天津口腔医院作为天津市口腔医疗领域的权威机构,在口腔正畸领域积累了数十年的临床经验与技术优势,是华北地区患者寻求正畸治疗的重要选择,医院正畸科汇聚了一支由博士、硕士组成的专业团队,其中多人担任中华口腔医学会正畸专业委员会等学术组织的委员,承担着多项国家级、市级科研课题,临床技术与科研实力均处于区域领先水平。
在技术设备方面,天津口腔医院正畸科全面引进国际先进的数字化正畸系统,包括德国Sirona口内扫描仪、美国i-CAT CBCT、3D打印机及数字化设计软件,实现了从数据采集、方案设计到矫治器制作的全流程数字化,数字化技术的应用不仅提升了诊断的精准度,还能通过3D动态模拟直观展示治疗过程中的牙齿移动轨迹及最终效果,让患者在治疗前即可预见矫正后的面型与咬合变化,极大增强了治疗的可预见性与患者满意度,针对不同类型的错颌畸形,医院开展包括传统金属托槽矫正、自锁托槽矫正、陶瓷半隐形矫正、隐形无托槽矫正以及功能矫治等多种技术路径,满足青少年、成人等不同患者的个性化需求。

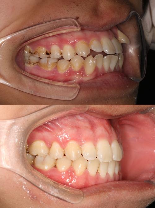
天津口腔医院正畸科在治疗理念上始终坚持“功能与美学并重”,强调咬合功能的稳定与面部美学的协调,对于青少年患者,医院注重早期干预,通过生长改良治疗纠正颌骨发育异常(如“地包天”“小下巴”),降低成年后正畸-正颌联合治疗的风险;对于成人患者,则结合牙周健康、颞下颌关节状况及面部美学需求,制定多学科联合治疗方案(如正畸-修复、正畸-种植等),实现牙齿、牙周、关节及面部的整体和谐,医院还特别关注患者的治疗体验,通过优化复诊流程、开展舒适化治疗(如微创拔牙、激光辅助矫治)等方式,减轻患者在治疗过程中的不适感。
正畸治疗是一个系统的过程,天津口腔医院建立了标准化的治疗流程,确保每一步都精准规范,初诊阶段,医生会通过口腔检查、X光片(曲面断层片、头颅侧位片)、口内扫描及面部照相等方式,全面评估患者的牙齿排列、颌骨关系、面部美学及牙周状况;方案设计阶段,结合数字化模拟结果与患者需求,制定个性化的治疗计划,明确治疗目标、周期及费用;矫治器制作与粘接阶段,根据方案选择合适的矫治器,传统托槽需精准粘接于牙面,隐形矫正则通过3D打印定制一系列透明牙套;主动治疗阶段,患者需按医嘱定期复诊(传统托槽每4-6周,隐形矫正每6-8周),医生通过调整矫治力引导牙齿移动;治疗结束后进入保持阶段,需佩戴保持器2年以上,防止复发。
不同矫治方式各有特点,患者可根据自身需求选择:
| 矫治方式 | 优点 | 缺点 | 适用人群 |
|---|---|---|---|
| 传统金属托槽 | 矫治力稳定,性价比高,适用范围广 | 美观性差,口腔清洁难度大 | 青少年、复杂错颌畸形患者 |
| 自锁托槽 | 复诊间隔延长(6-8周),治疗时间缩短,摩擦力低 | 费用较高,初期可能有不适感 | 对复诊时间有限制者,追求高效治疗者 |
| 陶瓷托槽 | 美观性好,接近牙齿颜色 | 强度略低于金属,费用较高 | 对美观要求较高的成人患者 |
| 隐形矫正 | 可摘戴,美观舒适,易于清洁,可自行摘戴进食 | 费用高,对依从性要求高,复杂病例效果受限 | 轻中度错颌、成人患者 |
天津口腔医院正畸科每年接治大量复杂病例,如严重骨性错颌的掩饰性治疗、唇腭裂术后正畸、多生牙埋伏牙联合治疗等,积累了丰富的临床经验,医院还注重学术交流与人才培养,定期邀请国内外知名正畸专家来院授课,选派医生赴欧美顶尖口腔院校进修,确保技术与国际前沿保持同步,在患者服务方面,医院开设了正畸专科门诊,提供“一对一”的咨询服务,建立患者治疗档案,全程跟踪治疗效果,让患者在专业、贴心的环境中完成矫正过程。

需要注意的是,正畸治疗的成功不仅依赖于医生的技术,还需要患者的积极配合,治疗期间,患者需保持良好的口腔卫生,使用正畸专用牙刷、牙线、冲牙器等工具清洁牙齿,避免龋齿和牙周炎;避免食用过硬、黏性食物,防止托槽脱落;严格按照医生要求复诊,及时调整矫治力;保持阶段需坚持佩戴保持器,定期复查,防止复发。
相关问答FAQs
问题1:天津口腔医院正畸治疗一般需要多长时间?
解答:正畸治疗时间因人而异,主要取决于错颌畸形的类型、严重程度及患者的配合情况,简单错颌(如轻度拥挤、牙列不齐)的治疗时间约为1-1.5年;中度复杂错颌(如深覆合、深覆盖、扭转牙等)需要1.5-2年;严重骨性错颌或需多学科联合治疗的患者,可能需要2-3年,青少年患者因处于生长发育期,治疗时间通常比成人短,医生会在初诊时通过数字化分析给出大致的治疗周期预估,并在治疗过程中根据牙齿移动情况动态调整。
问题2:隐形矫正和传统托槽矫正,应该如何选择?
解答:选择隐形矫正还是传统托槽矫正,需结合错颌类型、美观需求、生活习惯及经济预算综合判断,隐形矫正美观舒适、可摘戴,适合成人、对美观要求高或需频繁社交的患者,尤其适用于轻中度错颌(如牙列拥挤、稀疏、前牙轻度前突),但费用较高(比传统托槽贵30%-50%),且需严格佩戴(每天20小时以上),传统托槽矫治力稳定,适用范围广,尤其适合复杂错颌(如严重扭转、骨性畸形)及青少年患者,费用较低,但美观性差,口腔清洁难度大,建议患者到院进行详细检查,医生会根据具体情况推荐最适合的矫治方式。
