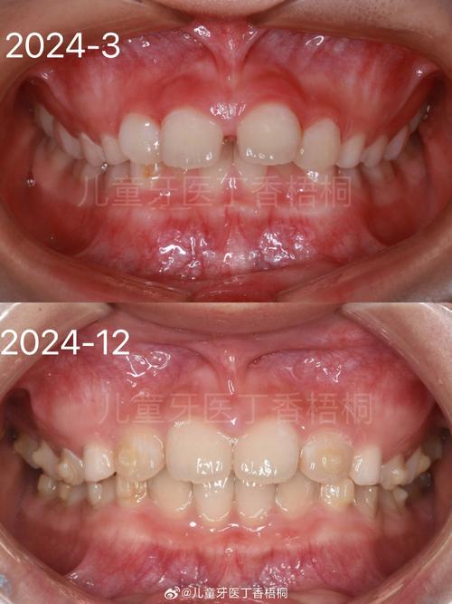
10岁孩子正处于混合牙列期,即乳牙和恒牙共存的阶段,此时颌骨仍在生长发育,牙齿的可塑性较强,是进行牙齿正畸干预的“黄金时期”,很多家长发现孩子存在牙齿排列不齐、地包天、龅牙等问题时,会纠结是否需要在这个阶段开始矫治,其实早期干预能够利用孩子的生长潜力,引导颌骨和牙齿向正常方向发展,避免错颌畸形加重,降低后期治疗难度,本文将从10岁孩子正畸的时机、常见问题、治疗方法、家庭护理等方面展开详细说明,帮助家长科学认识儿童正畸。
10岁孩子牙齿正畸的核心优势在于“生长潜力”,此时孩子的上颌骨和下颌骨尚未完全定型,处于快速生长发育阶段,通过外力引导可以改变颌骨的生长方向和速度,对于存在“地包天”(反颌)的孩子,早期使用功能性矫治器可以促进上颌骨发育,抑制下颌骨过度生长,从而避免面部畸形加重;对于“龅牙”(上颌前突)的孩子,早期干预可以引导下颌骨向前生长,改善面部突度,混合牙列期乳牙牙根尚未吸收完全,拔除滞留乳牙或萌出异常的恒牙后,更容易为后续恒牙预留足够空间,解决牙齿拥挤问题。

10岁孩子常见的牙齿正畸问题
10岁孩子常见的错颌畸形主要包括以下几类,这些问题不仅影响美观,还可能对咀嚼功能、发音、心理健康造成影响:
- 牙齿拥挤:乳牙早失导致恒牙萌出空间不足,或颌骨发育过小,造成恒牙排列不齐、重叠。
- 地包天(反颌):下前牙咬在上前牙前面,可能由遗传、不良习惯(如咬下唇)或上颌发育不足引起,影响咀嚼和面部美观。
- 龅牙(上颌前突):上前牙向前突出,可能因遗传、口呼吸(腺样体肥大导致)或上颌发育过度导致,易造成牙齿外伤和自卑心理。
- 开颌:上下牙齿咬合时,前牙无法接触,可能由吐舌、咬手指等不良习惯引起,影响咀嚼效率和发音。
- 牙齿中线不齐:上下颌牙齿中线不一致,多因乳牙早失、萌出顺序异常或颌骨不对称导致。
矫治方法选择:根据问题类型定制方案
10岁孩子的正畸方法需根据错颌畸形的类型、严重程度及颌骨发育情况选择,常见的早期矫治方法包括功能性矫治、活动矫治器和固定矫治器等,具体对比如下:
| 矫治方法 | 适用情况 | 优点 | 缺点 | 治疗周期 |
|---|---|---|---|---|
| 功能性矫治器 | 骨性错颌(如地包天、龅牙)、上下颌骨发育不协调 | 利用生长潜力引导颌骨生长,改善面部轮廓,避免后期手术 | 需患者高度配合(每天佩戴12-14小时),价格较高(1.5万-3万元) | 6-12个月 |
| 活动矫治器 | 简单牙齿排列不齐、个别牙齿反颌、乳牙滞留导致的间隙不足 | 可自行摘戴,便于清洁,舒适度较高 | 矫治力较弱,复杂问题效果有限,依赖患者配合度 | 3-6个月 |
| 固定矫治器(早期) | 严重牙齿拥挤、多生牙拔除后的间隙维持、需要精细调整的牙齿问题 | 矫治力稳定,精准控制牙齿移动,效果可靠 | 口腔清洁难度大,可能引起口腔溃疡,影响美观(“钢牙”) | 12-18个月 |
| 扩弓矫治器 | 上颌骨发育不足导致的牙弓狭窄、后牙反颌 | 快速扩大牙弓,为牙齿排列提供空间,改善面中部凹陷 | 可能暂时影响发音,需定期调整(每2-4周复诊一次) | 3-6个月 |
