露龈笑是指微笑时上牙龈过度暴露,通常指上颌中切牙牙龈缘超过牙齿切缘2mm以上,影响面部美观和心理健康,近年来,随着正畸治疗的普及,部分患者在正畸后出现或加重露龈笑的情况,引发广泛关注,正畸治疗本是矫正牙齿排列、改善咬合关系的手段,为何会导致露龈笑?这需要从正畸原理、个体差异及治疗细节等多方面分析。
正畸导致露龈笑的常见原因
正畸治疗通过施加持续、轻柔的力,引导牙齿在牙槽骨中移动,从而达到排齐牙齿、调整咬合的目的,牙齿移动的方向、速度及周围组织的变化,都可能影响牙龈缘的位置,进而导致露龈笑,具体原因可分为以下几类:

牙齿垂直向移动控制不当
正畸过程中,若对牙齿垂直向移动的力度或方向把握失误,可能引发前牙伸长或牙槽骨改建异常,在使用摇椅弓、垂直曲等矫正装置时,若力量过大或持续时间过长,可能导致前牙牙冠过度伸长,牙根位置相对靠上,牙龈缘随牙齿移动而暴露增多,对于本身存在“深覆合”(上牙覆盖下牙过多)的患者,矫正中若过度打开咬合,也可能使前牙牙槽骨垂直向改建,导致牙龈缘位置降低。
骨性问题未被充分识别
部分露龈笑患者存在潜在的骨性因素,如上颌前牙区牙槽骨垂直高度过大、上颌骨垂直向发育过度(俗称“长面型”),或下颌平面角过大(面部垂直距离长),这类患者在正畸前若未通过头颅侧位片、曲面断层片等影像学检查充分评估,盲目进行牙齿排齐,可能因骨性支撑不足,导致牙齿移动后牙龈缘暴露更明显,长面型患者本身前牙区牙槽骨高度就较高,正畸中若未控制牙齿垂直向移动,牙龈暴露量可能进一步增加。
牙龈组织异常
牙龈的健康状态和生物学特性是影响牙龈位置的关键,正畸过程中,若患者口腔卫生维护不当,可能引发牙龈炎、牙周炎,导致牙龈增生或退缩,托槽、弓丝等矫治器周围若清洁不彻底,易堆积菌斑,刺激牙龈组织增生,使牙龈缘肿胀、肥厚,微笑时显得“牙龈过多”,部分患者牙龈本身较薄,牙槽骨吸收后牙龈易随牙齿移动而退缩,但这种情况相对少见,更多见于正畸后牙龈退缩导致的“黑三角”而非露龈笑。
矫治方案设计缺陷
正畸方案的个性化设计至关重要,若医生未充分考虑患者的微笑线、面部比例及牙齿代偿情况,可能导致治疗结果偏离预期,对于微笑时上唇提肌力量过强(自然状态下上唇上移幅度大)的患者,若仅关注牙齿排齐而未设计“控根移动”(控制牙根位置),牙齿牙冠可能过度唇倾,牙龈缘随之暴露增多,支抗设计不当(如下颌支抗不足导致下颌后移,上颌前牙代偿性前倾)也可能间接引发露龈笑。

个体差异与软组织代偿
每个人的面部软组织(如上唇长度、肌肉张力)和硬组织(如牙槽骨形态、牙齿形态)存在差异,正畸中牙齿移动后,周围软组织会进行代偿性调整,但若代偿不足或过度,可能影响牙龈缘位置,上唇较短的患者,即使牙齿位置正常,微笑时也可能因上唇上移幅度过大而暴露牙龈;正畸中若牙齿垂直向移动未与上唇长度匹配,可能加重露龈笑。
如何预防正畸导致的露龈笑?
露龈笑的预防需贯穿正畸治疗全程,从术前评估到方案设计,再到治疗监控,每个环节都需精细化操作:
术前全面评估是基础
正畸前需通过临床检查和影像学检查,明确是否存在骨性、软组织或牙龈问题,临床检查包括测量牙龈厚度(用牙周探针或超声骨刀探查)、评估牙龈生物类型(薄龈型更易退缩)、记录微笑时上唇上移幅度(自然微笑和最大微笑时的牙龈暴露量);影像学检查需拍摄头颅侧位片(分析上颌骨垂直向发育、牙槽骨高度)、曲面断层片(观察牙根位置及牙槽骨形态)、CBCT(三维评估牙槽骨厚度和形态),对于存在骨性问题的患者,需联合正颌外科评估是否需要术前或术后正畸联合治疗。
个性化方案设计是核心
根据评估结果制定针对性方案:对于骨性因素导致的露龈笑(如上颌垂直发育过度),需优先考虑正畸-正颌联合治疗,通过手术缩短上颌牙槽骨垂直高度,再配合正畸调整牙齿位置;对于牙齿垂直向移动风险高的患者(如深覆合患者),需设计“垂直向控制”方案,如使用种植体支抗(微种植钉)压低前牙,避免前牙伸长,同时配合摇椅弓或垂直曲精细调整咬合;对于微笑线异常的患者,需结合上唇长度设计牙齿移动终点,确保牙龈缘位置与上唇协调。

