苏州作为江南经济重镇与文化名城,近年来居民对口腔健康与面部美观的需求持续攀升,牙科正畸逐渐从“治疗需求”升级为“品质生活”的重要选择,据苏州市口腔医学会数据,2025年全市正畸病例年增长率达18%,其中隐形矫正占比超40%,反映出市民对舒适度与美观度的双重追求,在苏州,正畸不仅是牙齿排列的调整,更融合了医学、美学与个性化服务,选择合适的机构与方案,需从专业度、适配性、服务体验等多维度综合考量。
正畸的核心价值:超越美观的健康投资
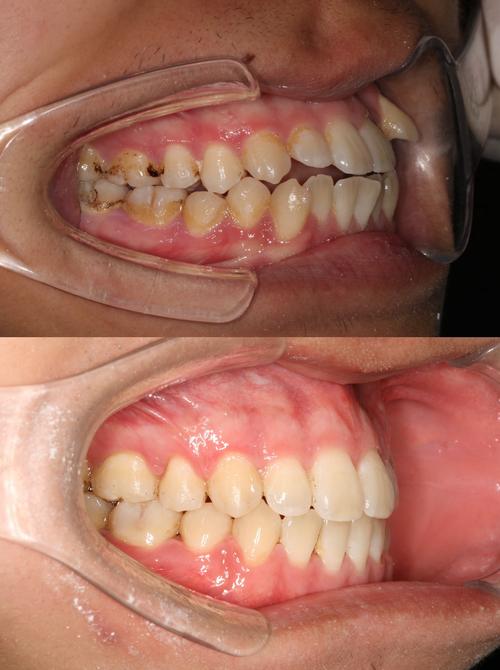
正畸的核心目标是通过牙齿移动、颌骨调整,改善咬合功能、面部协调性,同时预防口腔疾病,在苏州,青少年正畸占比约55%,主要解决牙齿拥挤、龋齿、颌骨发育异常等问题;成年人正畸占比45%,多以改善美观、解决咬合功能障碍为主,园区某企业职员王女士因“地包天”影响自信,通过正畸联合正颌手术,不仅恢复了咬合功能,面部轮廓也更为协调,术后生活质量显著提升,正畸并非“小美容”,而是涉及牙周健康、颞下颌关节、肌肉平衡的系统性工程,需在专业评估下进行。

苏州正畸市场格局:公立、私立与差异化竞争
苏州牙科正畸市场呈现“公立权威、私立多元”的格局,公立医院如苏州大学附属第一医院口腔科、苏州市口腔医院,依托三甲医疗资源,擅长复杂病例(如骨性错颌、多生牙拔除等),但挂号难、排队久是常见问题,私立机构则更注重服务体验与技术创新,例如连锁品牌“瑞尔齿科”“拜博口腔”在苏州的门店,配备数字化口扫、3D打印等技术,提供“一对一方案设计”“全程专属顾问”等服务,满足上班族、学生群体的个性化需求,苏州本土小型诊所凭借灵活性与地域优势,在社区服务中占据一定份额,但需重点考察医生资质与设备配置。
主流矫正方式对比:如何选择适合自己的方案?
矫正方式的选择需结合牙齿状况、美观需求、预算及生活习惯,目前苏州市场主流方式如下(表1为详细对比):
表1:苏州主流正畸方式对比
| 矫正方式 | 美观度 | 舒适度 | 价格区间(元) | 适应人群 | 矫正周期 |
|--------------------|------------|------------|--------------------|-------------------------------|--------------|
| 传统金属托槽 | 低 | 中 | 8000-15000 | 牙齿严重拥挤、复杂错颌 | 1.5-3年 |
| 陶瓷半隐形托槽 | 中 | 中 | 12000-20000 | 对美观有一定要求,预算中等 | 1.5-2.5年 |
| 隐形矫正(如隐适美)| 高 | 高 | 25000-50000 | 职场人士、对美观要求高 | 1-2年 |
| 舌侧矫正 | 极高 | 低 | 50000-80000 | 演艺人士、对美观极致要求 | 2-3年 |
传统金属托槽性价比最高,但“钢牙”明显;陶瓷托槽接近牙齿颜色,适合对美观有一定需求者;隐形矫正可自行摘戴,不影响饮食社交,但价格较高;舌侧矫正完全隐藏于牙齿内侧,适合对美观要求极致的人群,但操作难度大、费用高,苏州某私立机构数据显示,2025年隐形矫正咨询量同比增长35%,其中25-35岁职场女性占比超60%,反映出“隐形化”已成为主流趋势。

