正畸托槽作为口腔正畸治疗中的核心部件,承担着固定弓丝、传递矫治力的重要作用,其精准粘接与规范管理直接关系到牙齿移动的效率与治疗效果,所谓“正畸托槽demon”,通常指正畸托槽的粘接演示、操作规范及临床应用要点,是正畸医生必备的核心技能,也是患者理解治疗过程的重要参考。
正畸托槽的类型与特性
正畸托槽根据材质、形态及设计特点可分为多种类型,不同类型的托槽适应不同的矫治需求,以下为常见托槽类型的对比:

| 托槽类型 | 材质 | 美观度 | 舒适度 | 价格区间 | 适用人群 |
|---|---|---|---|---|---|
| 金属托槽 | 不锈钢、镍钛合金 | 低 | 一般 | 低-中 | 各类错颌畸形,尤其适合青少年 |
| 陶瓷托槽 | 单晶/多晶陶瓷 | 高 | 较高 | 中-高 | 对美观要求高的成人患者 |
| 自锁托槽 | 金属/陶瓷+自锁装置 | 中-高 | 高 | 中-高 | 缩短治疗周期,减少复诊次数 |
| 舌侧托槽 | 金属/陶瓷,粘接于舌侧 | 极高 | 低 | 极高 | 对美观要求极致的成人患者 |
金属托槽强度高、价格亲民,是目前临床应用最广泛的一种;陶瓷托槽颜色接近牙齿,具有良好的隐蔽性,但脆性较大,需避免咬硬物;自锁托槽通过弹性夹或滑动盖替代传统结扎丝,减少了弓丝与托槽的摩擦力,可加速牙齿移动;舌侧托槽完全隐藏于牙齿内侧,美观性最佳,但对医生技术要求极高,且患者初期适应期较长。
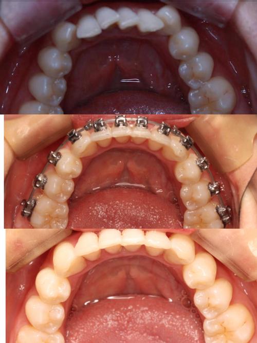
正畸托槽粘接演示的关键步骤
托槽的精准粘接是正畸治疗成功的基础,临床演示中需严格遵循以下步骤:
- 牙面清洁:使用橡皮杯蘸取抛光膏清洁牙面,去除菌斑、色素及表面残留物,再用清水冲洗并吹干,确保牙面无唾液污染。
- 酸蚀处理:用棉球蘸取37%磷酸酸蚀剂,均匀涂布于托槽粘接区域(牙面中1/3),酸蚀时间一般为30秒(恒牙)或15秒(乳牙),随后彻底冲洗并吹干,此时牙面应呈现白垩色。
- 涂布粘接剂:在酸蚀后的牙面及托槽底座均匀涂布一层树脂粘接剂,光照10秒初步固化(部分粘接剂需分层固化)。
- 托槽定位:根据牙齿模型及测量数据,将托槽精准放置于牙面预定位置(如切牙托槽位于牙面中1/3,尖牙托槽位于牙面近中1/3),使用探针轻压调整,确保无移位。
- 最终固化:用光固化灯从不同角度照射托槽周围,确保粘接剂完全固化(一般光照时间每颗牙20-30秒),最后去除多余粘接剂,检查托槽边缘密合度及牙齿咬合关系。
托槽在矫治中的作用与维护
托槽通过弓丝嵌入槽沟,将矫治力传递至牙齿,引导牙齿在牙槽骨内缓慢移动,在治疗过程中,患者需注意:
- 饮食禁忌:避免咬硬物(如坚果、骨头)、黏性食物(如口香糖、奶糖),防止托槽脱落或弓丝变形;
- 口腔清洁:使用正畸专用牙刷(如V形刷)、牙缝刷及冲牙器,清洁托槽周围及弓丝下方,减少菌斑堆积;
- 定期复诊:按医生约定时间复诊,检查托槽稳定性及牙齿移动情况,及时调整弓丝或更换橡皮圈。
相关问答FAQs
Q1:托槽意外脱落怎么办?
A:托槽脱落是正畸治疗中常见情况,若发现托槽脱落,需立即保存脱落部件,并尽快联系医生预约复诊,脱落期间,避免用舌头或手触碰脱落位置,防止牙齿移位;若托槽划伤口腔黏膜,可用 ortho wax(正畸蜡)覆盖脱落区域缓解不适。

Q2:佩戴托槽后口腔溃疡反复发作,如何处理?
A:托槽边缘可能摩擦口腔黏膜导致溃疡,可使用正畸蜡覆盖托槽粗糙面,减少刺激;同时保持口腔卫生,使用康复新液等漱口水促进黏膜愈合,若溃疡频繁发作,可咨询医生调整托槽位置或更换材质更光滑的托槽。