正畸治疗全流程:从检查到保持
10岁孩子的正畸治疗需遵循科学流程,确保效果和安全性:
- 初诊检查:医生会进行口腔检查、取模(制作牙齿模型)、拍摄全口曲面断层片(观察牙齿发育情况)和头颅侧位片(评估颌骨和面部软组织情况),必要时拍摄CT三维重建,全面分析牙齿、颌骨、关节的发育状态。
- 方案设计:根据检查结果,医生与家长沟通,确定是否需要早期干预、选择矫治方法,并制定个性化方案(如是否需要拔牙、扩弓等)。
- 矫治器佩戴:活动矫治器通常1-2周后可完成制作并佩戴;功能性矫治器和固定矫治器需1-3周时间,医生会调整矫治力,确保舒适度。
- 定期复诊:佩戴活动矫治器需每2-4周复诊一次,调整矫治器;固定矫治器每4-6周复诊一次,调整弓丝或更换托槽,复诊时医生会检查牙齿移动情况、口腔卫生状态,及时处理并发症(如托槽脱落、口腔溃疡)。
- 保持阶段:矫治结束后需拆除矫治器,佩戴保持器(如活动保持器、固定保持器),防止牙齿复发,保持器需佩戴至少1-2年,期间每3-6个月复诊一次。
家庭护理:孩子正畸的“关键助攻”
10岁孩子自理能力有限,家长的护理直接影响矫治效果:

- 口腔卫生:佩戴固定矫治器后,食物易嵌塞在托槽周围,需使用正畸牙刷(小头软毛)、牙线、冲牙器彻底清洁,每天至少刷牙3次(饭后立即刷牙),避免龋齿和牙龈炎。
- 饮食注意:避免过硬(如坚果、骨头)、黏性(如口香糖、软糖)食物,防止托槽脱落或矫治器损坏;咬苹果、梨等硬物时需切成小块,用牙齿后部咀嚼。
- 配合复诊:严格按照医生约定时间复诊,无故拖延可能导致牙齿移动异常,延长治疗时间;若矫治器脱落、弓丝刺伤口腔,需及时联系医生处理。
- 纠正不良习惯:监督孩子改除吐舌、咬唇、口呼吸、咬手指等习惯,这些习惯会加重错颌畸形,影响矫治效果。
费用与时间:家长需提前了解
10岁孩子早期正畸费用因地区、矫治方法和机构资质不同而异,功能性矫治器费用较高(1.5万-3万元),活动矫治器约8000-1.5万元,固定矫治器约1.2万-2.5万元,治疗周期通常为6-18个月,后期若需二次精细调整(如恒牙完全萌出后),总时间可能延长至2-3年,家长需选择正规口腔医院或诊所,避免因贪图便宜选择不专业机构,导致治疗效果不佳。
心理引导:帮助孩子积极面对正畸
10岁孩子可能因“钢牙”产生自卑或抵触心理,家长需耐心引导:可通过观看儿童正畸动画、讲述“戴牙套让牙齿变整齐”的故事,消除孩子对陌生治疗的恐惧;允许孩子选择喜欢的托槽颜色(如蓝色、粉色),增加趣味性;多鼓励孩子,避免批评“牙齿难看”,帮助孩子建立自信,积极配合治疗。
相关问答FAQs
Q1:10岁孩子正畸会不会影响吃饭?
A:初期1-2周孩子可能会感到牙齿酸软、咀嚼无力,属于正常现象,建议吃温凉、软烂的食物(如粥、面条、蒸蛋),避免过硬食物;适应期过后,咀嚼功能会逐渐恢复,正常饮食不受影响,但需注意避免损坏矫治器的食物。
Q2:早期矫治后,后期还需要戴牙套吗?
A:早期矫治主要是引导颌骨生长和牙齿初步排列,为恒牙萌出创造条件;恒牙完全萌出后(通常12-14岁),可能需要佩戴固定矫治器进行精细调整,解决牙齿排列不齐、咬合关系等问题,早期干预可降低后期治疗难度,但多数孩子仍需二期矫治,家长需有长期治疗的心理准备。
