22岁的大学生小林,因为牙齿问题困扰了整个青春期,他上颌前突,俗称“龅牙”,上下牙列中度拥挤,笑起来时牙齿参差不齐,咬合时深覆颌(上前牙盖住下前牙过多),不仅影响美观,还偶尔导致咬合疼痛,大学期间,因为不敢在公共场合大笑,甚至逐渐变得有些内向,最终决定通过牙齿正畸改善问题。
案例背景与诊断
小林初诊时,口腔检查显示:牙齿 Bolton 指数不调(前牙比略小),上下颌牙弓狭窄,尤其是上颌前牙区拥挤度约 5mm,下颌前牙拥挤度约 4mm;X 光片显示颌骨关系基本协调(骨性 I 类),但上颌前牙唇倾,牙根位置稍近中;侧面观鼻唇角偏小(约 90°),上唇前突明显,结合他的主诉“改善笑容,解决咬合不适”,诊断结果为:安氏 II 类 1 分类错颌,牙列拥挤,深覆颌。

正畸方案设计
根据小林的牙齿情况与诉求,医生制定了“非拔牙 vs 拔牙”的方案对比:非拔牙方案可通过扩弓、磨改牙齿邻接面解决拥挤,但可能无法完全改善前突;拔牙方案(拔除上下颌第一前磨牙)可利用拔牙间隙内收前牙,解决拥挤与前突,改善咬合与侧貌,考虑到小林对笑容美观的高要求,最终选择拔牙方案,采用自锁托槽矫正器(减少摩擦力,缩短治疗时间),配合支抗钉(微种植体)增强支抗,确保前牙内收效率,治疗周期预估 22-24 个月,每 4-6 周复诊一次。
治疗过程与关键阶段
第一阶段:拔牙准备与初期排齐(0-6 个月)
拔牙后等待 1 个月创口愈合,安装自锁托槽,初期因牙齿移动,小林感到轻微酸胀,尤其是咀嚼时,但 1 周后逐渐适应,医生通过镍钛圆丝逐步排齐牙齿,解决拥挤,同时使用扩弓器轻微扩大上颌牙弓,为牙齿排列提供空间,此阶段需特别注意口腔卫生,自锁托槽周围易存留食物残渣,小林学会了使用牙缝刷和水牙线,每天刷牙 3 次。
第二阶段:关闭拔牙间隙与咬合调整(7-18 个月)
这是治疗的核心阶段,换用不锈钢方丝,在托槽上施加“滑动法”关闭间隙,配合支抗钉(植入上颌后牙区)防止后牙前移,期间,小林需每天佩戴颌间橡皮筋(调整咬合关系),尤其是夜间,确保上下牙齿精准对位,第 12 个月复诊时,X 光片显示前牙内收 3mm,深覆颌改善,侧面鼻唇角增至 105°,侧貌已明显改善。
第三阶段:精细调整与保持(19-24 个月)
牙齿排列基本整齐后,进入精细调整阶段:更换更细的钛合金丝,调整牙齿转矩(如让前牙略微内收、后牙直立),确保咬合接触点均匀,拆除托槽前,制作透明保持器(用于夜间佩戴)和固定式保持丝(粘接在下颌前牙舌侧),治疗结束时,小林的牙齿排列整齐,咬合稳定,笑容自然,露齿时不再刻意遮掩嘴角。

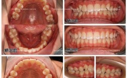
治疗效果与收获
经过 2 年的正畸,小林的牙齿问题得到全面解决:上下牙列无拥挤,前牙覆颌覆盖正常,咬合关系稳定;侧面观鼻唇角协调,上唇前突消失,侧貌线条更柔和,更重要的是,他重拾自信,开始在社团活动中主动发言,甚至兼职做起了校园主持,他说:“矫正的不只是牙齿,更是整个人生的状态。”
治疗关键时间节点与内容
| 时间阶段 | 主要操作 | 患者配合要点 |
|---|---|---|
| 0-1 个月 | 拔除上下颌第一前磨牙,创口愈合 | 避免患侧咀嚼,保持口腔卫生 |
| 1-6 个月 | 安装自锁托槽,镍钛丝排齐牙齿 | 使用牙缝刷,避免过硬食物 |
| 7-18 个月 | 关闭拔牙间隙,支抗钉内收前牙 | 每天佩戴橡皮筋 10 小时以上 |
| 19-24 个月 | 精细调整,拆除托槽,戴保持器 | 佩戴保持器,避免咬硬物 |
相关问答 FAQs
Q1:青年正畸的最佳年龄是几岁?超过 25 岁还能矫正吗?
A:青年正畸的“黄金期”通常在 18-25 岁,此时颌骨已停止发育,牙齿移动效率高,且代谢旺盛,恢复较快,但超过 25 岁也能矫正,只要牙周健康(无严重牙龈炎、牙槽骨吸收),任何年龄都可以通过正畸改善牙齿问题,成年正畸可能需要更长时间(2-3 年),且可能配合牙周治疗或骨钉等辅助手段。
Q2:正畸期间需要注意哪些饮食问题?
A:佩戴托槽期间,需避免过硬(如坚果、骨头)、过黏(如口香糖、年糕)的食物,以防托槽脱落或弓丝变形;咬苹果、汉堡等食物时建议切成小块,减少碳酸饮料和甜食摄入,以防龋齿;饭后及时刷牙,使用正畸专用牙刷(如小头刷)清洁托槽周围,必要时配合冲牙器。

