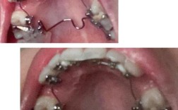
在正畸治疗中,TPA(Transpalatal Arch,横腭杆)是一种常用的辅助装置,主要由不锈钢丝制成,形态呈“U”形或“N”形,两端通过焊接或粘接的方式固定在上下颌第一磨牙的带环或托槽上,横跨硬腭中部连接两侧后牙,其设计简单却功能多样,在牙齿移动、支抗控制、牙弓形态维持等方面发挥着不可替代的作用,尤其在复杂错颌畸形的治疗中,常作为正畸医生的重要“工具”之一。
TPA的核心作用与应用原理
增强支抗控制,稳定后牙位置
支抗控制是正畸治疗的关键,指在移动目标牙齿时,尽可能保持其他牙齿(尤其是后牙)的稳定,避免不必要的移动,TPA通过连接两侧第一磨牙,将后牙区形成一个“整体支抗单位”,当需要内收前牙(如拔牙病例中关闭拔牙间隙)时,TPA能有效抵抗前牙移动时产生的反作用力,防止后牙前移,确保支抗牙的稳定性,在拔除上下颌第一前磨牙的病例中,若不使用支抗装置,前牙内收时后牙可能前移2-3mm,导致磨牙关系改变、面型恶化;而TPA通过腭部的刚性连接,将后牙前移量控制在0.5mm以内,为前牙精确移动提供可靠支抗,TPA还可用于“颌间支抗”,配合颌间牵引(如Ⅲ类牵引)时,通过稳定后牙,增强牵引力的传递效率,避免后牙咬合干扰。

实现磨牙的精细移动与位置调整
磨牙的位置异常(如近中倾斜、远中倾斜、伸长或压低)是错颌畸形的常见问题,TPA可通过调整钢丝的形态和施加的力,实现磨牙的多维度移动:
- 纠正磨牙倾斜:若磨牙近中倾斜(常见于Ⅱ类错颌),可将TPA钢丝弯制成“摇椅形”,在磨牙牙冠远中面施加持续轻力,促使磨牙直立;反之,远中倾斜的磨牙可通过反向弯曲的TPA使其近中移动。
- 压低或伸长磨牙:通过在TPA与磨牙牙冠之间放置橡皮圈或调整钢丝的垂直曲,可对磨牙施加垂直向力,开颌患者需压低后牙以改善面部垂直高度时,TPA可通过“压低弹簧”实现双侧磨牙均匀压低;而深覆颌患者若需伸磨牙打开咬合,则可通过伸长曲设计达到目的。
- 远中移动磨牙:非拔牙病例中,若需为前牙排齐创造间隙,可将TPA与口外弓或种植支抗钉配合,通过TPA稳定对颌牙,实现上颌磨牙的远中移动,避免后牙前移导致的“拥挤加重”。
纠正牙弓中线偏斜,建立对称咬合
牙弓中线偏斜(如单侧后牙早失、萌出不足或前牙反颌)会导致咬合不对称、面部中线不协调,影响美观和功能,TPA通过连接两侧后牙,可“锁定”牙弓宽度,同时配合单侧加力,纠正中线偏斜:左侧后牙前移导致中线右偏时,可在TPA左侧施加远中移动的力,通过左侧磨牙的后移带动左侧牙弓整体调整,使中线逐渐恢复至面部中线上,TPA还能防止纠正中线过程中,非目标牙的代偿性移动,确保中线对称且稳定。
辅助其他正畸装置,提升治疗效果
TPA并非独立使用,常与其他正畸装置联合,发挥协同作用:
- 配合扩弓装置:对于牙弓狭窄的患者,常使用快速腭扩器(RME)或慢速扩弓器,但扩弓后后牙易向前移动导致“复发”,TPA可在扩弓期间固定后牙,维持扩弓获得的牙弓宽度,同时防止后牙前移导致的咬合平面改变。
- 联合种植支抗钉:种植支抗钉提供“绝对支抗”,但需避免支抗钉受力时周围牙齿移动,TPA通过连接后牙,与种植钉形成“双重支抗”,例如在压低磨牙时,种植钉提供垂直向支抗,TPA防止磨牙近中倾斜,确保磨牙整体压低。
- 稳定矫治器附件:对于戴用活动矫治器或隐形矫治器的患者,TPA可作为“稳定锚点”,防止矫治器在咀嚼时脱落或移位,尤其适用于配合度较低的患者。
维持牙弓宽度与长期稳定性
正畸治疗后,牙弓宽度易出现复发(尤其是扩弓后),导致牙齿拥挤或咬合问题,TPA可在治疗后期(如保持器阶段)继续佩戴,通过维持牙弓的横向宽度,防止牙齿向舌侧或颊侧漂移,对于青少年患者,TPA可适应颌骨的生长发育,在调整牙弓形态的同时,引导后牙正常萌出,避免因牙弓宽度不足导致的“异位萌出”或“阻生牙”。

TPA的适应症与注意事项(表格总结)
| 类别 | |
|---|---|
| 适应症 | 需增强支抗的拔牙/非拔牙病例(如前牙内收、磨牙关系调整); 磨牙位置异常(近中/远中倾斜、伸长/压低); 牙弓中线偏斜(单侧后牙前移、萌出不足); 需配合扩弓、种植支抗等联合治疗; 治疗后维持牙弓宽度、防止复发。 |
| 注意事项 | 严格选择适应证:并非所有患者均需使用,需根据错颌类型、牙齿移动需求设计; 精确粘接与调整:带环/托槽需牢固粘接,避免脱落;钢丝形态需根据牙齿移动定期调整(每4-6周复诊); 口腔卫生维护:TPA钢丝易存留食物残渣,需使用正畸牙刷、牙线、冲牙器清洁,预防牙龈炎、龋齿; 并发症观察:若出现腭部黏膜溃疡、钢丝刺激,需及时调整或打磨;长期佩戴者需定期拍摄X线片,观察牙根及牙周情况。 |
相关问答FAQs
问题1:TPA佩戴期间口腔卫生怎么维护?
解答:TPA钢丝横跨硬腭,易藏匿食物残渣,若清洁不当易导致牙龈炎、龋齿或口腔异味,建议:① 使用正畸牙刷(小头软毛牙刷)刷牙时,将刷头倾斜45°,对准牙齿与钢丝交界处,水平震颤清洁;② 配合牙线穿过钢丝下方,清洁邻面牙缝;③ 每天使用冲牙器冲洗腭部钢丝,清除附着物;④ 避免食用过硬、黏性食物(如坚果、口香糖),防止钢丝变形或食物残留;⑤ 每半年进行一次专业牙周洁治,清除牙结石和菌斑,若出现牙龈红肿、出血,需及时复诊,医生会调整钢丝形态并指导清洁方法。
问题2:所有正畸患者都需要戴TPA吗?
解答:并非所有正畸患者都需要戴TPA,其使用需根据患者的错颌类型、治疗计划及牙齿移动需求决定,简单的牙齿拥挤(无需拔牙)、轻度深覆颌(仅前牙需要压低)等病例,可能通过常规托槽和弓丝即可完成治疗,无需TPA辅助;而对于拔牙病例(需强支抗防止后牙前移)、磨牙严重倾斜、中线偏斜或需联合扩弓/种植支抗的复杂病例,TPA则是重要的辅助装置,是否需要佩戴TPA,需由正畸医生通过临床检查、X线片模型分析后综合判断,患者不可自行要求或拒绝佩戴,以免影响治疗效果。

