早期矫治是指在儿童生长发育的关键时期(通常为6-12岁,即替牙期),针对牙齿、颌骨及面部肌肉的发育异常进行的早期干预治疗,这一阶段不仅是牙齿替换的高峰期,更是颌骨生长发育的活跃期,通过早期干预能够有效引导颌骨正常发育,纠正不良习惯,降低后续正畸治疗的难度,甚至避免部分患者需要接受正颌手术的风险,从临床实践来看,早期矫治对正畸的整体效果、治疗周期及患者长期口腔健康均具有深远影响。
早期矫治对正畸的核心影响
引导颌骨发育,纠正骨骼性错颌
儿童时期颌骨具有较强的可塑性,早期矫治可通过功能性矫治器(如上颌扩弓器、前方牵引装置等)或活动矫治器,对发育不足或过度的颌骨进行干预,针对“地包天”(安氏Ⅲ类错颌),若在替牙期发现下颌前突、上颌发育不足,可通过前方牵引装置刺激上颌骨向前生长,抑制下颌过度发育,从而避免成年后因骨骼畸形严重而需要正颌手术;对于“小下巴”(上颌发育不足),早期使用扩弓器扩大上牙弓,为上颌骨横向发育提供空间,改善面中份凹陷,研究表明,在8-10岁进行骨骼性错颌的早期干预,可显著降低后期正畸治疗的复杂性,约30%的骨骼性错颌患者通过早期矫治可达到理想的面型改善,无需成年后手术。

预防错颌畸形恶化,降低治疗难度
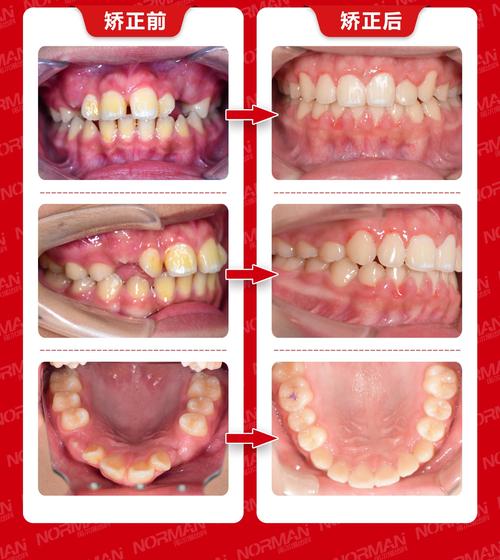
替牙期常见的错颌畸形,如牙列拥挤、个别牙反颌、深覆合等,若不及时干预,可能随生长发育进一步加重,个别牙反颌(俗称“锁牙”)可能导致下颌偏斜、咀嚼功能紊乱,甚至影响面部对称性;而牙列拥挤若在替牙期未通过间隙维持器或序列拔牙干预,可能导致恒牙萌出困难、异位萌出,增加后期正畸拔牙的概率,早期矫治可通过简单手段(如矫治反颌的“垫舌簧”、开辟间隙的“螺旋弹簧”)引导牙齿正常萌出,阻止错颌恶化,为后续全面正畸创造有利条件,临床数据显示,接受早期矫治的患者,后期正畸的平均治疗周期可缩短6-12个月,拔牙率降低约20%。
纠正不良口腔习惯,消除病因
儿童常见的口腔习惯(如吮指、咬唇、口呼吸、吐舌等)是导致错颌畸形的重要原因,例如长期吮指可能导致上牙前突、开颌;口呼吸可能引发上牙弓狭窄、腭盖高拱,早期矫治可通过佩戴 habit-breaking appliance(习惯破除矫治器),在不良习惯形成的关键期进行干预,阻断其对牙齿颌骨的持续影响,针对口呼吸患者,早期联合耳鼻喉科治疗鼻炎、腺样体肥大后,使用上颌扩弓器配合前牙区“平面导板”,可纠正鼻呼吸习惯,同时改善上牙弓狭窄和深覆合,这种“病因治疗”方式,不仅能纠正现有错颌,更能预防畸形复发,提高正畸效果的长期稳定性。
改善口腔功能与心理健康
错颌畸形不仅影响美观,还可能导致咀嚼效率降低、发音不清、颞下颌关节紊乱等问题,早期矫治通过调整咬合关系、改善面型,可在儿童生长发育阶段恢复口腔正常功能,牙齿不齐、地包天等畸形可能让孩子在同龄人中产生自卑心理,早期干预可提前改善面部美观,帮助孩子建立自信,临床观察发现,接受早期矫治的儿童,在社交活跃期(小学阶段)更愿意主动开口笑、参与集体活动,心理健康水平显著高于未干预的同类患者。
早期矫治与传统正矫的关键对比
| 对比维度 | 早期矫治 | 传统正畸(恒牙期) |
|---|---|---|
| 治疗目标 | 引导颌骨发育、纠正不良习惯、预防畸形恶化 | 排齐牙齿、调整咬合、精细面型改善 |
| 最佳介入时机 | 替牙期(6-12岁) | 恒牙早期(12-14岁) |
| 治疗周期 | 6-12个月(分阶段干预) | 18-36个月(集中治疗) |
| 对骨骼影响 | 可主动引导颌骨生长,改变骨骼关系 | 主要调整牙齿位置,骨骼改建空间有限 |
| 治疗复杂度 | 简单(多用功能性矫治器) | 复杂(可能需拔牙、种植钉等) |
| 患者配合度 | 需家长监督(儿童自律性较弱) | 患者自主配合(青少年认知度高) |
注意事项
早期矫治并非“越早越好”,也非所有儿童都需要,是否进行早期干预需通过专业评估(包括临床检查、X光片、模型分析等),明确错颌畸形的类型(骨骼性、功能性或牙齿性)及病因,对于单纯的牙齿排列问题(如轻度拥挤),可观察至恒牙期再治疗;而对于存在骨骼发育异常、不良习惯或严重错颌的患者,早期干预可事半功倍,早期矫治效果高度依赖患者配合,需定期复查(每3-6个月),根据牙齿发育情况调整治疗方案,部分患者可能需要在恒牙期进行二期正畸治疗以完善效果。

相关问答FAQs
Q1:孩子几岁开始早期矫治最合适?
A:通常建议在替牙期(6-12岁)开始评估,具体时机需根据错颌类型决定:骨骼性畸形(如地包天、小下巴)建议8-10岁干预,此时上颌骨进入快速生长期;不良习惯(如口呼吸、吐舌)一旦发现即可干预;牙列拥挤、个别牙反颌等可在7-9岁治疗,避免恒牙萌出异常,家长若发现孩子牙齿替换异常、面部不对称、频繁张口呼吸等情况,应及时就诊,通过专业评估确定最佳时机。
Q2:早期矫治后,孩子还需要戴牙套吗?
A:部分患者通过早期矫治可达到理想效果,无需二期治疗;但多数骨骼性或复杂错颌患者,早期干预仅为“引导治疗”,待恒牙完全萌出后(12-14岁),仍需接受传统正畸治疗(如戴固定托槽牙套)以精细调整牙齿排列、咬合关系及面型,早期通过扩弓器改善上牙弓狭窄的患者,恒牙期仍需排齐牙齿、关闭间隙,早期矫治的意义在于“为后期治疗铺路”,而非完全替代传统正畸,具体是否需要二期治疗需由医生根据最终牙齿发育情况判断。

