奥齿泰种植体作为口腔修复领域常用的材料,凭借其稳定的性能和较高的成功率,帮助众多缺牙患者恢复了咀嚼功能,在临床应用中,少数患者可能会出现植牙后过敏反应,这一现象虽不常见,但需引起足够重视,及时识别并正确处理,以保障治疗效果和口腔健康。
奥齿泰种植体植牙过敏的发生,可能与多方面因素相关,从材料角度分析,主流种植体多为钛合金或纯钛制成,钛本身生物相容性优异,但部分患者可能对钛中的微量元素(如铝、钒、镍等)存在敏感性;少数情况下,种植体表面的涂层材料(如羟基磷灰石)、骨粉、骨膜等辅助材料,也可能成为潜在过敏原,患者个体差异是重要诱因,如既往有金属过敏史、过敏性鼻炎、哮喘等病史者,发生过敏的风险相对较高;部分患者免疫系统功能紊乱,可能对种植体产生异常免疫应答,手术过程中的因素同样不容忽视,如消毒剂(如碘伏、酒精残留)、术中使用的缝合线材质等,若患者对其敏感,也可能引发类似过敏的反应。

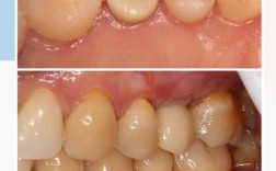
过敏症状可分为局部反应和全身反应两类,局部症状多集中在种植体周围,表现为牙龈持续性红肿、疼痛,甚至伴有出血、溢脓,种植体可能出现松动或叩击痛,严重时会导致牙槽骨吸收(影像学检查可见骨质破坏);全身症状则相对少见,可能出现皮肤瘙痒、红斑、荨麻疹,少数患者还可能伴有低热、乏力、淋巴结肿大等全身不适,具体表现如下表:
| 症状类型 | 具体表现 |
|---|---|
| 局部症状 | 种植体周围牙龈红肿、疼痛、出血,种植体松动,叩击痛,牙槽骨吸收(影像学可见) |
| 全身症状 | 皮肤瘙痒、红斑、荨麻疹,部分患者出现低热、乏力、淋巴结肿大 |
若怀疑奥齿泰种植体引发过敏,需立即就医,由专业医生进行诊断,医生会通过详细询问病史、口腔检查及影像学检查(如X光、CBCT)评估种植体周围情况,必要时进行过敏原测试(如斑贴试验、血液特异性IgE检测)明确过敏原,确诊后,首先需停止接触可疑过敏原,若症状较轻,可遵医嘱使用抗组胺药物(如氯雷他定)、糖皮质激素(如地塞米松)缓解炎症和过敏反应,同时进行局部牙周治疗(如龈下刮治、冲洗);若症状严重或种植体周围骨组织破坏明显,则需考虑手术取出种植体,待过敏症状消退后,可更换为生物相容性更好的材料(如纯钛、氧化锆种植体)或采用其他修复方式。
为降低奥齿泰种植体过敏风险,术前评估至关重要,患者需主动告知医生过敏史(尤其是金属、药物过敏史),医生可通过过敏原筛查或口腔黏膜测试评估敏感风险;材料选择上,对金属敏感者可优先考虑氧化锆等非金属材料;术中操作需规范,确保种植体及辅助材料无污染,避免消毒剂残留;术后患者需注意口腔卫生,定期复诊,医生会密切观察种植体周围情况,一旦出现异常及时处理。
相关问答FAQs
问:奥齿泰种植体过敏常见吗?
答:奥齿泰种植体过敏的发生率较低,临床统计显示不足1%,钛种植体具有良好的生物相容性,绝大多数患者可安全使用,但对金属敏感或特殊体质者需警惕过敏可能。

问:过敏后种植体一定要取出吗?
答:不一定,若过敏症状轻微,仅表现为局部轻微红肿,通过药物治疗和局部护理可控制,可能无需立即取出;但若症状严重,出现种植体松动、骨吸收或全身反应,则需及时取出,避免进一步损害口腔健康,具体是否取出需由医生根据病情综合判断。
