正畸anb角是正畸诊断中用于评估上下颌骨相对位置关系的重要骨骼指标,全称为“Angle’s A-N-B angle”,由美国正畸学家Angle提出,通过头颅侧位X线片上的三个解剖标志点构成,是判断骨性错颌类型的核心参数之一,其临床意义在于量化上颌骨相对于下颌骨的前后位置关系,为制定正畸治疗方案(如是否需要拔牙、是否需要联合正颌手术等)提供关键依据。
anb角的定义与测量方法
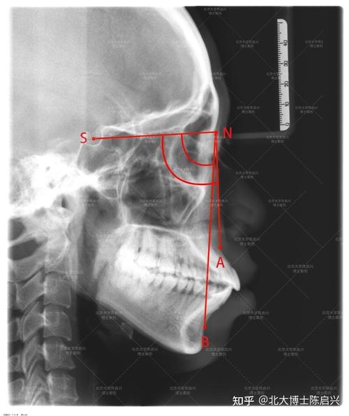
anb角的构成依赖于头颅侧位片上的三个标志点:

- A点(Subspinale,上齿槽座点):上颌骨前壁与梨状孔下缘的交点,位于上颌骨最前端,反映上颌基骨的位置。
- N点(Nasion,鼻根点):鼻额缝的最前点,位于颅底与前颅底的交界处,作为颅部的参考点。
- B点(Supramentale,下齿槽座点):下颌骨前颏联合部与下齿槽缘的交点,位于下颌骨最前端,反映下颌基骨的位置。
测量步骤如下:
- 拍摄标准的头颅侧位X线片,要求患者头颅正中矢状面与地面垂直,眶耳平面与地面平行,避免头位偏斜导致标志点定位误差。
- 在X线片上精确标记A、N、B三点:N点通常位于鼻梁根部凹陷处;A点为上颌牙槽突最前点,与上颌中切牙牙根尖接近;B点为下颌牙槽突最前点,与下颌中切牙牙根尖接近。
- 连接N-A线(鼻根点至上齿槽座点的连线)和N-B线(鼻根点至下齿槽座点的连线),两条线在N点形成夹角,即为anb角。
- 使用量角器或专业测量软件(如Dolphin、Vceph等)测量夹角大小,通常以度(°)为单位,精确到0.1°。
anb角的正常范围与临床分类
anb角的大小受年龄、种族、生长发育等因素影响,但临床公认的成人正常范围为2°-4°,儿童由于处于生长发育期,下颌骨尚未完全发育,anb角可能略大(约3°-5°),随着青春期下颌骨发育,逐渐接近成人正常值,根据anb角的大小,可将其分为以下三类:
| 分类 | anb角范围 | 常见错颌类型 | 骨骼特征描述 |
|---|---|---|---|
| 正常 | 2°-4° | I类错颌(骨骼关系协调) | 上颌与下颌基骨相对位置正常,无明显前后向不调。 |
| II类增大 | >4° | II类1分类/2分类错颌 | 上颌前突或下颌后缩,或两者并存,表现为“凸面型”。 |
| III类减小/负值 | <2°或为负值 | III类错颌(反颌) | 上颌后缩或下颌前突,或两者并存,表现为“凹面型”。 |
anb角异常的临床意义与处理原则
anb角增大(II类错颌)
当anb角>4°时,提示上颌骨相对于下颌骨位置靠前,或下颌骨位置靠后,常见病因包括:上颌骨发育过度、下颌骨发育不足、上颌前牙唇倾、不良习惯(如长期吮指)等,临床表现为上颌前突、露龈笑、下颌后缩、面下1/3高度不足等。
- 处理原则:根据患者年龄、错颌严重程度选择方案。
- 儿童及青少年:可通过功能矫治器(如Twin Block、Herbst矫治器)刺激下颌骨发育,抑制上颌骨生长;
- 成人:轻度II类可通过拔牙矫治(如拔除第一前磨牙)内收上前牙、直立磨牙;重度II类(如anb角>8°)需联合正颌手术(如上颌骨后退术、下颌骨前徙术)。
