正畸治疗的核心是通过移动牙齿、调整颌骨位置、改善咬合关系,最终实现功能与美观的统一,而正畸前后对比图片,作为记录这一过程的重要载体,不仅是患者直观感受变化的“视觉日记”,更是医生评估疗效、优化方案的客观依据,从排列拥挤的牙列到整齐有序的微笑,从龅牙导致的“凸面型”到协调自然的侧脸轮廓,对比图片用最直观的方式展现了正畸带来的蜕变,也让更多人意识到:正畸不仅是“排齐牙齿”,更是对口腔健康与面部美学的综合改善。
要确保对比图片的可比性,拍摄时的标准化操作至关重要,首先是时间节点,通常包括矫正前(T0期)、矫正中(每3-6个月动态记录,T1-Tn期)、矫正结束时(Tm期)及矫正后随访(矫正后1年、3年,Tm+1、Tm+3期),每个时间点的拍摄条件需保持一致,其次是拍摄角度,需涵盖正面、侧面(45°侧、90°侧)、上颌牙列像、下颌牙列像及咬合像,其中正面像需自然放松微笑,侧面像需保持耳屏鼻尖上唇三点一线,确保面部轮廓对称性,设备方面,建议使用专业口腔内窥镜相机,固定焦距、光圈及色温,避免手机拍摄因光线、距离变化导致的色差或变形,口内拍摄时,需使用牵拉器暴露牙齿,去除唾液和血液干扰,必要时使用咬合纸标记咬合接触点,以便对比矫正前后咬合关系的改善。
不同类型的错颌畸形,其矫正前后的对比重点各有差异,以下通过表格列举常见案例及观察要点:
| 错颌类型 | 矫正前表现 | 矫正后变化 | 对比图片关键观察点 |
|---|---|---|---|
| 牙列拥挤 | 上颌前牙“重叠排列”,牙冠宽度大于可用间隙,刷牙不易清洁,可能存在龋齿风险。 | 牙齿排列整齐,间隙均匀,弧度自然,口腔卫生维护难度降低。 | 牙列对称性、牙冠间“黑三角”消失、牙龈乳头形态恢复、邻接点紧密程度。 |
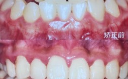
| 龅牙(深覆盖) | 上前牙明显前突,自然状态下上下唇不能闭合,微笑时牙龈暴露过多,侧面观“凸面型”。 | 上前牙内收,上下唇闭合自然,微笑时牙龈暴露减少,侧面轮廓线从“凸”变“直”或“微凹”。 | 上唇突度变化(E线:上唇与鼻尖关系)、颏部形态改善、鼻唇角增大、微笑曲线对称性。 |
| 地包天(反颌) | 下前牙咬在上前牙唇侧,下巴前伸,面下1/3变长,可能影响咀嚼功能及发音。 | 上下前牙恢复正常覆颌覆盖关系,下巴回缩,面下1/3比例协调,咀嚼效率提升。 | 咬合关系(上前牙舌面与下前牙唇面接触)、侧面下颌角形态、颏部突度变化、中线对齐情况。 |
| 开颌 | 上下前牙及前磨牙区无咬合接触,后牙咬合,可能导致咀嚼无力、发音不清、面部增长。 | 前牙区建立正常咬合,后牙区咬合稳定,面部垂直高度协调,发音清晰度改善。 | 前牙咬合接触点、后牙咬合面积、面部中下1/3比例、舌体位置是否正常。 |
对比图片的意义远不止“好看”二字,对医生而言,它是疗效评估的核心工具:通过矫正前后牙列排列、咬合关系、面部软组织的变化,医生可判断是否达到预期目标(如ANB角改善、Spee曲线整平等),并为后续病例提供参考数据,在复杂病例中,对比不同矫治阶段(如拔牙与非拔牙方案)的图片,能更科学地选择最优方案,对患者而言,对比图片是治疗信心的“强心剂”:许多患者在矫正初期因疼痛、美观担忧而焦虑,看到自己从“牙齿不齐”到“笑容自信”的转变,会极大增强治疗依从性,它也是医患沟通的“语言”——当患者直观看到侧脸轮廓改善,会更理解“为什么需要拔牙”“为什么需要戴橡皮筋”等治疗细节,正畸对比图片还具有学术价值:通过收集整理大量案例,研究人员可分析不同矫治技术(如隐形矫正、自锁托槽矫正)的疗效差异,推动学科发展。
拍摄对比图片时,需避免“过度修图”导致的失真,通过调整光线或滤镜刻意放大美白效果,或用P图软件“虚拟内收”牙齿,这些都会影响图片客观性,误导患者判断,正确的做法是保留牙齿天然色泽和牙龈形态,仅通过标准化拍摄展现真实变化,部分患者认为“正畸效果=牙齿变整齐”,其实正畸的终极目标是“功能与美学统一”,对比图片中,除观察牙齿排列,还需关注咬合功能(如尖窝锁结关系是否稳定)、颞下颌关节健康(如张口时有无弹响)、面部肌肉协调性(如微笑时两侧口角对称性)等,有些患者牙齿排列整齐,但存在“深覆颌”(上前牙覆盖下前牙过多),长期可能导致下颌关节负担加重,这类问题在对比图片中需重点观察。
正畸前后对比图片,是牙齿与时间共同书写的“蜕变故事”,它不仅记录了牙齿从拥挤到整齐的物理变化,更承载了患者从自卑到自信的心理转变,对于正畸医生而言,每一张对比图片都是经验的积累;对于患者而言,每一张对比图片都是健康的投资,在未来,随着数字化正畸技术的发展(如口内扫描、3D效果模拟),对比图片将更加精准、动态,让正畸治疗的可视化程度更高,让更多人通过正畸收获健康的口腔与灿烂的笑容。
FAQs
Q1:正畸前后对比图片能看出哪些具体变化?
A:正畸前后对比图片可多维度展现变化:①牙齿排列:从拥挤、扭转、间隙变为整齐、对称,牙冠间无“黑三角”;②咬合关系:覆颌覆盖恢复正常,尖窝锁结关系稳定,后牙咬合面积增加;③面部软组织:龅牙患者上唇内收、侧面轮廓改善,地包天患者下巴回缩、面下1/3协调,开颌患者面部垂直高度恢复正常;④口腔功能:咀嚼效率提升,发音清晰度改善,颞下颌关节无异常弹响或疼痛;⑤口腔健康:牙龈形态恢复健康,龋齿、牙周炎风险降低。
Q2:为什么有些正畸效果在对比图片中看起来“变化不大”?
A:可能原因有三:①个体差异:部分患者(如轻度牙列拥挤或骨性畸形不严重者)本身基础较好,矫正变化相对温和,需对比细节(如牙冠排列角度、牙龈乳头形态)才能发现差异;②矫正目标不同:若以“功能改善”为主要目标(如调整咬合、缓解关节症状),而非单纯追求“牙齿整齐”,图片上的美观变化可能不明显,但功能改善显著;③拍摄角度或时机问题:若矫正后拍摄时间过早(如刚拆除矫治器,牙齿尚未完全稳定),或拍摄角度与矫正前不一致(如正面像未保持相同微笑幅度),可能导致视觉差异不明显,建议在医生指导下,通过多角度、多时间点的对比图片综合评估疗效。
