正畸治疗中,J钩作为一种常见的辅助装置,主要用于牵引牙齿、调整咬合关系或纠正颌骨异常,其设计原理是通过口外力对特定牙齿施加定向牵引,帮助实现内收前牙、压低磨牙等治疗目标,若使用不当或适配性不佳,J钩可能引发一系列口腔健康问题,甚至造成不可逆的损伤,通过观察相关危害照片,能直观了解这些风险,为患者和医生提供警示,规范操作流程。
J钩的工作原理与适用场景
J钩通常由金属丝制成,一端弯曲成钩状,与需移动的牙齿(如前牙或磨牙)的托槽结扎固定,另一端通过橡皮链或弹性牵引至头帽、颈带等口外装置,产生持续的牵引力,其适用场景包括:严重牙齿前突的内收、深覆合或深覆盖的纠正、磨牙压低以改善咬合平面、以及个别牙齿的异位牵引等,尽管作用明确,但J钩的效果高度依赖医生对牵引力大小、方向和作用时间的精准控制,任何参数偏差都可能导致并发症。

J钩的常见危害及照片表现
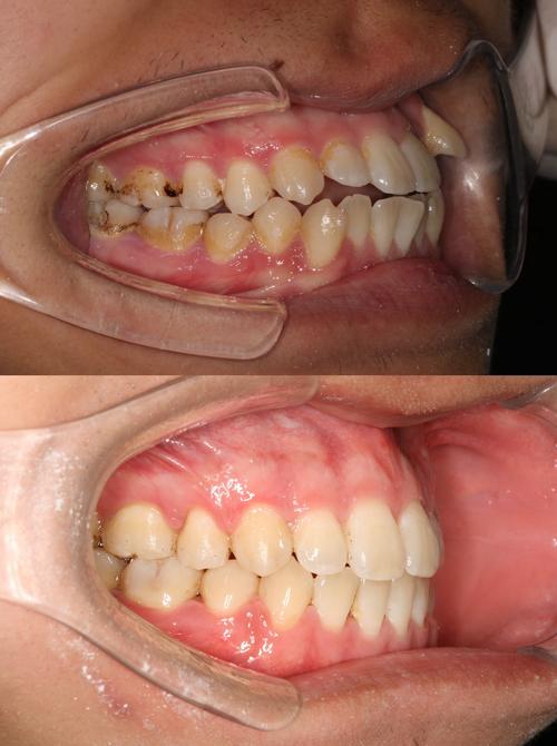
通过临床危害照片可清晰观察到,J钩使用不当可能引发多类问题,涉及软组织、牙体、牙周及颌关节等多个部位,具体表现如下:
软组织损伤:牙龈退缩与口腔黏膜溃疡
J钩的牵引钩若与牙龈、颊黏膜等软组织长期摩擦,或牵引力过大,会导致机械性损伤,照片中可见患者牙龈边缘出现红肿、糜烂,甚至退缩至釉牙骨质界以下,牙根部分暴露(表现为牙齿颈部“变长”);颊黏膜或系带处可见圆形或线状溃疡,表面覆有白色假膜,周围黏膜充血(如图1所示),这类损伤不仅影响美观,还可能引发牙本质敏感,冷热刺激时疼痛明显。
牙根吸收:X光片下的“牙根变短”
牙根吸收是J钩潜在危害中最严重且不可逆的并发症之一,过度牵引或牵引方向异常,会导致牙根表面牙骨质被吸收,牙髓组织受损,通过根尖X光片可观察到:牙根尖端或侧方出现圆形、椭圆形的暗影,牙根长度较治疗前明显缩短(如图2所示),严重时牙根吸收超过1/3,牙齿松动度增加,甚至可能引发脱落,照片中对比可见,健康牙根呈连续的锥形轮廓,而吸收后的牙根轮廓模糊、中断。
颞下颌关节紊乱(TMD):面部对称性与开口异常
J钩的牵引力若通过头帽施加,方向不当可能影响颞下颌关节(TMJ),患者可能出现关节区疼痛、弹响、张口受限等症状,照片中可见患者面部两侧不对称(如牵引侧下颌角偏斜),张口时下颌中线偏斜,或关节区肌肉(如咬肌)出现萎缩(如图3所示),长期TMD还可能导致头痛、耳鸣等全身症状,严重影响生活质量。

