正畸矫正,即通过专业的口腔正畸技术,对牙齿、颌骨及面部软组织的位置进行调整,以改善牙齿排列、咬合关系及面部美观度的医疗过程,这项技术不仅能解决牙齿拥挤、稀疏、龅牙、地包天等常见问题,更能通过功能与美学的协同改善,提升个体的口腔健康水平与生活质量,正畸矫正前后的变化往往体现在多个维度,包括牙齿排列、咬合功能、面部美学、口腔健康及心理状态等方面,这种“蜕变”过程既需要专业医生的精准方案,也需要患者的耐心配合。
正畸矫正的核心流程
正畸矫正并非一蹴而就,而是系统性的治疗过程,通常包括以下几个阶段:

- 初诊检查:通过口腔检查、X光片(曲面断层片、头颅侧位片)、取模等方式,全面评估牙齿、颌骨、关节及面部软组织情况,明确错颌类型(如牙性错颌、骨性错颌)及严重程度。
- 方案设计:医生结合患者诉求与检查数据,制定个性化矫正方案,选择合适的矫治器(传统金属托槽、陶瓷托槽、隐形矫治器等),并预测矫正后面部形态的变化。
- 矫治阶段:粘接托槽或佩戴隐形矫治器,通过施加持续、轻柔的生物力,引导牙齿在牙槽骨中移动,逐步排齐牙齿、调整咬合,期间需每月复诊调整,通常治疗周期为1-3年。
- 保持阶段:拆除矫治器后,需佩戴保持器(如透明压膜保持器、 Hawley保持器),防止牙齿因牙周组织改建及肌肉力量影响而复发,保持期至少1-2年,甚至更久。
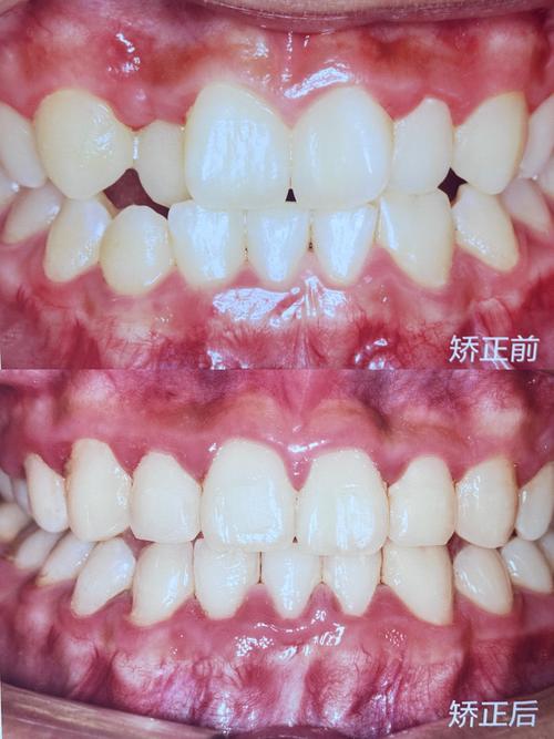
正畸矫正前后的多维对比
正畸矫正的效果并非仅限于“牙齿变整齐”,而是从功能到美学的全面优化,以下从五个核心维度展开对比:
牙齿排列:从“杂乱无章”到“整齐有序”
- 矫正前:常见问题包括牙齿拥挤(牙量大于骨量,导致牙齿重叠、扭转)、牙齿稀疏(牙量小于骨量,出现牙缝过大)、牙齿错位(如牙齿转位、埋伏牙等),这些问题不仅影响美观,还易导致食物嵌塞、刷牙困难,增加龋齿和牙周病风险。
- 矫正后:通过矫治器的持续施力,牙齿被移动至理想位置,牙列整齐,无拥挤或稀疏,牙齿邻接关系恢复正常,接触点紧密,既避免食物嵌塞,又便于清洁,从根本上降低口腔疾病发生率,拥挤患者矫正后,原本重叠的牙齿逐一排列成整齐的弧线;稀疏患者则通过关闭牙缝,达到牙量与骨量的协调。
咬合功能:从“紊乱失衡”到“稳定高效”
- 矫正前:咬合紊乱表现为多种形式,如深覆合(上牙过度覆盖下牙)、深覆盖(龅牙,上牙前突超过下牙)、反合(“地包天”,下牙位于上前牙唇侧)、开合(上下牙无法咬合)等,这些问题会导致咀嚼效率下降,长期甚至引发颞下颌关节紊乱(如关节弹响、疼痛、张口受限),以及因咬合力分布不均导致的牙齿磨损。
- 矫正后:通过调整上下牙弓的关系,建立稳定的咬合接触,深覆盖患者通过内收上前牙,改善“凸面型”;反合患者通过压低上前牙或伸长下前牙,纠正“月牙脸”,咬合功能的恢复不仅让咀嚼更顺畅,还能保护牙齿及关节,避免因长期异常咬合引发的连锁问题。
面部美学:从“比例失调”到“协调自然”
- 矫正前:牙齿问题常伴随面部软组织形态的异常,龅牙可能导致上唇前凸、鼻唇角变钝,显得“突嘴”;反合可能伴随下巴前伸、面中凹陷,形成“凹面型”;下颌后缩则可能表现为“鸟嘴样”面型,这些问题不仅影响颜值,还可能让患者产生自卑心理。
- 矫正后:牙齿位置的调整会带动唇部、颊部等软组织发生微妙变化,使面部轮廓更协调,龅牙患者内收上前牙后,上唇回收,鼻唇角恢复正常,侧面线条更柔和;反合患者矫正后,面中饱满度提升,下巴位置改善,面部比例更符合“三庭五眼”的美学标准,这种变化是“悄然发生”的,往往在他人不经意的夸赞中(如“你最近好像变好看了”)被患者感知。
口腔健康:从“隐患丛生”到“屏障坚固”
