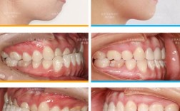
在正畸治疗过程中,医生可能会根据患者的具体情况,在牙齿上使用“白色垫高”这一操作,其本质是通过在特定牙齿的咬合面(上下牙接触的面)或邻间隙临时添加牙科材料,调整咬合关系或为后续治疗创造条件,这种垫高材料通常为生物相容性良好的牙科用树脂或玻璃离子水门汀,呈白色或牙色,因此被称为“白色垫高”。
白色垫高的核心作用与适应症
正畸治疗的最终目标是不仅排齐牙齿,还要建立稳定、健康的咬合功能,而牙齿在移动过程中,可能出现咬合干扰(如下后牙咬合时过早接触其他牙齿)、深覆合(上牙盖下牙过多)、个别牙齿伸长等问题,白色垫高正是解决这些问题的“临时性辅助工具”,其核心作用包括:

- 解除咬合干扰:当某些牙齿因位置异常导致咬合时受力过大(称为“早接触点”),会影响牙齿移动效率,甚至引起颞下颌关节不适,通过垫高非目标牙齿,可分散咬合力,让目标牙齿在无干扰的环境中移动。
- 打开咬合:针对深覆合患者,需先降低下前牙的高度或压低上前牙,为前牙排齐创造空间,此时可在后牙区垫高,使上下牙暂时无法完全咬合,迫使下颌位置调整,同时引导后牙垂直向生长(青少年患者)。
- 保护牙齿或黏膜:个别牙齿因治疗需要暂时性伸长(如埋伏牙牵引),可能对对侧牙齿或口腔黏膜造成压迫或创伤,垫高可形成“缓冲垫”,避免损伤。
- 辅助牙齿移动:在关闭拔牙间隙或扭转牙齿时,通过垫高特定牙齿,可利用咬合力辅助牙齿向目标位置移动,提高矫正效率。
常用白色垫高材料对比
不同垫高材料的特性、适用场景存在差异,医生会根据治疗需求选择:
| 材料类型 | 优点 | 缺点 | 适用场景 |
|---|---|---|---|
| 玻璃离子水门汀 | 生物相容性好,释放氟离子防龋,粘接强度适中 | 强度较低,耐磨性稍差,美观性一般 | 临时性垫高、需防龋的垫高(如儿童患者) |
| 复合树脂 | 强度高、耐磨性好,颜色接近天然牙,可精细塑形 | 操作要求高,需严格隔湿,无防龋作用 | 长期垫高(如打开咬合阶段)、美观要求高者 |
| 流动树脂 | 流动性好,易操作,适合小范围垫高 | 强度略低于常规树脂,易磨损 | 个别牙齿早接触点的微量调整 |
白色垫高的操作流程与注意事项
白色垫高的操作虽简单,但需严格遵循牙科规范,以确保效果和安全性:
- 评估与设计:医生通过口腔检查、咬合纸标记、模型分析等方式,确定需垫高的牙齿位置、高度及范围。
- 隔湿与消毒:使用棉球或橡皮障隔离牙齿,唾液污染会影响材料粘接,需彻底清洁牙面并消毒。
- 材料选择与塑形:根据需求选取材料,分层涂抹于目标牙面,调整至合适高度(通常垫高0.5-1mm,以解除早接触为度),避免影响正常咬合。
- 固化与抛光:光固化树脂需用光固化灯照射固化(约20-40秒/层),玻璃离子水门汀则可自固化或化学固化;固化后打磨抛光,确保表面光滑,避免刺激口腔黏膜。
- 医嘱与复诊:垫高后1-2周需复诊,检查材料是否脱落、咬合是否舒适;期间避免咀嚼过硬食物(如坚果、骨头),防止垫高物磨损或脱落;若出现明显咬合不适、材料松动或疼痛,需及时复诊调整。
常见问题解答(FAQs)
Q1:白色垫高后多久能适应?会不会影响吃饭?
A:大多数患者可在1-3天内适应垫高后的咬合变化,初期可能感觉牙齿“咬高”或“有异物感”,尤其是咀嚼时需用后牙发力,前牙暂时无法接触,属于正常现象,一般不会严重影响进食,建议选择软食(如粥、面条),避免用垫高侧咀嚼过硬食物,若一周后仍无法适应或出现疼痛,需及时复诊调整高度。
Q2:垫高物脱落了怎么办?可以自己处理吗?
A:垫高物脱落可能因咀嚼硬物、粘接剂老化或咬合异常导致,若发现脱落,需尽快复诊,不要自行处理(如用胶水粘接或修剪),以免误吞或损伤牙齿,若暂时无法复诊,可将脱落的垫高物保存并携带至医院,医生会评估脱落原因(如是否需重新隔湿、调整咬合设计后重新垫高),避免因咬合干扰影响正畸效果。


