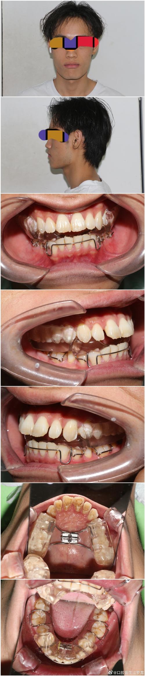
牙板固定是正畸治疗中常用的辅助手段,主要指通过树脂等材料将牙板粘接在牙齿表面,或利用牙板作为支抗辅助牙齿移动,当牙板固定后,正畸治疗便进入协同调整与精细稳定阶段,这一阶段既需要医生的专业操作,也需要患者的密切配合,以确保牙齿按计划移动至理想位置,并维持长期稳定效果。
牙板固定后的正畸流程可分为初期适应、中期协同调整及后期精细稳定三个阶段,每个阶段的目标、操作重点及患者注意事项各有不同。

牙板固定后的初期适应阶段(1-4周)
牙板固定后,牙齿及周围组织需要时间适应新的力学环境,此阶段的核心是“评估与调整”,确保牙板发挥基础作用,同时处理患者可能出现的不适。
医生操作重点
- 密合度检查:固定牙板后,医生需用探针检查牙板与牙齿的贴合情况,确保边缘无悬突、无压迫牙龈,避免食物嵌塞或刺激黏膜,若发现牙板与牙齿间存在缝隙,需及时补充树脂粘接,防止细菌滋生导致龋坏。
- 初始移动评估:通过拍摄口腔X光片或数字化模型,确认牙齿是否按预期开始移动(如扭转牙是否初步排齐、牙间隙是否开始关闭),若移动方向与计划偏差,需调整牙板上的牵引钩或更换弓丝,重新施加矫正力。
- 咬合调整:检查牙板是否影响正常咬合,避免早接触导致牙齿酸痛或颞下颌关节不适,若有咬合干扰,需精准调磨牙板或对颌牙齿,建立均匀的咬合关系。
患者配合要点
- 不适感管理:牙板固定后1-3天内,可能出现牙齿酸痛、口腔黏膜摩擦疼痛,属正常现象,可通过温盐水漱口、服用非处方止痛药(如布洛芬)缓解;若黏膜出现溃疡,可使用正畸保护蜡覆盖牙板边缘。
- 口腔卫生强化:牙板表面易积累食物残渣,需使用正畸专用牙刷(如小头软毛牙刷)和牙线刷,每天至少刷牙3次,每次3分钟,配合冲牙器清洁牙板与牙齿的邻面间隙,预防牙龈炎和龋坏。
- 饮食禁忌:避免食用过硬(如坚果、骨头)、黏性(如口香糖、年糕)或过甜食物,防止牙板脱落或变形,进食时细嚼慢咽,避免用牙板直接咬硬物。
牙板固定后的中期协同调整阶段(1-6个月)
当牙齿适应牙板固定后,正畸治疗进入“主动移动”阶段,牙板将与托槽、弓丝等装置协同作用,实现复杂牙齿移动(如关闭拔牙间隙、纠正深覆合、改善中线偏斜等)。
医生操作重点
- 力学装置更换:根据牙齿移动进度,定期更换弓丝(如从细圆丝换为方丝),通过弓丝的形变施加持续轻力,引导牙根在牙槽骨中定向移动,利用牙板上的牵引钩挂橡皮圈,进行颌间牵引(如II类或III类牵引),调整上下颌骨及牙齿的相对位置关系。
- 牙板支抗强化:若需大幅移动后牙(如前牙内收关闭间隙),牙板将作为支抗装置,防止后牙前移,医生会在牙板舌侧增加抗曲设计,或植入支抗钉(微种植体)增强支抗稳定性,确保前牙按计划移动。
- 移动效率监控:每4-6周复诊一次,通过口腔扫描或模型对比,监测牙齿移动速度和方向,若移动缓慢,可能需增加矫正力(如更换更粗的弓丝或调整牵引力);若出现牙齿倾斜、扭转等异常,需及时纠正牙板或弓丝的形态。
患者配合要点
- 严格佩戴牵引装置:若医生要求佩戴橡皮圈或颌间牵引器,需保证每天佩戴20-22小时,仅刷牙、进食时取下,避免随意摘戴导致牙齿移动失控。
