口腔正畸技术是通过专业装置对牙齿、颌骨及面部软组织施加生物力,调整错位牙、异常颌关系及面部形态,实现功能与美学统一的技术,随着材料学和数字化发展,正畸技术已从单一矫正向精准化、个性化、舒适化方向演进,其发展历程可追溯至古代,古埃及用金属带环固定牙齿,18世纪出现“正畸”概念,19世纪Angle创立错颌分类法奠定现代正畸基础;20世纪不锈钢托槽、镍钛合金丝、自锁托槽等技术相继问世;21世纪数字化技术(口内扫描、3D打印、AI)推动正畸进入精准时代。
主流正畸技术类型及特点如下:

| 技术类型 | 原理 | 优点 | 缺点 | 适用人群 |
|---|---|---|---|---|
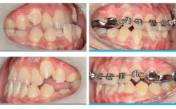
| 传统金属托槽 | 粘接于牙面,弓丝结扎施力 | 强度高、性价比高、适用复杂病例 | 美观性差、口腔异物感强 | 青少年及复杂错颌患者 |
| 陶瓷托槽 | 陶瓷材质托槽,接近牙齿颜色 | 美观性好、强度较高 | 脆性大、价格较高、易染色 | 对美观要求高的成人 |
| 自锁托槽 | 托槽自带锁闭装置,减少摩擦力 | 复诊间隔延长(6-8周)、舒适度高 | 成本较高、技术要求高 | 对舒适度要求高、配合度差的患者 |
| 隐形矫正 | 3D打印透明牙套,分阶段移动牙齿 | 完全隐形、可摘戴、方便清洁 | 对依从性要求高、复杂病例效果有限 | 轻中度错颌、成人患者 |
| 舌侧矫正 | 托槽粘接于舌侧,完全隐形 | 隐形效果最佳、不影响美观 | 操作难度大、费用高、初期发音不适 | 对美观要求极高的成人 |
正畸技术的核心原理基于“骨改建”理论:通过持续、轻柔的力作用于牙齿,使牙周组织压力侧骨组织吸收、张力侧骨组织增生,带动牙齿缓慢移动至理想位置,数字化技术的应用进一步提升了精准度:口内扫描替代传统取模,10分钟内获取三维牙颌模型;AI算法通过分析面部比例、牙齿形态生成个性化方案;3D打印技术定制个性化托槽或牙套,误差控制在0.1mm以内,大幅缩短治疗周期。
正畸技术的适应症广泛,包括牙列拥挤(牙齿排列不齐)、牙列稀疏(牙缝过大)、深覆合(上牙覆盖下牙过多)、深覆盖(门牙前突)、反颌(下前牙覆盖上前牙,俗称“地包天”)、开颌(上下牙无法咬合)、中线偏斜等,部分骨性问题需配合正颌手术联合治疗。
其优势在于:改善咬合功能(提升咀嚼效率)、预防口腔疾病(减少食物嵌塞引发的龋齿和牙周病)、优化面部美观及心理状态,挑战则包括:治疗周期较长(通常1-3年)、患者需严格配合(如避免过硬食物、按时复诊)、费用较高(传统矫治2-4万,隐形矫治3-6万),复杂病例需多学科联合干预。
FAQs
Q1:隐形矫正和传统矫正如何选择?
A1:需根据错颌类型、年龄、美观需求及预算综合判断,传统矫正适用复杂病例(如严重拥挤、骨性错颌),性价比高;隐形矫正适合轻度至中度错颌、成人及对美观要求高者,但需每日佩戴20小时以上,依从性不足会影响效果。

Q2:正畸治疗过程中会出现哪些不适?如何缓解?
A2:初期(1-2周)可能出现牙齿酸痛、咀嚼无力,属正常现象,可进食软食、避免冷热刺激;矫治器可能刺激口腔黏膜,可使用正畸蜡覆盖托槽;若疼痛持续或出现溃疡,需及时复诊调整装置。
