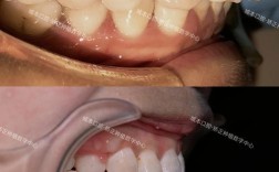
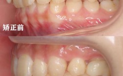
牙齿矫正(正畸)是改善错畸形、提升口腔功能与美观的重要手段,但并非所有人群都能直接接受正畸治疗,对于牙周病患者而言,正畸治疗与牙周健康密切相关,pao牙周治疗”(即牙周基础治疗,包括龈上洁治、龈下刮治和根面平整)是正畸前不可或缺的关键步骤,若牙周炎症未得到有效控制,正畸过程中牙齿移动可能加重牙周组织损伤,甚至导致牙齿松动脱落,理解牙周病与正畸的相互作用,规范开展pao牙周治疗及正畸全程牙周管理,对保障治疗效果和长期稳定性至关重要。
牙周病是由菌斑微生物引起的牙周支持组织慢性炎症性疾病,主要表现为牙龈炎症、牙周袋形成、牙槽骨吸收及牙齿松动,正畸治疗通过施加矫治力引导牙齿移动,而牙齿移动的生物学基础是牙周膜细胞的改建和牙槽骨的重建,若牙周处于炎症活动期,牙周组织对矫治力的反应异常:炎症介质会抑制成骨细胞活性,延缓牙槽骨改建;炎症可能导致牙根吸收风险增加,甚至加重牙槽骨吸收,牙周袋内堆积的菌斑和牙结石会阻碍牙齿移动,导致矫治效率降低,同时增加正畸中牙龈出血、牙周脓肿等并发症风险,研究显示,未经控制的牙周病患者正畸后,附着丧失和牙槽骨吸收的发生率显著高于牙周健康者,因此正畸前必须将牙周炎症控制在稳定期。

pao牙周治疗是牙周病的基础治疗,通过彻底清除菌斑、牙结石和牙根表面的感染牙骨质,消除牙龈炎症,使牙周组织恢复健康状态,对于计划正畸的牙周病患者,pao治疗的具体目标包括:①控制牙龈炎症,使牙龈指数(GI)、探诊出血(BOP)等指标恢复正常;②减少牙周探诊深度(PD),理想情况下PD≤3mm;③消除牙周袋,避免菌斑积聚;④平整根面,为牙周组织再附着创造条件,临床研究表明,正畸前接受系统pao治疗的牙周病患者,其正畸中牙龈炎发生率降低40%,牙槽骨吸收进展减少50%,pao治疗后需观察3-6个月,确认牙周状态稳定(无附着丧失加重,PD无加深)方可开始正畸治疗,对于重度牙周病患者,可能需联合牙周手术治疗(如翻瓣术、植骨术)以进一步改善牙周环境。
即使正畸前牙周炎症已控制,正畸过程中仍需加强牙周维护,因为矫治器(如托槽、弓丝)会增加菌斑滞留风险,同时牙齿移动本身会对牙周组织产生暂时性影响,具体管理措施包括:①强化口腔卫生指导:要求患者使用正畸专用牙刷、牙间隙刷、冲牙器等工具,每日至少刷牙3次,配合牙线清洁邻面,控制菌斑指数(PLI)≤1;②控制正畸力:采用轻力矫治原则,避免过大力量导致牙根吸收和骨吸收,每3-4个月调整一次矫治力,定期拍摄X线片观察牙槽骨情况;③定期牙周复查:每2-3个月进行一次牙周检查,包括PD、附着水平(AL)、BOP等指标,必要时进行龈下刮治;④处理并发症:若出现牙龈增生,可进行牙龈切除术;若发生牙根吸收,需调整矫治方案甚至暂停正畸。
正畸结束后,牙齿进入保持阶段,但牙周支持组织仍需时间适应新的位置,此时牙周维护尤为重要,保持器是菌斑滞留的常见部位,需每日清洁(可使用保持器清洁片或牙膏刷洗),并定期更换(透明保持器每1-2年, Hawley保持器每3-5年),患者需坚持每3-6个月进行一次牙周检查和专业洁治,监测牙周状况,对于曾有牙周病史的患者,建议终身维护,每年至少拍摄一次全景片,评估牙槽骨高度和吸收情况,需纠正不良口腔习惯(如咬唇、夜磨牙等),避免额外咬合力对牙周组织造成损伤。
| 类别 | |
|---|---|
| 适应症 | 慢性牙周炎经pao治疗后,牙周炎症控制稳定(PD≤5mm,BOP阳性位点≤20%,无附着丧失进展); 牙槽骨吸收≤根长1/3,余留牙有足够支持力; 患者口腔卫生良好,能积极配合维护; 轻中度错畸形,如牙列拥挤、深覆盖等。 |
| 禁忌症 | 活动性牙周炎(PD>6mm,AL进展>1mm/年,牙周溢脓); 重度骨吸收(>根长1/2)或余留牙支持力不足; 未控制的全身性疾病(如糖尿病、凝血功能障碍); 患者依从性差,无法坚持口腔卫生维护。 |
| 阶段 | 维护措施 |
|---|---|
| 治疗前 | 完善牙周检查(PD、AL、X线片); 系统pao治疗,必要时牙周手术; 口腔卫生宣教,菌斑控制达标。 |
| 治疗中 | 每2-3个月牙周复查,监测PD、BOP; 每6个月进行一次专业洁治; 调整矫治力,避免过大力量; 及时处理牙龈增生等并发症。 |
| 治疗后 | 保持器每日清洁,定期更换; 每3-6个月牙周复查和专业洁治; 每年拍摄X线片评估牙槽骨状况; 纠正不良习惯,避免咬创伤。 |
FAQs

问题1:牙周病患者正畸前必须做pao牙周治疗吗?为什么?
解答:必须,pao牙周治疗是正畸前不可或缺的步骤,牙周炎症状态下,牙周组织对矫治力的反应异常,易加重牙槽骨吸收和牙根吸收;矫治器会增加菌斑滞留,若炎症未控制,正畸中可能引发牙龈炎、牙周脓肿等并发症,甚至导致牙齿松动脱落,只有通过pao治疗消除炎症、控制菌斑,才能为牙齿移动创造健康的牙周环境,保障正畸治疗的安全性和有效性。
问题2:正畸过程中出现牙龈出血、牙齿松动怎么办?
解答:正畸中牙龈出血多与菌斑堆积或牙周炎症复发有关,需加强口腔卫生(如使用正畸牙刷、牙间隙刷清洁),并尽快复诊检查牙周状况,必要时进行龈下刮治;牙齿松动若在正常范围内(松动度Ⅰ度,无疼痛),可能是牙齿移动过程中的暂时反应,需观察牙周探诊深度和牙槽骨情况;若松动明显(Ⅱ度及以上)或伴疼痛、牙龈肿胀,需暂停加力,排除牙周急性炎症或牙根吸收可能,及时进行牙周治疗。

