在牙齿矫正(正畸)过程中,埋伏牙的发现并不少见,所谓埋伏牙,是指牙齿在萌出过程中,由于骨组织阻碍、萌出空间不足、牙胚位置异常、乳牙滞留或遗传等因素,未能正常突破牙龈牙槽骨,而是停留在颌骨内、黏膜下或邻牙牙根旁的牙齿,正畸治疗的目标是排列整齐牙齿、建立良好咬合功能,而埋伏牙的存在可能直接影响这一进程,甚至引发口腔健康问题,因此需要及时发现并妥善处理。
正畸中发现埋伏牙的常见途径
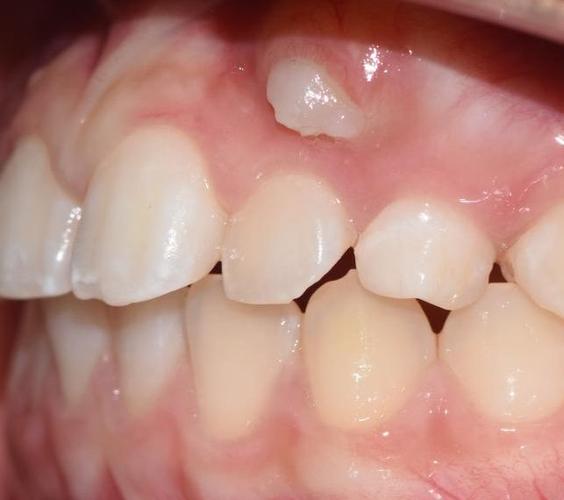
埋伏牙在正畸中的发现,主要通过常规影像学检查和临床观察两种途径,常规检查是核心,包括全景片(曲面断层片)、根尖片及锥形束CT(CBCT),全景片可初步观察全口牙齿的发育情况,发现未萌出的牙齿,但对埋伏牙的精确位置、与邻牙关系及牙根形态显示有限;CBCT则能三维立体呈现埋伏牙的萌出方向、深度、牙根发育程度、与邻牙牙根的距离以及周围骨质情况,是目前诊断埋伏牙的“金标准”,临床观察方面,若正畸治疗过程中出现局部牙龈肿胀、疼痛、牙齿萌出异常(如邻牙倾斜、间隙异常)、牙列不齐加重等情况,也可能提示埋伏牙的存在,需进一步通过影像学检查确认。

埋伏牙对正畸治疗的影响
埋伏牙并非“无害”,其对正畸治疗的影响可归纳为三类:
一是阻碍牙齿移动,若埋伏牙位于目标移动牙齿的路径上,可能成为“障碍物”,导致其他牙齿无法按计划排列,延长治疗时间。
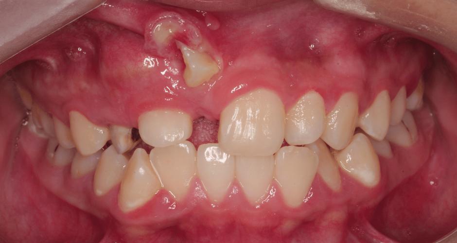
二是损害邻牙健康,埋伏牙可能压迫邻牙牙根,引起牙根吸收、牙髓炎症甚至邻牙松动;若埋伏牙形成含牙囊肿(牙源性囊肿),还可能破坏颌骨骨质,造成更严重的骨缺损。
三是影响正畸效果,即使埋伏牙未直接阻碍治疗,其萌出后也可能导致牙列拥挤、咬合紊乱,破坏正畸建立的整齐效果,甚至需要二次矫正。
发现埋伏牙后的处理流程
埋伏牙的处理需结合其位置、方向、牙根发育情况、与邻牙关系及患者年龄等因素,制定个性化方案,核心目标是“解除障碍、保留功能或安全拔除”。
全面诊断评估
治疗前需通过CBCT等影像学检查明确以下关键信息(具体可通过表格梳理):
| 评估项目 | 临床意义 | |
|---|---|---|
| 位置与方向 | 埋伏牙位于颌骨内的具体位置(上颌/下颌、前牙区/后牙区)、萌出方向(唇侧/舌侧/水平) | 决定手术入路方式(如唇侧开窗或舌侧开窗)及牵引难度 |
| 深度与萌出潜力 | 埋伏牙牙冠距离牙槽嵴顶的深度、牙根发育是否完成(根尖孔是否闭合) | 牙根未完成发育者萌出潜力较大,可优先尝试牵引;根尖闭合者需评估牵引可行性 |