- 疼痛应对:每次调整弓丝或牵引后3-5天内,牙齿酸痛可能加重,属正常现象,可通过吃软食、避免冷热刺激缓解;若疼痛持续超过1周或加剧,需复诊检查是否存在弓丝末端刺伤黏膜或牙板压迫问题。
- 避免意外损伤:牙板可能影响发音,初期说话可能不清晰,需通过朗读、练习发音逐渐适应;避免碰撞牙齿(如运动时不戴护齿),防止牙板脱落或弓丝变形。
牙板固定后的后期精细稳定阶段(6个月以上)
当牙齿移动至目标位置后,正畸治疗进入“精细调整与稳定”阶段,牙板将作为保持装置的一部分,辅助牙齿在新位置稳定,并为最终拆除矫正器做准备。
医生操作重点
- 咬合精细打磨:通过数字化咬合分析,调整牙板及牙齿的咬合接触点,确保前牙覆合覆盖正常、后牙咬合均匀,避免咬合创伤导致牙齿移位。
- 牙板形态优化:根据牙齿排列的最终形态,修整牙板边缘,使其与牙齿表面更贴合,减少对牙龈的刺激,同时为后续保持器佩戴预留空间。
- 保持方案设计:拆除托槽后,牙板可能暂时保留作为临时保持,同时配合活动保持器或透明保持器,防止牙齿反弹,医生会根据患者牙齿稳定性(如牙根吸收情况、牙周支持组织健康状况)制定个性化保持计划。
患者配合要点
- 保持器佩戴:若需配合活动保持器,需严格按医嘱佩戴(通常初期每天24小时,3个月后改为夜间佩戴);若仅保留牙板作为保持,需注意其清洁,避免长期粘接导致牙面脱矿。
- 定期复查:保持期间每3-6个月复诊一次,医生会通过X光片检查牙根位置、牙槽骨密度,评估牙齿稳定性,及时调整保持方案。
- 长期维护:即使正畸结束,仍需坚持良好口腔卫生习惯,每年进行1-2次专业洗牙,预防牙周疾病,因为牙周健康是牙齿长期稳定的基础。
牙板固定后正畸各阶段关键信息总结
| 阶段 | 时间范围 | 核心目标 | 医生操作重点 | 患者配合要点 |
|---|---|---|---|---|
| 初期适应 | 1-4周 | 适应牙板,确保基础稳定 | 检查密合度,评估初始移动,调整咬合 | 管理不适感,强化口腔卫生,避免硬食 |
| 中期协同调整 | 1-6个月 | 主动移动牙齿,解决复杂问题 | 更换弓丝,强化支抗,监控移动效率 | 严格佩戴牵引装置,应对疼痛,避免意外损伤 |
| 后期精细稳定 | 6个月以上 | 精细调整咬合,维持长期稳定 | 打磨咬合,优化牙板形态,制定保持方案 | 佩戴保持器,定期复查,长期维护口腔健康 |
相关问答FAQs
Q1:牙板固定后吃东西塞牙怎么办?
A:牙板固定后,牙齿邻面可能因牙板存在暂时性缝隙,导致食物嵌塞,此时应避免用牙签或普通牙线强行剔牙,以免损伤牙龈或导致牙板脱落,建议使用正畸专用牙线(如带尼龙线的牙线棒)或冲牙器,从牙合方或唇颊侧伸入间隙,轻轻冲洗食物残渣;若塞牙频繁且伴有疼痛,可能是牙板与牙齿间不贴合或邻面龋坏,需及时复诊检查,医生会根据情况调整牙板或进行补牙处理。

Q2:牙板固定期间可以运动吗?需要注意什么?
A:牙板固定期间可以运动,但需根据运动类型调整防护措施,对于非对抗性运动(如慢跑、游泳、瑜伽),一般无需特殊防护,但需注意避免剧烈晃动导致牙板粘接剂松动;对于对抗性或接触性运动(如篮球、拳击、足球),必须佩戴专业运动护齿,护齿需覆盖牙板及周围牙齿,防止外力直接撞击导致牙板脱落、牙齿松动或弓丝变形,若运动后出现牙板松动、牙齿疼痛或咬合异常,应立即停止运动并复诊检查。
