正畸治疗中,拔牙是调整牙齿排列、改善咬合关系的常见手段,而拔除一颗下切牙的情况相对特殊,通常需结合患者的口腔具体情况综合判断,与拔除前磨牙不同,下切牙位于牙弓前段,其拔除与否直接关系到前牙美观、咬合功能及长期稳定性,因此需严格把握适应症,并规范治疗流程。
正畸拔一颗下切牙的常见原因
拔除一颗下切牙并非随意选择,而是针对特定口腔问题的解决方案,核心目的是通过少量牙齿调整,实现牙弓与颌骨的协调,常见原因包括:

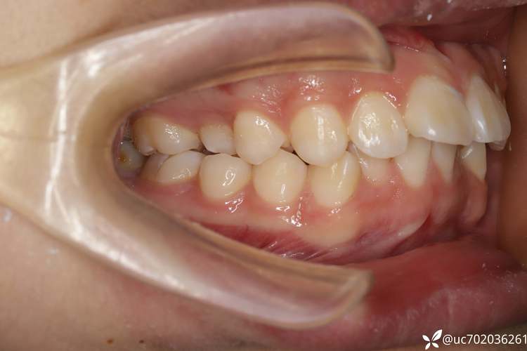
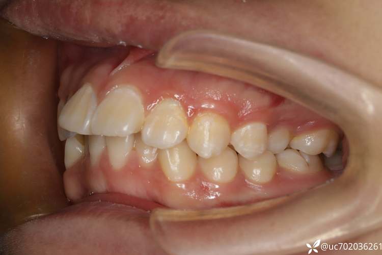
轻度下牙弓拥挤或前突
当下前牙存在轻度拥挤(拥挤度4-6mm)或轻度前突(如SNB角正常,但下切牙唇倾超出基骨范围)时,拔除一颗下切牙可提供约5-7mm的间隙,无需拔除前磨牙即可解除拥挤、改善前突,相较于拔前磨牙,这种方式对后牙咬合影响较小,更适合希望保留后牙功能的患者。
个别下切牙异常
部分患者存在先天性的下切牙问题,如过小牙(锥形牙)、牙冠严重缺损、扭转或牙根吸收等,此类牙齿本身功能或美观较差,拔除后可通过移动邻牙关闭间隙,既解决了问题牙,又避免了保留患牙的长期风险。
Bolton指数不调
Bolton指数用于评估上下牙量的比例关系,当下颌牙量过大(Bolton指数小于正常值)时,会导致后牙咬合紊乱或前牙深覆颌,拔除一颗下切牙可减少下前牙段牙量,使上下牙量比例协调,改善咬合功能。
上下牙弓宽度不调
当下牙弓宽度明显大于上牙弓,或存在个别下切牙代偿性唇倾时,拔除一颗下切牙可通过内收剩余牙齿,调整牙弓宽度匹配,避免后牙反颌或锁颌。