| 与邻牙关系 | 是否压迫邻牙牙根、与邻牙牙根的距离、邻牙是否有牙根吸收或龋坏 | 判断是否保留埋伏牙:若邻牙已严重受损,可能需拔除埋伏牙及邻牙 |
| 周围骨质情况 | 埋伏牙周围是否有骨质破坏、是否形成含牙囊肿 | 囊肿较大者需先手术摘除囊肿,再处理埋伏牙;骨质破坏严重者保留难度大 |
治疗方案制定
根据评估结果,主要分为三类处理方式:

- 开窗助萌+正畸牵引:适用于埋伏牙位置较浅、萌出方向正常、牙根发育良好、无严重邻牙损害的情况,手术中需暴露埋伏牙牙冠(开窗),在牙面上粘接正畸附件(如托槽或牵引钩),通过正畸力量(如镍钛丝、橡皮链)将其牵引至正常位置,后续再进行精细调整。
- 外科-正畸联合治疗:适用于埋伏牙位置较深或萌出方向异常的情况,需先通过外科手术辅助调整牙齿方向(如截骨、去骨),再结合正畸牵引,确保牙齿能顺利萌出并排列整齐。
- 拔除埋伏牙:适用于埋伏牙位置极深、与重要神经血管(如下牙槽神经)邻近、邻牙已严重吸收或无法保留、或形成较大囊肿的情况,拔除后需评估是否进行修复(如种植牙、烤瓷桥)以维持牙列完整性。
治疗实施与术后维护
开窗牵引或拔除术后,患者需严格遵循医嘱:术后1周内避免手术侧咀嚼,保持口腔卫生(使用漱口水、软毛牙刷清洁术区),按时服用抗生素预防感染;牵引期间需每4-6周复查,调整牵引力,确保牙齿移动速度适宜(一般每月移动1mm左右);埋伏牙牵引到位后,需保持器佩戴1-2年,防止复发。
注意事项
正畸患者发现埋伏牙后,需避免因焦虑而擅自决定拔除——部分埋伏牙通过治疗可保留并发挥正常功能,盲目拔除可能导致牙列间隙过大、咀嚼功能下降,治疗过程中需与正畸医生、口腔外科医生充分沟通,了解方案的利弊及风险(如牵引过程中牙根吸收、邻牙松动等),并严格按时复诊,确保治疗顺利进行。
相关问答FAQs
Q1:正畸中发现埋伏牙一定要拔掉吗?
A:不一定,是否拔除需综合评估埋伏牙的萌出潜力、位置、与邻牙关系及患者年龄等因素,若埋伏牙牙根发育良好、位置可及、无严重邻牙损害,可通过开窗牵引保留并纳入正畸治疗;若埋伏牙已导致邻牙严重吸收、形成囊肿或位置极难处理,则建议拔除,以免影响正畸效果及口腔健康。
Q2:埋伏牙牵引治疗需要多长时间?会影响正畸总疗程吗?
A:埋伏牙牵引的时间因人而异,一般需6-12个月,具体取决于埋伏牙的深度、萌出难度及牙齿移动速度,若在正畸早期发现并提前开始牵引,可与正畸治疗同步进行,对总疗程影响较小;若在正畸中期发现,可能需要延长治疗时间(通常延长3-6个月),患者需积极配合医生调整牵引力,定期复查,以缩短治疗周期。