费用解析:正畸的“价格密码”与性价比考量
苏州正畸费用受多种因素影响,主要包括:
- 矫正方式:如舌侧矫正费用是传统托槽的3-5倍,隐形矫正因品牌(隐适美、时代天使等)、方案复杂度,价格差异较大。
- 医生资质:资深正畸医生(如主任医师、博士学历)的方案设计费比普通医生高30%-50%,例如苏大附一院正畸专家团队方案设计费约3000-5000元,而私立机构资深医生约2000-4000元。
- 附加治疗:拔牙(每颗约500-1000元)、骨钉植入(每颗约2000-3000元)、牙周治疗(每疗程约1000-3000元)等,可能增加总费用。
- 机构类型:公立医院价格透明但无折扣,私立机构常推出“分期付款”“套餐优惠”(如包含保持器、终身维护),需警惕“低价陷阱”,部分小诊所以低价吸引顾客,却存在材料不合格、医生经验不足等问题。
以苏州园区某白领为例,选择陶瓷托槽矫正,总费用约18000元(含拔牙4颗、骨钉2颗),分12期付款后每月约1500元,相当于每月少外出就餐2-3次,却能获得长期健康收益,性价比相对较高。
选择机构的五大维度:避免踩坑的关键
在苏州选择正畸机构,建议从以下五方面综合评估:
- 医生资质:确认医生是否具备《正畸专科医师资格证》,从业年限(建议5年以上),案例数量(尤其同类病例经验),可要求查看“案例库”或面诊时与医生沟通方案细节。
- 设备技术:数字化设备(如iTero口扫、CBCT)能精准获取牙齿数据,模拟矫正效果,减少误差;传统取模方式舒适度低,误差较大。
- 服务流程:完善的初诊检查(含口腔全景片、头影测量、牙周评估)、方案沟通(至少2次复诊确认)、术后跟踪(定期复查、保持器调整)是核心服务环节。
- 口碑评价:可通过“大众点评”“小红书”等平台查看真实用户评价,重点关注“矫正效果”“医生耐心度”“服务响应速度”等关键词,但需警惕虚假刷评。
- 机构保障:确认是否签订正规合同,明确矫正效果、责任划分、售后维护(如保持器损坏免费更换),避免口头承诺。
正畸全程注意事项:从准备到保持的细节管理
- 术前准备:需进行全面的口腔检查,若有牙周炎、龋齿等需先治疗;拍摄头影测量片、全景片,制定个性化方案;与医生充分沟通预期效果,避免过度承诺。
- 佩戴护理:传统托槽需避免过硬、黏性食物(如坚果、口香糖),隐形矫正需每天佩戴20小时以上,餐后及时清洁;使用正畸专用牙刷、水牙线,预防龋齿和牙周炎。
- 复诊频率:传统托槽每4-6周复诊一次,隐形矫正每6-8周复诊,调整力度与进度;若出现托槽脱落、钢丝刺嘴等情况,需及时联系医生处理。
- 术后保持:拆除矫正器后需佩戴保持器(建议全天佩戴6个月,之后夜间长期佩戴),避免牙齿复发;定期复查(每3-6个月一次),监测牙齿稳定性。
相关问答FAQs
Q1:苏州正畸一般需要多长时间?是否会影响工作生活?
A:矫正时间因人而异,简单错颌(如轻微拥挤)约1-1.5年,复杂病例(如骨性错颌)需2-3年,传统托槽初期可能说话不便、口腔溃疡,1周左右适应;隐形矫正几乎不影响生活,可正常饮食、社交,建议选择复诊时间灵活的机构(如周末门诊),减少对工作的影响。

Q2:成年人正畸年龄有限制吗?40岁后还能做吗?**A:**成年人正畸无绝对年龄限制,只要牙周健康、无严重骨性疾病即可矫正,40岁以上患者需注意:牙周组织恢复能力较弱,需先治疗牙周病;骨性畸形可能需联合正颌手术,苏州某医院数据显示,40-50岁正畸患者占比约8%,主要解决“牙齿前突”“咬合紊乱”等问题,矫正效果与年轻人无显著差异,但需更长的保持时间。
