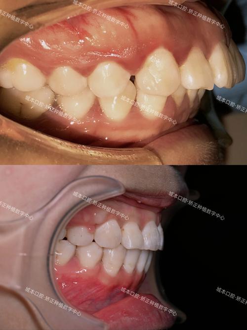
侧切牙内凹是口腔正畸中常见的牙齿畸形类型,主要表现为上颌侧切牙牙冠向舌侧倾斜,导致牙颈部唇侧膨隆、牙冠唇面看起来“凹陷”,常伴随牙齿扭转、牙间隙或咬合异常等问题,这种畸形不仅影响微笑美观,还可能因牙齿清洁困难增加龋病、牙周病风险,严重时会导致咬合功能紊乱,因此需通过正畸治疗进行干预。
侧切牙内凹的成因与危害
侧切牙内凹的形成是多因素综合作用的结果,遗传因素是重要原因,部分患者家族中存在类似牙列特征,可能与牙齿萌出方向、牙槽骨发育的遗传倾向有关;替牙期障碍也不容忽视,如乳侧切牙早失导致恒牙萌出空间不足、乳牙滞留影响恒牙正常萌出方向,或上颌骨发育不足(如上颌前牙区牙弓长度不足),均可能迫使侧切牙向舌侧倾斜以适应空间;长期不良习惯(如咬唇、吐舌)会持续对侧切牙施加舌侧压力,加剧内凹;外伤或乳牙根尖周感染可能影响恒牙胚发育,导致牙齿形态和位置异常。

从危害来看,美观上,内凹的侧切牙会破坏微笑弧线的对称性,尤其在前牙区显露明显时,影响个人形象;功能上,牙齿倾斜可能导致咬合时受力不均,长期易引发颞下颌关节紊乱;健康上,舌侧倾斜的牙齿邻接关系异常,易嵌塞食物,加之清洁难度增加,易导致牙龈炎、牙周炎,甚至牙槽骨吸收。
正畸治疗的核心原理与目标
正畸治疗通过施加持续、轻柔的生物力,利用牙齿与牙槽骨之间的改建能力(即“骨改建”),移动牙齿至正常位置,针对侧切牙内凹,治疗核心目标包括:纠正牙齿舌侧倾斜,使牙长轴与牙弓中线平行;关闭可能存在的牙间隙;调整咬合关系,确保前牙覆颌覆盖正常、后牙尖窝交错稳定;最终实现功能与美观的统一。
正畸方案选择与适用情况
根据患者年龄、畸形程度、口腔条件及美观需求,正畸医生会选择不同的矫治方案,各类方案的特点如下表所示:
| 矫治器类型 | 优点 | 缺点 | 适用人群 |
|---|---|---|---|
| 传统金属托槽 | 矫治力度强,性价比高,适应证广 | 美观度差,口腔异物感明显 | 畸形复杂、需大幅度移动牙齿的青少年或成人 |
| 陶瓷托槽 | 美观度较好(接近牙齿颜色),强度适中 | 易染色(需避免咖啡、茶等),费用高于金属托槽 | 对美观有要求、畸形程度中等的患者 |
| 隐形矫治器(如隐适美) | 完全透明,可摘戴,舒适度高,便于清洁 | 费用高,需患者严格佩戴(每天20小时以上),复杂病例效果受限 | 成年人、对美观要求高、配合度好的患者 |
| 舌侧矫治器 | 完全隐藏在舌侧,美观度最佳 | 技术难度大,费用极高,异物感强,发音影响明显 | 对美观有极致要求、经济条件允许的成人 |
正畸治疗流程与周期
- 诊断设计阶段:通过口腔检查、拍摄全景片、头颅侧位片、CBCT(必要时)及口内扫描获取数据,分析牙齿位置、骨型、咬合关系,制定个性化方案,包括是否需要拔牙(如牙弓严重不足)、是否使用支抗钉(增强内收效率)等。
- 排齐整平阶段:通常使用镍钛圆丝、镍钛方丝等柔性弓丝,逐步解除牙齿扭转、拥挤,使牙列基本排齐,为后续内收创造条件,周期约3-6个月。
- 内收与关闭间隙阶段:通过滑动法(使用不锈钢方丝+结扎丝关闭间隙)或关闭曲法(在弓丝上弯制闭合曲,通过加力内收牙齿),将舌侧倾斜的侧切牙向唇侧移动,关闭牙间隙,周期约6-12个月。
- 精细调整阶段:更换细方丝进行“三向调整”(唇舌向、近远中向、垂直向),优化牙齿邻接关系、咬合接触点及微笑曲线,周期约3-6个月。
- 保持阶段:拆除矫治器后,佩戴保持器(通常为Hawley保持器或透明保持器),防止牙齿复发,前6个月需全天佩戴,之后逐渐过渡至夜间佩戴,持续1-2年或更久。
治疗注意事项与风险提示
正畸治疗需医患共同配合:患者需严格遵医嘱佩戴矫治器(尤其隐形矫治器),保持口腔卫生(使用正畸专用牙刷、牙缝刷、冲牙器),避免咬硬物(如坚果、骨头),定期复诊(一般4-6周一次);若出现疼痛加剧、托槽脱落等情况,需及时就医。
治疗风险包括:牙根吸收(多与矫治力过大或个体差异有关,需通过CBCT监测)、牙龈退缩(牙齿移动过程中唇侧骨板较薄可能导致)、复发(如保持不当、不良习惯未纠正),因此在治疗前需进行全面评估,治疗中密切监控,治疗后严格保持。

相关问答FAQs
Q1:侧切牙内凹正畸后容易复发吗?如何预防?
A:复发风险与多因素相关:若治疗未完全纠正牙齿倾斜、存在未关闭的间隙、保持不当(如未佩戴保持器),或患者仍有咬唇、吐舌等不良习惯,可能导致复发,预防措施包括:完成治疗后严格佩戴保持器(至少1-2年,夜间长期佩戴);彻底纠正不良习惯;定期复查(每3-6个月一次),医生会通过检查和模型监测牙齿稳定性,发现问题及时处理(如加戴临时保持器)。
Q2:成人侧切牙内凹正畸和青少年比,有哪些不同?
A:成人正畸与青少年存在明显差异:一是骨改建能力不同,青少年处于生长发育期,骨代谢活跃,牙齿移动效率高、周期短(通常1-2年),而成人骨改建速度慢,治疗周期可能延长(2-3年),且需先排查牙周病(若有需先控制炎症);二是治疗目标侧重不同,青少年更注重生长发育引导,成人则更强调美观与功能的平衡,部分成人患者可能需结合修复治疗(如牙齿形态异常)以达到最佳效果;三是依从性要求更高,成人需严格配合佩戴矫治器(尤其是隐形矫治器),以保证疗效。
