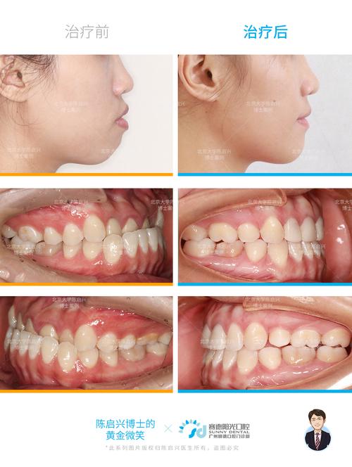
舌侧正畸是将矫治器粘接在牙齿舌侧(内侧)的正畸技术,通过个性化托槽和弓丝实现牙齿排列矫正,其核心优势在于美观性,但也存在一些局限性,需结合个人需求综合评估。
舌侧正畸的优点首先体现在美观隐蔽性上,与传统唇侧托槽不同,舌侧矫治器完全隐藏于牙齿内侧,从正面或社交距离观察几乎不可见,尤其适合演员、教师、销售人员等对形象要求较高的群体,避免了“钢牙”带来的社交尴尬,在舒适度方面,舌侧托槽避免了唇侧托槽对嘴唇、脸颊黏膜的摩擦,初期不会出现唇侧常见的溃疡问题,虽然部分人群初期可能因舌体接触托槽感到不适,但适应后通常可缓解,现代舌侧正畸多采用3D打印技术个性化定制托槽,能精准匹配牙齿形态,提高矫治效率,且托槽表面光滑,减少对口腔软组织的刺激,由于矫治器位于内侧,日常进食时不易因外力碰撞导致托槽脱落,稳定性相对较好。

舌侧正畸的缺点也不容忽视,最显著的是高成本,其价格通常为传统唇侧正畸的2-3倍,主要源于个性化托槽的制作费用、医生技术难度带来的诊疗成本以及更长的复诊调整时间,适应期较长,初戴者常面临发音不清(如卷舌音受影响)、咀嚼不便、舌头频繁触碰托槽等困扰,一般需要2-4周才能逐渐适应,而唇侧正畸通常1-2周即可适应,清洁难度大是另一大问题,舌侧托槽的边缘靠近牙龈,且弓丝、托槽结构复杂,普通牙刷和牙线难以彻底清洁食物残渣,易引发龋齿、牙龈炎等口腔问题,需配合正畸专用牙刷、牙线棒、冲牙器等工具,并增加清洁频率,舌侧正畸对医生技术要求极高,操作空间狭小,托槽粘接位置、弓丝调整的精度直接影响矫治效果,经验不足的医生可能导致牙齿移动不理想、延长治疗时间或出现并发症,对于牙齿严重拥挤、咬合问题复杂的病例,舌侧正畸的矫治难度可能进一步增加,治疗周期也可能比唇侧正畸延长。
| 优点 | 具体说明 |
|---|---|
| 美观隐蔽 | 托槽位于牙齿内侧,从外部完全不可见,满足社交美观需求 |
| 舒适性高 | 避免唇侧托槽对口腔黏膜的摩擦,减少溃疡发生 |
| 个性化定制 | 3D打印精准适配牙齿形态,提升矫治精准度 |
| 稳定性好 | 内侧位置减少外力碰撞导致的托槽脱落风险 |
| 缺点 | 具体说明 |
|---|---|
| 成本高昂 | 价格为传统正畸2-3倍,包含个性化托槽制作和高技术诊疗费 |
| 适应期长 | 初戴可能出现发音不清、咀嚼不适,需2-4周适应 |
| 清洁困难 | 托槽结构复杂,清洁死角多,易引发口腔疾病 |
| 技术依赖性强 | 对医生操作精度要求高,经验不足影响效果 |
| 治疗周期可能延长 | 复杂病例矫治难度大,时间比唇侧正畸长 |
相关问答FAQs
Q1:舌侧正畸适合所有人群吗?
A:并非所有人都适合舌侧正畸,一般而言,适用于对美观有高要求、口腔卫生状况良好、无严重牙周疾病、牙齿畸形类型(如牙列拥挤、龅牙等)适合舌侧移动的人群,但存在以下情况者需谨慎:牙齿过度拥挤或严重扭转,舌侧托槽难以粘接;有夜磨牙习惯,可能增加托槽脱落风险;无法坚持严格口腔清洁,或存在颞下颌关节紊乱等疾病,需先治疗再矫治。
Q2:舌侧正畸的日常维护需要注意什么?
A:舌侧正畸的维护需更注重细节:①清洁工具:使用正畸专用牙刷(如U形刷、正畸小头牙刷)、牙线棒(带正畸引导头)、冲牙器,每日至少刷牙3次,每次3分钟,配合牙线彻底清洁托槽周围;②饮食调整:避免过硬、黏性食物(如坚果、口香糖),减少托槽脱落风险;③定期复诊:按医生要求每4-6周复诊调整,及时处理托槽脱落、弓丝变形等问题;④初期适应:可练习发音(如朗读绕口令)、调整进食方式,逐渐适应舌侧矫治器。


