”(尖牙)被挤压在后面无法长到正常位置;二是牙齿前突(俗称“龅牙”),上下牙弓前突导致嘴唇前翘,影响面部美观,拔牙后可以通过内收前牙改善唇部形态;三是咬合问题,如深覆合(上牙盖住下牙过多)、深覆盖(上牙前突超出下牙过多),或存在锁颌、反颌(地包天)等异常,拔牙有助于调整上下牙弓的对应关系,建立稳定的咬合。
需要强调的是,是否拔牙、拔哪颗牙,正畸医生会根据患者的具体情况综合判断,并非“拔牙越多效果越好”,对于轻中度拥挤的患者,可能通过扩大牙弓、磨改牙齿等方式解决,无需拔牙;而对于重度拥挤或前突明显的患者,拔牙反而是实现“健康、功能、美观”统一的最优解。
拔哪颗牙?为什么通常拔前磨牙?
如果确定需要拔牙,正畸医生最常选择拔除的是第一前磨牙(位于尖牙和第一磨牙之间,也就是从门牙数第4颗或第5颗牙),少数情况下会拔除第二前磨牙或智齿,选择前磨牙主要有三个原因:
前磨牙位于牙弓的中段,拔除后可以为前牙(门牙、尖牙)和后牙(磨牙)的移动提供均衡的空间,比如解决拥挤时,可以利用拔牙间隙排齐前牙;解决前突时,可以用间隙内收前牙;调整咬合时,则可以移动后牙建立稳定的尖窝关系。

前磨牙的咀嚼功能小于磨牙,拔除后对口腔咀嚼功能的影响较小,磨牙(如第一、第二磨牙)是主要的咀嚼牙齿,承担着研磨食物的重要任务,除非是因严重龋坏(蛀牙)等问题无法保留,否则一般会尽量保留。
前磨牙的牙根形态相对简单(通常是单根或双根),拔除难度较低,术后恢复较快,对邻牙和牙周组织的损伤较小。
具体拔哪颗牙还需结合牙齿的形态、位置、牙周健康状况等,如果某颗前磨牙本身有严重的龋坏、根尖病变或牙周问题,医生可能会优先选择拔除这颗患牙,既解决了牙齿问题,又为正畸创造了空间,实现“一箭双雕”。
拔牙后的正畸流程是怎样的?
拔牙正畸并非“拔完牙就不管了”,而是需要系统的正畸治疗配合,整个流程通常包括拔牙前准备、拔牙后初期、牙齿移动阶段和保持阶段四个环节,全程可能持续1.5-3年(具体时间因人而异)。

拔牙前准备:在拔牙前,正畸医生会完成详细的检查和方案设计,包括拍摄全景片、头颅侧位片,取牙齿模型等,通过测量分析牙齿拥挤度、面部突度、咬合关系等,确定是否需要拔牙、拔哪几颗牙,以及拔牙后牙齿的移动计划,会进行口腔清洁(如洗牙)、治疗龋齿、控制牙周炎等,确保口腔处于健康状态,为后续正畸治疗打下基础。
拔牙后初期(1-2周):拔牙后需要等待拔牙窝愈合,通常7-10天拔牙窝内会形成血凝块,逐渐被肉芽组织替代,2周左右基本愈合,这一阶段需要注意口腔卫生,拔牙后24小时内不要漱口、刷牙,避免吮吸或触碰拔牙窝,以免破坏血凝块导致“干槽症”(一种拔牙后并发症,表现为剧烈疼痛、拔牙窝内空虚、有腐败臭味),术后2周可开始正常刷牙,但动作要轻柔,避免刺激拔牙窝,遵医嘱服用止痛药、消炎药,避免吃过硬、过热或刺激性食物。
牙齿移动阶段(数月-2年):拔牙窝愈合后,正畸医生会开始安装矫治器(如传统托槽矫治器、隐形矫治器等),通过施加持续、轻柔的力,将牙齿移动到预定位置,这一阶段是正畸的核心,医生会根据方案调整牙齿:对于拥挤的患者,会将倾斜的牙齿直立,利用拔牙间隙排齐;对于前突的患者,会整体内收前牙,改善嘴唇突度;对于咬合异常的患者,会调整后牙位置,建立正常的尖窝关系,移动过程中需要定期复诊(通常4-6周一次),医生会检查牙齿移动情况,更换弓丝或调整矫治器,确保牙齿按计划移动。
