二次正畸是指患者在完成首次正畸治疗后,因牙齿复发、效果不满意、新增口腔问题(如牙周病、牙齿磨损)或生长发育等因素,进行的再次矫正治疗,相较于初次正畸,二次正畸的复杂性更高,往往涉及牙齿位置的精细调整、咬合关系的重建,甚至骨性问题的改善,在这一过程中,种植钉作为一种高效的“骨性支抗”装置,发挥着不可替代的作用,成为解决疑难病例的关键工具。
种植钉在二次正畸中的核心作用
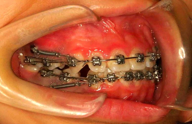
种植钉,又称微种植体支抗,是通过外科手术植入牙槽骨内的微型钛钉,直径通常为1.2-2.0mm,长度6-12mm,其作用原理是利用骨组织与种植钉表面的“骨结合”提供稳定的支抗力量,从而实现牙齿的精准移动,在二次正畸中,由于患者可能存在牙槽骨吸收、牙齿倾斜度大、支抗牙条件差等问题,传统支抗方式(如头帽、颌间牵引)往往难以满足需求,而种植钉的优势尤为突出:

解决支抗不足问题
二次正畸常涉及需要强支抗的病例,如压低伸长的磨牙、关闭拔牙间隙、纠正中线偏移等,部分患者首次正畸后因磨牙伸长导致咬合过深,种植钉可植入颧牙槽嵴或腭部,通过施加持续、稳定的压低力量,避免支抗牙(如前牙)发生不必要的移动,从而精准恢复咬合垂直距离。
纠正复杂牙齿移位
二次正畸患者常伴有牙齿扭转、倾斜、埋伏等问题,种植钉可作为“移动的支点”,通过改变施力方向,实现牙齿的整体移动、控根移动或转矩控制,对于前牙散开复发且伴有唇倾的情况,种植钉可在腭部植入,通过牵引钩施加舌向力,同时配合唇侧牙套的托槽,既关闭间隙又改善牙根位置,避免“黑三角”加重。
弥补骨性畸形矫正的不足
部分二次正畸患者存在轻度骨性问题(如下颌后缩、上颌前突),因不愿接受正颌手术,可通过种植钉进行“掩饰性治疗”,在上颌前突患者的二次矫正中,种植钉植入上颌后牙区,通过整体向后移动上牙弓,配合下颌前牙的代偿性唇倾,改善侧貌凸度,实现功能与美观的平衡。
种植钉在二次正畸中的具体应用场景
磨牙压低与伸长纠正
首次正畸后,若患者未保持好或存在夜磨牙习惯,易导致后牙伸长,引起咬合紊乱、颞下颌关节问题,种植钉可精准压低伸长的磨牙,恢复咬合平面,对于上颌第一磨牙伸长,种植钉可植入腭中缝或颧牙槽嵴,通过镍钛辅弓或直接结扎施加压低力,避免压低过程中前牙伸长或支抗丧失。

拔牙间隙的精细关闭
二次正畸常需重新评估拔牙方案,如首次拔牙后间隙未完全关闭、或因复发出现间隙,种植钉可提供“绝对支抗”,避免非目标牙移动,在关闭上颌拔牙间隙时,种植钉植入上颌后牙区,通过滑动法或关闭曲法,将前牙整体向后移动,确保后牙支抗稳定,防止间隙关闭后后牙前移导致咬合关系紊乱。
中线偏移的纠正
首次正畸后因两侧牙齿移动不对称、牙周病等原因,易出现中线偏斜,种植钉可通过不对称施力调整中线,对于右侧中线偏左的情况,可在左侧上颌植入种植钉,通过牵引钩向右侧移动左侧牙列,同时配合右侧牙列的轻力调整,快速恢复中线对称。
开𬌗、深覆𬌗的矫正
开𬌗或深覆𬌗的二次矫正需垂直向控制牙齿位置,种植钉可压低或伸长特定牙齿,调整咬合高度,对于前牙开𬌗,种植钉可植入下颌前牙牙槽嵴唇侧,通过牵引钩向上移动下颌前牙,同时配合上颌后牙的压低,关闭开𬌗并改善前牙覆𬌗关系。
种植钉的类型与选择
根据植入部位和设计,种植钉可分为不同类型,二次正畸中需根据患者牙槽骨条件、移动需求选择:

| 分类依据 | 类型 | 特点 | 适用场景 |
|---|---|---|---|
| 植入部位 | 骨内种植钉 | 植入牙槽骨皮质层,稳定性高 | 上下颌牙槽骨厚度充足区域(如颊侧、腭侧) |
| 骨膜下种植钉 | 植入骨膜下,创伤较小 | 牙槽骨薄、植入空间有限区域(如颧牙槽嵴) | |
| 直径与长度 | 细直径(1.2-1.5mm) | 创伤小,植入方便 | 牙槽骨薄、需植入靠近牙根区域 |
| 标准直径(1.6-2.0mm) | 骨结合稳定,承力能力强 | 需强支抗、牙槽骨条件好 | |
| 头部设计 | 钩状头部 | 便于直接结扎或挂橡皮筋 | 需频繁调整施力方向(如中线纠正、间隙关闭) |
| 平头/埋入式头部 | 需通过附件连接,减少异物感 | 对美观要求高、避免刺激口腔黏膜 |
二次正畸中使用种植钉的流程与注意事项
操作流程
- 术前评估:通过CBCT检查牙槽骨厚度、密度,避开牙根、神经血管;评估牙周健康状况,牙周炎患者需先控制炎症。
- 植入手术:局部麻醉下,选择合适植入部位,用专用植入器将种植钉旋入骨内,避免过度用力导致骨裂;术后拍摄X线片确认位置。
- 加力时机:一般植入后等待2-4周(骨结合初期),即可开始轻力加力(50-200g),避免过大力量导致松动。
- 调整与维护:定期复诊检查种植钉稳定性,调整牵引方向和力值;保持口腔卫生,使用漱口水预防感染。
- 拆除时机:达到矫正目标后,无需手术,直接用器械旋出,骨缺损可在3-6个月内自行修复。
注意事项
- 禁忌人群:严重骨质疏松、未控制的糖尿病、凝血功能障碍患者,以及种植钉植入区域存在肿瘤或感染者。
- 并发症预防:感染(严格无菌操作,术后抗生素预防)、松动(避免咬硬物,控制咬合力)、神经损伤(术前精准定位神经管)。
- 患者配合:避免用种植钉侧咀嚼,保持口腔清洁,定期复诊,若出现种植钉周围红肿、疼痛或松动,需及时就医。
种植钉在二次正畸中的优势与局限性
优势
- 支抗稳定:骨性支抗不受牙齿移动影响,可实现“绝对支抗”,避免支抗丧失。
- 精准控制:可针对单个牙齿或牙段进行三维方向移动(压低、伸长、转矩、旋转)。
- 舒适度高:体积小,植入部位隐蔽,相较于头帽等传统支抗,患者依从性更好。
- 缩短疗程:高效解决复杂移位问题,减少因支抗不足导致的反复调整,缩短矫正时间。
局限性
- 骨量要求:牙槽骨严重吸收者(如牙周病患者)植入难度大,易松动。
- 费用较高:种植钉本身及植入手术费用增加,需患者经济条件允许。
- 技术敏感性:对医生操作要求高,植入位置不当可能影响牙齿移动或引发并发症。
种植钉的出现为二次正畸提供了突破性的解决方案,尤其对于支抗不足、复杂牙齿移位、骨性代偿等疑难病例,其精准、稳定的支抗特性显著提升了矫正效果和效率,二次正畸本身是复杂且个性化的治疗过程,种植钉的应用需结合患者的口腔状况、矫正目标及全身健康状况,在专业正畸医生的评估和操作下进行,随着材料学和种植技术的不断发展,种植钉在二次正畸中的应用将更加安全、高效,为患者带来更完美的矫正效果。
相关问答FAQs
Q1:二次正畸植入种植钉会很痛苦吗?术后恢复需要多久?
A1:种植钉植入手术通常在局部麻醉下进行,过程类似于补牙,患者仅可能感受到轻微的压力感,无明显疼痛,术后24小时内可能出现轻微肿胀或不适,可通过冰敷缓解,一般3-5天即可恢复正常,不影响正常生活和工作,若疼痛持续或加重,需及时复诊检查是否有感染或种植钉刺激周围组织。
Q2:种植钉在二次正畸中会脱落吗?脱落后怎么办?
A2:种植钉脱落率约为5%-10%,常见原因包括骨结合不良、咬合力过大、植入部位骨量不足或术后感染,若发生脱落,首先需及时联系医生,评估脱落原因:若为早期脱落(植入后2周内),可等待3个月后重新植入;若为矫正后期脱落且已达到目标,可无需处理;若脱落影响矫正进度,医生会根据情况调整方案,如改用其他支抗方式或重新植入,脱落后的骨缺损通常可自行修复,不影响后续治疗。