牙齿移动异常:倾斜与扭转而非整体移动
J钩的理想牵引应使牙齿整体移动(如平动),若牵引力方向与牙长轴不平行,牙齿可能出现倾斜、扭转或过度移动,口内照片可见:目标牙冠与牙根方向不一致(如前牙内收时牙冠倾斜向唇侧),或相邻牙齿被意外牵拉移位,导致牙列拥挤或散在间隙(如图4所示),这种异常移动不仅影响治疗效果,还可能延长治疗时间。
口腔卫生问题:菌斑堆积与龋齿风险增加
J钩周围区域(如牙龈缘、托槽间隙)易因清洁难度大,导致菌斑堆积、牙结石形成,照片中可见牙齿表面覆盖黄色软垢,牙龈边缘呈现“红肿、易出血”的炎症状态(牙龈炎表现),严重时龋齿发生,表现为牙面出现白垩色或棕黑色龋洞(如图5所示),口腔卫生不良会进一步加剧牙周组织损伤,甚至导致治疗中断。
J钩危害的预防与应对措施
为避免上述危害,医生需严格掌握适应症,精准设计牵引方案;患者需配合定期复查,保持口腔卫生,以下是具体预防措施与处理建议:
| 危害类型 | 预防措施 | 应对措施 |
|---|---|---|
| 软组织损伤 | 选择合适尺寸的J钩,调整牵引钩位置避开牙龈;使用正畸蜡覆盖摩擦部位 | 停止牵引,溃疡处涂抹口腔溃疡凝胶;牙龈退缩者进行牙周治疗,调整牵引方案 |
| 牙根吸收 | 控制牵引力≤50g,定期拍摄X光片监测牙根长度;避免长时间连续牵引 | 发现吸收立即停止牵引,严重时根管治疗或拔除患牙 |
| 颞下颌关节紊乱 | 牵引力方向与牙长轴一致,避免过大力量;调整头帽佩戴位置与松紧度 | 热敷关节区,进行咬合训练;严重时转诊口腔颌面外科,调整治疗计划 |
| 牙齿移动异常 | 通过口内弓辅助控制牙齿移动方向;定期调整牵引力方向 | 矫正牵引装置,使用弹性牵引引导牙齿整体移动;必要时重新设计方案 |
| 口腔卫生问题 | 使用正畸专用牙刷、冲牙器清洁;配合含氟牙膏漱口水 | 专业洁治去除牙结石;龋齿者充填治疗,加强口腔卫生指导 |
照片在J钩危害识别中的价值
临床危害照片是评估J钩安全性的重要工具,通过对比治疗前的基线照片、治疗中的定期照片及复查照片,可早期发现异常:患者可自查牙龈退缩、牙齿松动等问题,及时复诊;医生可通过照片动态监测软组织状态、牙齿位置变化,结合X光片评估牙根情况,及时调整治疗方案,牙龈退缩照片若显示退缩速度加快(每月超过0.5mm),需立即暂停牵引并排查原因;X光片若显示牙根吸收暗影扩大,则需终止治疗并采取干预措施。

相关问答FAQs
Q1:J钩使用后牙龈退缩的照片具体有哪些表现?如何判断是否严重?
A:牙龈退缩的照片主要表现为:牙龈边缘位置低于釉牙骨质界(即牙齿颈部“变长”),牙根部分暴露,牙龈颜色变浅或苍白,退缩区域形态可为“V形”或“月牙形”,若伴随牙龈红肿、出血,或退缩导致牙齿敏感(冷热刺激疼痛),提示存在炎症性损伤;若退缩宽度超过2mm,或暴露的牙根表面出现凹陷(牙根吸收表现),则属于严重情况,需立即就医调整牵引方案,并进行牙周治疗(如引导性组织再生术)促进牙龈修复。
Q2:如何避免J钩使用中出现牙根吸收?出现吸收后还能继续正畸吗?
A:避免牙根吸收的关键在于:①严格把控牵引力,一般不超过50g,避免“暴力牵引”;②定期拍摄根尖X光片(每3-6个月一次),监测牙根长度变化;③避免对已存在牙根吸收风险(如牙根短小、有根尖周病史)的牙齿过度牵引,若发现牙根吸收(X光片显示牙根轮廓模糊、长度缩短),需立即停止牵引,吸收程度较轻(吸收<1/3)且无症状时,可调整治疗计划,改用其他轻力移动方式;吸收严重(≥1/3)或牙齿明显松动时,需终止正畸治疗,优先保存患牙(如根管治疗、牙周固定),必要时拔除患牙并修复。
J钩虽是正畸治疗的有效工具,但其潜在危害不容忽视,通过专业医生的规范操作、患者的密切配合及定期影像学监测,可最大程度降低风险,危害照片作为直观的警示,提醒我们正畸治疗需“安全优先”,在追求美观的同时,保障口腔健康与功能稳定。
