重度牙周炎是牙周支持组织的慢性破坏性疾病,常表现为牙龈炎症、牙周袋形成、牙槽骨吸收及牙齿松动,若未及时控制,可能导致牙齿脱落,对于部分患者,正畸治疗可通过排齐牙齿、改善咬合关系,为牙周健康创造条件,但重度牙周炎患者的正畸治疗需严格评估,治疗过程中需密切监测牙周状况,而图片资料在其中发挥着关键作用,既可作为病情评估的客观依据,也能动态反映治疗效果,指导临床决策。
重度牙周炎正畸图片的核心价值
重度牙周炎患者的口腔状况复杂,仅通过文字描述难以全面反映病情,图片资料则能直观呈现牙齿排列、牙龈形态、牙槽骨吸收程度及牙齿松动度等关键信息,其核心价值主要体现在以下三方面:一是治疗前评估,通过图片明确牙周炎的严重程度、牙齿移位类型(如扇形移位、伸长等)及牙槽骨剩余量,判断正畸适应症;二是治疗中监测,定期拍摄的图片可对比牙周炎症控制情况、牙齿移动速度及牙槽骨改建状态,及时调整正畸力大小和方向;三是治疗后随访,图片能客观展示牙齿排列稳定性、牙龈美学效果及牙周健康维持情况,为长期疗效评估提供依据。

重度牙周炎正畸治疗的关键阶段图片解析
(一)治疗前评估图片
治疗前需拍摄全面的口腔影像及临床照片,作为制定正畸方案的基石。
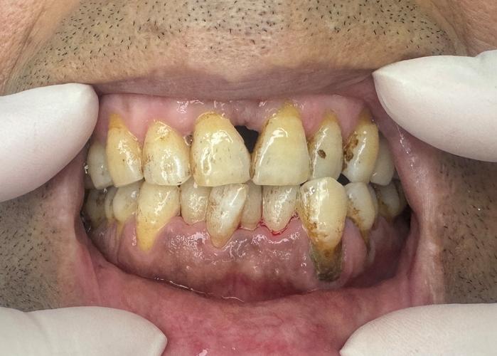
- 口腔临床照片:包括正面、侧面及颌面位的口内照,重点记录牙龈颜色(是否暗红、苍白)、形态(是否肿胀、退缩)、质地(是否松软、坚韧)及牙齿排列情况(如散在间隙、深覆合、深覆盖等),重度牙周炎患者常出现牙龈退缩导致的牙根暴露,临床照片可清晰暴露根面长度及牙龈缘位置;若存在牙齿扇形移位,照片可直观显示牙间隙增宽及牙冠倾斜方向。
- 牙周专科检查记录图片:包括牙周探诊深度(PD)、附着丧失(AL)、牙龈出血指数(BI)及牙齿松动度(TM)的图文记录,探诊深度≥6mm的牙周袋可在图片中标注具体牙位,结合牙龈出血情况判断炎症活动期;牙齿松动度≥Ⅱ度的牙齿需在图片中标记,提示正畸中需避免施加过大力量。
- 影像学检查图片:曲面断层片及CBCT(锥形束CT)是评估牙槽骨吸收的金标准,曲面断层片可显示全口牙槽骨吸收类型(水平型或垂直型)及吸收程度(如吸收达根长1/3、1/2或2/3);CBCT则能三维重建牙槽骨形态,明确骨缺损的具体位置(如根分叉区、骨壁)及剩余骨量,帮助判断是否需植骨及正畸牙齿移动的安全范围,CBCT显示牙根间骨间隔完全破坏时,正畸中需避免该区域牙齿的近远中向移动,防止骨裂发生。
(二)治疗中动态监测图片
正畸治疗通常需1-2年,期间每3-6个月需拍摄对比图片,监测牙周及牙齿变化。
- 牙周状况监测图片:定期拍摄牙龈及牙周探诊照片,对比牙龈炎症是否改善(如BI降低、PD减小),正畸初期若出现牙龈增生,可通过图片及时发现并调整口腔卫生指导或进行牙周冲洗;若探诊深度持续>5mm,需强化牙周基础治疗(如刮治)。
- 牙齿移动监测图片:通过阶段性口内牙列照片及牙模型,观察牙齿移动速度是否适宜,正常牙齿移动速度约为1mm/月,若移动过快(如每月>1.5mm),可能加重牙槽骨吸收,需减小正畸力;若移动缓慢,需检查是否存在机械阻力或牙周组织抵抗力过强。
- 牙槽骨改建监测图片:治疗6-12个月后复查CBCT,对比牙槽骨密度及厚度变化,正畸牙移动方向若存在牙槽骨皮质,CBCT可见皮质板吸收、松质骨密度增高,提示骨改建正在进行;若出现牙根吸收,CBCT可清晰显示吸收程度及位置,需及时调整正畸力。
(三)治疗后效果评估图片
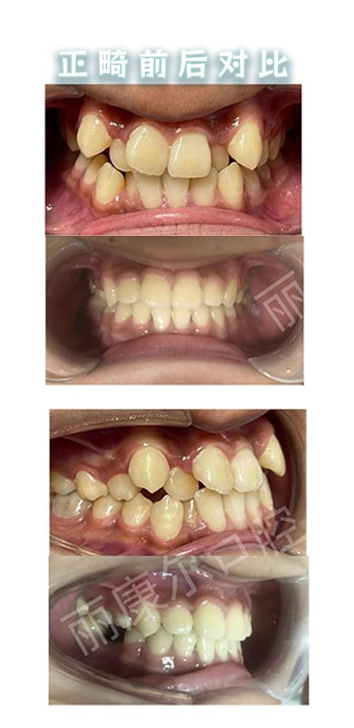