保持阶段(6个月-数年):当牙齿排列和咬合关系达到理想状态后,拆除矫治器,进入保持阶段,此时需要佩戴保持器(如透明保持器、 Hawley保持器等),因为牙齿在新的位置上尚未稳定,牙周组织(牙槽骨、牙龈)需要时间改建,以适应新的咬合关系,保持器的佩戴时间因人而异,通常最初需要全天佩戴(除吃饭、刷牙外),6个月后逐渐减少为夜间佩戴,之后可能需要长期夜间佩戴,以防牙齿复发。
拔牙正畸的注意事项
拔牙正畸过程中,患者的配合对治疗效果至关重要,需要注意以下几点:
口腔卫生是关键:戴矫治器后,牙齿和托槽之间容易残留食物残渣,如果清洁不彻底,会导致龋齿、牙龈炎、牙周炎等问题,甚至影响牙齿移动,需要使用正畸专用牙刷(如小头牙刷)、牙缝刷、冲牙器等工具,每天至少刷牙3次,每次3分钟,确保牙齿表面、托槽周围清洁无死角;饭后及时漱口,必要时使用牙线清洁邻面。
饮食调整需重视:拔牙初期(1-2周)吃温凉、软烂的食物,如粥、面条、酸奶等,避免用拔牙侧咀嚼;戴矫治器后,避免吃过硬(如坚果、骨头)、过黏(如口香糖、年糕)、带壳(如虾蟹、瓜子)的食物,以免损坏矫治器或导致托槽脱落,影响治疗进程。
复诊不能随意拖延:正畸治疗需要医生定期监控牙齿移动情况,调整矫治力,如果随意推迟复诊,可能导致牙齿移动偏离计划,延长治疗时间,甚至影响最终效果,如果出现矫治器脱落、弓丝刺嘴等特殊情况,需及时联系医生处理。
保持耐心,避免焦虑:拔牙正畸是一个“循序渐进”的过程,牙齿移动速度有限(通常每月移动1mm左右),初期可能会感到牙齿酸胀、疼痛(一般持续3-5天,逐渐缓解),这些都是正常现象,不必过于焦虑,要相信专业医生,严格按照方案进行治疗,不要急于求成。
拔牙正畸会影响牙齿健康和面部美观吗?
这是很多人最关心的问题,规范的拔牙正畸不仅不会损害牙齿健康,反而能改善牙齿和牙周的健康状况:通过排齐牙齿,消除食物嵌塞(牙缝容易塞食物)的问题,减少龋齿和牙周炎的风险;通过调整咬合,减轻牙齿的异常磨损和颞下颌关节(下巴关节)的负担。
在面部美观方面,拔牙正畸能显著改善“龅牙”、“地包天”、“面部不对称”等问题,使面部轮廓更协调,对于前突明显的患者,拔牙后内收前牙,嘴唇会自然回收,从侧面看面部线条更柔和;对于拥挤导致的面部“凹陷”,排齐牙齿后,面部饱满度会改善,具体效果取决于患者的原始基础、治疗方案和医生的技术,治疗前医生会通过数字化模拟(如DSD设计)让患者大致了解预期效果。
相关问答FAQs
Q1:拔牙正畸会让牙齿松动甚至脱落吗?
A:不会,正畸治疗中牙齿的移动是在生理范围内的,牙齿周围的组织(牙槽骨、牙周膜)会随着牙齿移动改建,就像“树移栽”一样,土壤会重新包裹树根,治疗过程中牙齿可能会有轻微松动(这是移动的正常表现),但治疗结束后,随着牙槽骨的稳定,牙齿会重新稳固,只要规范治疗、保持口腔卫生,牙齿不会因为正畸而脱落。
Q2:拔牙后面部会塌陷、显老吗?
A:通常不会,正拔牙拔除的是前磨牙,位于牙弓中段,拔除后主要利用间隙调整前牙和后牙的位置,而非“减少牙齿数量”,对于需要内收前牙的患者,拔牙后嘴唇回收,反而能改善“凸面型”,使面部更协调;对于拥挤的患者,排齐牙齿后面部饱满度会更好,只有在极端情况下(如拔除过多牙齿且未合理移动),才可能出现面部塌陷,但正规正畸医生会严格把控拔牙数量和间隙利用,避免这种情况发生。