拔一颗下切牙的适用人群与禁忌症
并非所有正畸患者都适合拔除下切牙,需严格筛选:
适用人群
- 青少年及成年人:青少年处于生长发育期,牙齿移动效率高;成年人需牙周健康,无严重骨缺损。
- 轻度错颌畸形:拥挤度≤6mm、下切牙前突但无需大量内收、Bolton指数轻度不调。
- 个别牙异常:单颗下切牙为过小牙、严重扭转或无法保留的残根。
- 口腔卫生良好:无未控制的牙周炎、龋病,能配合正畸期间的口腔清洁。
禁忌症
- 严重错颌畸形:如牙列严重拥挤(需拔多颗牙)、深覆颌伴深覆盖(需拔前磨牙调整咬合平面)。
- 牙周条件差:牙槽骨吸收超过根长1/3、牙齿松动Ⅱ度以上。
- 中线严重偏斜:需通过拔除对称牙齿(如双侧前磨牙)纠正中线,而非单颗下切牙。
- 美观需求极高:拔除下切牙可能影响下唇丰满度,需与患者充分沟通美观预期。
拔一颗下切牙的正畸治疗流程
拔牙只是正畸治疗的“第一步”,后续的间隙关闭与咬合调整同样关键,具体流程如下:
术前评估与方案设计
- 临床检查:记录牙齿拥挤度、覆颌覆盖、中线偏斜、牙周状况等。
- 影像学检查:拍摄曲面断层片(观察牙根形态、有无埋伏牙)、头颅侧位片(分析骨型、牙长轴角度)、CBCT(评估牙槽骨厚度,避免拔牙时损伤邻牙牙根)。
- 模型分析:制取研究模型,测量Bolton指数、预测间隙关闭效果。
- 方案沟通:明确拔牙位置(通常优先拔除侧切牙,其次为中切牙;若两侧对称问题,可拔对侧同名牙),告知患者治疗周期(约2-3年)及预期效果。
拔牙操作
- 拔牙时机:可在正畸治疗前拔除(传统方丝弓技术),也可在粘接托槽后分步拔除(滑动直丝弓技术,减少对患者的心理冲击)。
- 微创拔牙:采用挺松法或微创拔牙器械,尽量减少牙槽骨损伤,为后续牙齿移动创造良好条件,拔牙后需观察1-2周,待伤口愈合后开始正畸治疗。
正畸治疗阶段
- 排齐与整平:粘接托槽后,使用镍钛圆丝逐步排齐下前牙,纠正扭转与倾斜,为间隙关闭做准备。
- 间隙关闭:更换不锈钢方丝,通过滑动法或关闭曲法内收下前牙,关闭拔牙间隙,此阶段需配合颌间牵引(如Ⅲ类牵引),防止后牙前移及前牙覆颌加深。
- 精细调整:间隙关闭后,调整咬合关系,消除早接触点,确保前后牙功能协调。
保持阶段
- 保持器选择:通常需佩戴下颌固定保持器(舌侧丝)+ 上颌活动保持器,至少2年,期间每3-6个月复诊一次,防止复发。
拔一颗下切牙的风险与注意事项
尽管拔除一颗下切牙创伤较小,但仍存在一定风险,需提前防范:
潜在风险
- 间隙关闭困难:下切牙牙根粗壮,移动阻力大,可能导致关闭速度缓慢或间隙未完全关闭。
- 中线偏移:若拔牙后未对称移动牙齿,可能出现下颌中线与上颌不一致。
- 邻牙倾斜:下切牙拔除后,邻牙可能向间隙倾斜,导致“三角间隙”,需通过弓丝控制垂直向位置。
- 牙根吸收:正畸移动过程中,少数患者可能出现牙根吸收,需定期拍摄X光片监测。
注意事项
- 口腔卫生维护:拔牙后及正畸期间,需使用正畸牙刷、牙线、冲牙器清洁,防止邻龋和牙周炎。
- 避免不良习惯:如咬唇、吐舌等,可能影响牙齿移动稳定性,导致复发。
- 定期复诊:正畸期间每4-6周复诊一次,医生根据牙齿移动情况调整加力方案。
拔一颗下切牙的适用情况与不适用情况对比
| 项目 | 适用情况 | 不适用情况 |
|---|---|---|
| 拥挤度 | 轻度拥挤(4-6mm),无需大量间隙 | 严重拥挤(>8mm),需拔除多颗牙 |
| 前突程度 | 下切牙轻度前突,唇倾度<110° | 下切牙严重前突,伴深覆盖(需拔前磨牙内收) |
| Bolton指数 | 下颌牙量过大,Bolton指数<正常值(下颌前牙指数77.2%±1.72%) | 上下牙量比例正常,仅为牙弓前段拥挤 |
| 牙周条件 | 牙周健康,无骨吸收,牙龈无炎症 | 牙周炎活动期,牙槽骨吸收>根长1/3 |
| 美观需求 | 对下唇丰满度要求不高,接受前牙少量内收 | 职业(如主持人、演员)对前牙美观要求极高,拔除后可能影响下唇曲线 |
相关问答FAQs
问题1:拔除下切牙后,会影响说话或咀嚼功能吗?
解答:拔除单颗下切牙对发音的影响较小,因为下切牙主要参与切割食物,而非发音核心(如舌尖与上颚的配合),治疗初期,牙齿移动可能导致暂时性发音轻微改变(如“s”音),但随着邻牙调整至正常位置,通常1-2周即可适应,咀嚼功能方面,由于保留了所有前磨牙和磨牙,切割和研磨功能基本不受影响,仅需避免啃咬硬物(如骨头、坚果)即可。

问题2:拔下切牙后,牙齿会松动或提前脱落吗?
解答:正畸治疗中牙齿移动是生理性松动,牙根周围牙槽骨会改建,治疗结束后稳定性可恢复,若规范佩戴保持器,牙齿不会因拔牙而提前脱落,但需注意,若患者本身存在牙周炎(未控制的牙龈炎、牙槽骨吸收),正畸移动可能加重牙周损伤,导致牙齿松动,拔牙前需进行牙周治疗,确保口腔健康;治疗期间加强口腔清洁,定期进行牙周维护,是避免牙齿松动的关键。