正畸治疗结束后,需拍摄最终图片评估疗效,包括牙齿排列、咬合关系及牙周健康。
- 牙齿排列与咬合图片:正面、侧面及颌面位口内照显示牙齿是否整齐,中线是否对齐,覆合覆盖是否正常;咬合片可检查后牙咬合接触是否稳定,避免早接触导致牙周创伤。
- 牙周健康终末图片:牙周探诊记录及牙龈照片显示PD≤3mm、BI≤1、无松动度,牙龈呈粉红色、质地坚韧;CBCT可见牙槽骨吸收停止,部分区域可见骨再生(如垂直骨缺损处形成新骨)。
- 长期随访对比图片:治疗后每年随访,拍摄对比图片观察牙齿稳定性及牙周状况,若出现牙龈退缩加重或牙间隙复发,可通过图片分析原因(如保持器佩戴不当、口腔卫生维护不佳),并及时干预。
重度牙周炎正畸图片拍摄的标准化要求
为确保图片的准确性和可比性,拍摄需遵循标准化流程:

- 设备与参数:使用单反相机或口腔专用相机,固定焦距(如90mm微距镜头),统一拍摄距离(约40cm)、闪光灯模式(避免反光),确保光线均匀;CBCT需采用相同扫描参数(如层厚0.2mm,视野范围包括全牙列)。
- 体位与标记:患者头部固定于头架,自然咬合,正面拍摄时镜头与牙列平面平行,侧面拍摄时对准眶耳平面;每张图片需标注拍摄日期、患者信息及牙位,便于追溯。
- 完整:临床照片需包含全牙列、牙龈及咬合关系,避免局部遗漏;牙周探诊图片需同时显示探针刻度及牙龈状况,确保数据可量化。
典型案例图片解读
患者男,40岁,诊断为重度牙周炎,全口PD 5-8mm,AL 4-6mm,下前牙扇形移位,牙槽骨吸收达根长1/2,口腔卫生差(BI 3)。
- 治疗前:临床照片显示下前牙牙间隙增宽,牙龈退缩,牙根暴露;CBCT示下前牙牙槽骨垂直吸收,根分叉区骨密度降低,经牙周基础治疗(3个月刮治+抗生素)后,PD降至3-4mm,BI降至1,开始正畸治疗(采用轻力镍钛丝排齐)。
- 治疗中:每3个月拍摄牙周探诊照片,PD逐渐减小;6个月后CBCT显示下前牙牙槽骨密度增高,根分叉区骨皮质形成。
- 治疗后:口内照片显示下前牙排列整齐,牙龈形态良好,PD≤3mm;CBCT示牙槽骨吸收稳定,无进一步骨吸收。
重度牙周炎患者的正畸治疗是牙周修复与牙齿美学重建的综合过程,图片资料贯穿治疗始终,既是病情评估的“客观证据”,也是医患沟通的“桥梁”,更是动态调整治疗的“指南”,通过规范拍摄、系统分析不同阶段的图片,可精准把控治疗节奏,最大限度降低正畸风险,实现牙周健康与功能恢复的双重目标。
相关问答FAQs
Q1:重度牙周炎患者正畸前必须拍摄哪些图片?为什么?
A:重度牙周炎患者正畸前需拍摄三组核心图片:①口腔临床照片(正面、侧面、颌面位):记录牙龈形态、牙齿排列及暴露牙根情况;②牙周探诊记录图片(含PD、AL、BI、TM):量化评估牙周炎症及支持组织丧失程度;③CBCT及曲面断层片:三维显示牙槽骨吸收类型、范围及剩余骨量,这些图片是判断正畸适应症的关键——若牙槽骨吸收>根长2/3或存在广泛根分叉病变,正畸风险极高,可能需放弃或先植骨;若吸收在根长1/2-2/3且炎症可控,则可通过正畸改善牙齿排列,为牙周维护创造条件。
Q2:正畸过程中,哪些图片变化提示牙周状况恶化?需如何处理?
A:若出现以下图片变化,需警惕牙周状况恶化:①牙龈临床照片显示牙龈红肿、增生或退缩加重,且BI较前升高;②牙周探诊图片显示PD持续>5mm或出现新发牙周袋;③CBCT示牙槽骨吸收范围扩大或密度降低,或出现牙根吸收,此时应立即暂停正畸,强化牙周治疗(如刮治、根面平整),调整口腔卫生方案,待牙周炎症控制(PD≤3mm、BI≤1)后再重新评估正畸方案,必要时减小正畸力或延长治疗间隔。