- 矫正前:牙齿排列不齐会导致清洁死角增多,牙菌斑、牙结石堆积,易引发牙龈炎、牙周炎,严重时可能导致牙槽骨吸收、牙齿松动,咬合异常还可能加重个别牙齿的负担,导致楔状缺损、牙隐裂等问题。
- 矫正后:整齐的牙列使刷牙、使用牙线更彻底,能有效控制菌斑,预防牙龈出血、牙周萎缩,稳定的咬合关系让咀嚼力均匀分布于全口牙齿,减少牙齿过度磨损,延长牙齿使用寿命,从长远看,正畸矫正为口腔健康构建了“屏障”,降低中老年后牙齿脱落的风险。
心理状态:从“自卑回避”到“自信开朗”
- 矫正前:牙齿问题常让患者不敢大笑、不喜拍照,在社交中刻意回避露齿,甚至产生“社交恐惧”,青少年患者可能因此被同学起绰号,影响心理健康;成人患者则可能在职场、约会中缺乏自信,错失机会。
- 矫正后:整齐的牙齿和改善的面貌直接提升患者的自信心,他们开始主动参与社交活动,敢于表达自我,甚至形成更积极乐观的生活态度,许多患者在矫正后表示:“现在终于敢放声大笑了,这种改变是金钱买不到的。”
典型案例前后对比(表格展示)
| 案例信息 | 矫正前表现 | 矫正方案 | 矫正后变化 |
|---|---|---|---|
| 患者A,女,12岁 | 牙列严重拥挤,上颌前牙完全重叠,下颌右侧后牙反合,面部轻度“月牙脸”,不敢露齿笑。 | 传统金属自锁托槽矫治器,拔除4颗第一前磨牙,治疗时间2年。 | 牙列排列整齐,咬合关系正常,反合纠正,面部轮廓协调,笑容自信,学习成绩因心理状态改善而提升。 |
| 患者B,男,25岁 | 上颌前牙龅牙(覆盖8mm),下颌后缩,侧面“突嘴”明显,刷牙易出血,咬苹果费力。 | 隐形矫治器(时代天使),非拔牙矫治,治疗时间1.5年。 | 上前牙回收4mm,覆盖正常,侧面线条流畅,咬合有力,牙龈健康,职场形象提升,敢于参加演讲活动。 |
| 患者C,女,35岁 | 牙齿稀疏,散在间隙(最大间隙3mm),伴深覆合,中年“疲惫感”加重,说话漏风。 | 陶瓷托槽矫治器+邻面去釉,治疗时间20个月。 | 间隙完全关闭,深覆合解除,牙列紧密,面部紧致感提升,发音清晰,重拾旅游拍照爱好。 |
正畸矫正的注意事项
正畸矫正的效果不仅取决于医生技术,患者的配合同样关键,矫正期间需注意:
- 口腔卫生:佩戴矫治器后,牙齿清洁难度增加,需使用正畸专用牙刷、牙缝刷、冲牙器,每次进食后立即刷牙,避免食物残留导致脱矿或龋齿。
- 饮食禁忌:避免啃硬物(如坚果、螃蟹壳)、黏性食物(如口香糖、年糕),以免托槽脱落;减少高糖食物摄入,预防龋齿。
- 定期复诊:按医生约定时间复诊,通常1-1.5个月一次,以便调整矫治力,确保牙齿按计划移动。
- 保持器佩戴:拆除矫治器后,必须严格佩戴保持器,这是防止复发的重要环节,尤其是前两年需全天或夜间佩戴。
相关问答FAQs
Q1:正畸矫正过程中会疼吗?如何缓解?
A:矫正初期(粘接托槽后1周、每次复诊加力后1-3天)可能会感到酸胀、咀嚼无力,属于牙齿移动的正常生理反应,通常疼痛程度可忍受,可通过温盐水漱口、进食软食(如粥、面条)、遵医嘱服用非处方止痛药(如布洛芬)缓解,随着时间推移,身体会逐渐适应,疼痛感会消失。
Q2:成年人矫正会不会太晚?和青少年矫正有什么区别?
A:成年人矫正不存在“太晚”的问题,只要牙周健康(无严重骨吸收、牙槽骨条件允许),任何年龄均可矫正,与青少年相比,成年人矫正的特点是:① 生长潜力已停止,骨性问题的改善需结合正颌手术;② 口腔环境更复杂(可能存在牙周病、修复体、缺失牙等),需先治疗口腔疾病再矫正;③ 治疗周期可能稍长,但配合度高,效果更稳定,成年人矫正已成为正畸领域的常见需求,且隐形矫治器的普及让成人矫正更美观、便捷。


