正畸种植钉作为口腔正畸治疗中重要的辅助工具,通过植入牙槽骨内提供稳定的支抗,帮助医生实现复杂牙齿移动,如内收前牙、压低伸长牙、纠正中线偏移等,随着患者对治疗过程知情需求的增加,正畸种植钉相关的科普视频逐渐成为医患沟通的重要载体,这类视频通常以直观、易懂的方式展示种植钉的原理、植入流程及注意事项,有效缓解患者焦虑,提升治疗配合度。
正畸种植钉的视频内容通常围绕核心知识点展开,系统化呈现关键信息,从基础概念入手,视频会首先解释种植钉的定义——这是一种直径1.5-3mm、长度6-12mm的微型钛钉或不锈钢钉,通过微创手术植入牙槽骨,利用骨整合作用提供“骨性支抗”,区别于传统的“牙性支抗”(如邻牙或牙弓),可避免支抗牙移位,实现更精准的牙齿控制,随后会介绍其适应症,比如前牙内收关闭间隙、磨牙压低改善咬合、露龈笑矫正(压低上颌前牙)、骨性畸形的代偿治疗等,帮助患者判断自身是否需要此类辅助工具。

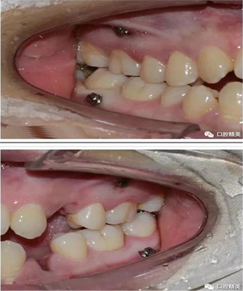
视频的重点环节往往集中在种植钉的植入流程,这部分内容常结合动画演示与实拍画面,清晰呈现每一步操作,术前准备阶段,医生会强调影像学检查(如CBCT)的重要性,以避开牙根、神经血管等解剖结构,确定安全植入位置;同时进行口腔清洁(如洗牙、刮治),确保植入区域无炎症,局部麻醉是关键步骤,视频会展示麻醉药物注射过程,说明麻醉后区域仅感压迫感而无痛感,植入操作中,医生先用微创切口器在牙龈上做小切口(约2-3mm),随后用专用手机备洞(在牙槽骨上制备适合种植钉的窝洞),再将种植旋入窝洞,最后调整露出牙龈部分的高度(约1-2mm,便于后续正畸加力),整个过程通常5-10分钟,创伤小、恢复快。
术后护理与注意事项是视频中的实用内容,直接影响种植钉的成功率,视频会提醒患者24小时内避免刷牙、漱口过激,防止创口出血;术后1周内避免植入侧咀嚼硬物、食用过热或刺激性食物,以免刺激牙龈;日常需加强口腔清洁,使用软毛牙刷、牙线、冲牙器等,避免种植钉周围食物堆积引发炎症,视频会强调异常情况的识别:若出现种植钉松动、脱落,或局部红肿、疼痛加剧、流脓等感染症状,需立即复诊,医生会根据具体情况调整治疗方案(如重新植入或抗感染处理)。
为帮助患者更直观理解,视频常通过表格对比不同类型种植钉的特点,按植入部位可分为上颌种植钉(如颧骨、腭部、牙槽间隔)和下颌种植钉(如下颌后牙区、颏部),上颌骨骨质较疏松,植入时需注意角度避开上颌窦;下颌骨骨质致密,备洞时可能需要更大扭矩,按材质可分为钛合金种植钉(生物相容性好、强度高,临床应用最广)和不锈钢种植钉(价格较低,但部分患者可能对金属过敏),表格还会列出适用场景,如钛合金种植钉适用于需长期稳定支抗的病例,而不锈钢种植钉多用于短期、简单的牙齿移动控制。
正畸种植钉视频的价值不仅在于知识传递,更在于构建医患信任的桥梁,对医生而言,视频可作为沟通工具,在治疗前向患者展示操作细节,解答“是否安全”“疼痛程度”“恢复时间”等常见问题,减少患者因未知产生的恐惧;对患者而言,通过视频了解治疗原理后,能更主动配合复诊和护理,提高种植钉的稳定性及正畸效果,值得注意的是,患者需通过正规医疗机构获取视频(如医院官方平台、专业医学数据库),避免非专业人士制作的片面内容误导,确保信息的科学性和安全性。

相关问答FAQs
Q1:种植钉植入过程中会感觉很疼吗?
A1:种植钉植入前会进行局部麻醉,麻醉后操作区域基本无痛感,仅可能感到轻微的压迫或酸胀感,类似普通补牙时的注射麻药过程,术后麻药消退后,部分患者会出现轻微疼痛或不适,通常持续1-3天,可通过冷敷(术后24小时内)或遵医嘱服用非处方止痛药缓解,一般不影响正常生活。
Q2:种植钉在使用过程中不慎脱落了怎么办?
A2:若发现种植钉松动或脱落,切勿自行尝试重新植入,以免损伤周围组织,应立即联系正畸医生,医生会评估脱落原因:若因外力撞击(如意外磕碰)或骨质条件导致,可能需等待3个月后牙槽骨愈合重新植入;若因护理不当(如咬过硬食物)引发,医生会检查创口情况,必要时进行清创,并根据治疗进度调整方案(如改用其他支抗方式),脱落不影响正畸整体进程,及时处理即可。