精细化操作与过程监控是保障
正畸中需严格控制牙齿移动的方向和速度:托槽粘贴位置需精准,通常将上颌中切牙托槽高度控制在牙冠长度的1/3-1/2(根据牙龈生物类型调整),避免托槽过高导致牙冠过度伸长;使用轻柔持续的矫治力,避免“快速移动牙齿”引发牙槽骨吸收和牙龈退缩;每3-6个月定期复查,拍摄口内照片和X线片,监测牙齿位置、牙龈状况及牙槽骨改建情况,及时调整方案(如发现前牙伸长趋势,可加强垂直向牵引或调整弓丝力量)。
口腔卫生维护与医患沟通是关键
正畸中患者需严格保持口腔卫生,使用正畸专用牙刷、牙缝刷、冲牙器等清洁矫治器周围,预防牙龈炎和牙周炎;医生需与患者充分沟通,告知正畸过程中牙龈位置变化的可能性及应对措施,提高患者依从性,避免因口腔卫生问题导致牙龈增生。
正畸后出现露龈笑的应对措施
若正畸后已出现露龈笑,需根据严重程度和成因选择合适的处理方式:
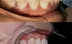
轻度露龈笑(牙龈暴露2-4mm)
可通过调整矫治方案改善:继续使用种植体支抗压低前牙,或通过“匣形曲”等装置内收前牙,改善牙冠倾斜度;配合肌肉训练(如每天练习上唇向下牵拉,增强上唇降肌力量),减少微笑时上唇上移幅度,治疗周期通常为6-12个月,需定期监控牙龈位置变化。
中度露龈笑(牙龈暴露4-6mm)
需联合牙周手术治疗:对于牙龈增生导致的露龈笑,可行“牙龈切除术”,切除多余牙龈组织,重塑牙龈缘形态;对于牙槽骨高度异常的患者,可行“牙槽骨修整术”,降低过高的牙槽嵴,使牙龈缘与牙齿位置协调,手术需在正畸治疗结束后进行,确保牙齿位置稳定,通常术后3-6个月牙龈形态稳定。
重度露龈笑(牙龈暴露>6mm)或骨性因素主导
需正畸-正颌-牙周联合治疗:先通过正畸调整牙齿位置,再行正颌手术(如上颌Le Fort I型手术垂直向缩短牙槽骨),最后通过牙周手术修整牙龈形态,必要时配合修复治疗(如贴面、冠修复)调整牙齿形态,改善微笑效果,此类治疗周期较长(通常2-3年),需多学科协作,但效果显著且稳定。
预防正畸露龈笑的要点总结
| 预防环节 | 具体措施 | 注意事项 |
|---|---|---|
| 术前评估 | 临床检查(牙龈厚度、微笑线)+影像学检查(头颅侧位片、CBCT) | 重点识别骨性问题和牙龈生物类型,避免漏诊 |
| 方案设计 | 个性化垂直向控制(种植体支抗、摇椅弓),结合上唇长度设计牙齿移动终点 | 避免过度追求排齐而忽视牙龈位置,尤其对长面型患者 |
| 过程监控 | 每3-6个月复查,监测牙齿位置、牙龈状况,及时调整矫治力 | 使用口内照片和X线片对比治疗前后变化,避免牙齿垂直向失控 |
| 口腔卫生维护 | 正畸专用工具(正畸牙刷、牙缝刷、冲牙器),定期牙周洁治 | 减少牙龈炎和牙周炎风险,预防牙龈增生 |
相关问答FAQs
Q1:正畸后出现露龈笑,一定是医生操作不当吗?
A:不一定,露龈笑的成因复杂,包括骨性因素(如上颌垂直发育过度)、牙龈组织异常(如牙龈增生)、个体差异(如上唇较短、肌肉张力大)等,这些可能在正畸前未被充分识别,治疗过程中患者口腔卫生维护不当(导致牙龈增生)、牙齿移动的不可预测性(如牙槽骨改建差异)也可能引发露龈笑,医生在方案设计(如未控制垂直向移动)、技术操作(如托槽定位不准)上的不足会增加风险,需综合判断,不能简单归咎于医生。
Q2:露龈笑矫正后,牙龈会再次退缩或增生吗?
A:存在一定可能性,但取决于矫正方式和术后维护,若仅通过正畸调整牙齿位置,牙龈通常能稳定;若涉及牙周手术(如牙龈切除术),术后需严格保持口腔卫生,避免刷牙不当导致牙龈损伤或再次增生(如菌斑刺激),骨性矫正(如正颌手术)后,牙龈位置相对稳定,但仍需定期复查(每年1次),防止复发,患者自身牙龈条件(如薄龈型更易退缩)也会影响长期稳定性,建议术后使用软毛牙刷、避免用力刷牙,保护牙龈组织。