anb角减小/负值(III类错颌)
anb角<2°或为负值时,提示上颌骨相对于下颌骨位置靠后,或下颌骨位置靠前,常见病因包括:上颌骨发育不足、下颌骨发育过度、上颌前牙舌倾、先天性疾病(如唇腭裂)等,临床表现为“地包天”、凹面型、颏部前突、咬合关系紊乱等。

- 处理原则:早期干预是关键。
- 儿童及青少年:可使用前方牵引矫治器促进上颌骨发育,抑制下颌骨生长;
- 成人:轻度III类可通过掩饰性矫治(如拔除下颌前磨牙)代偿;重度III类(如anb角<0°且伴严重面部畸形)需正颌手术(如上颌骨前徙术、下颌骨后退术)。
anb角的局限性与其他辅助指标
尽管anb角是评估上下颌骨关系的重要指标,但存在一定局限性:
- N点位置的影响:N点位于颅底,若颅底发育异常(如N点前移或后移),可能导致anb角假性增大或减小,此时需结合其他指标综合判断。
- 不能单独反映颌骨绝对位置:anb角仅反映上下颌的相对关系,无法单独判断上颌(SNA角)或下颌(SNB角)相对于颅底的位置,anb角正常时,SNA角增大且SNB角减小仍可能为骨性II类。
临床中常联合以下指标综合分析:
- SNA角:反映上颌骨相对于颅底的位置,正常范围80°-85°,增大提示上颌前突,减小提示上颌后缩。
- SNB角:反映下颌骨相对于颅底的位置,正常范围78°-82°,增大提示下颌前突,减小提示下颌后缩。
- Wits分析:通过测量A、B点在功能平面(如OC平面)上的水平距离,直接评估上下颌骨的相对位置,减少N点误差的影响。
注意事项
- 头颅定位片质量:拍摄时需确保头位标准,避免因旋转、倾斜导致标志点定位偏差,影响测量结果。
- 生长发育阶段:儿童anb角需动态观察,结合颈椎骨龄(如Hand骨龄)判断生长发育潜力,避免过度干预或延误治疗。
- 软硬组织协调性:anb角主要反映骨骼关系,需结合软组织分析(如鼻唇角、颏唇沟深度)评估面部美观,制定兼顾功能与美观的治疗方案。
相关问答FAQs
问题1:anb角异常就一定需要正畸或正颌治疗吗?
解答:不一定,anb角异常提示骨骼不调,但治疗决策需综合评估错颌类型、严重程度、患者年龄、生长发育潜力、软组织协调性及主观需求,轻度II类错颌(anb角5°-7°)且无明显功能障碍、面部美观影响较小时,可通过观察或简单矫治(如使用矫治器纠正不良习惯)改善;重度II类/III类错颌(如anb角>8°或<0°)伴严重面部畸形、咬合功能障碍时,则需积极正畸-正颌联合治疗,成人患者若拒绝手术,可通过掩饰性矫治(如拔牙代偿)改善咬合和软组织侧貌,但无法改变骨骼关系。
问题2:anb角为负值(反颌)时,除了下颌前突,还有其他可能原因吗?
解答:是的,anb角负值除下颌前突(SNB角增大)外,也可能是上颌发育不足(SNA角减小)导致,此时SNB角可能正常或略小,需结合SNA、SNB角判断,若SNA角<80°(上颌后缩)、SNB角正常(78°-82°),anb角减小或为负值,主要病因是上颌发育不足,治疗以促进上颌生长为主;若SNB角>82°(下颌前突)、SNA角正常,则主要病因是下颌发育过度,治疗需抑制下颌生长或手术后退,N点位置异常(如鼻根点后移)可能使anb角假性减小,此时可通过Wits分析或颅底角(NSBa角)校正排除误差。

