几年前因为一次意外,我右上颌的门牙被磕断,当时想着“牙掉了还能再长”,结果拖了一年多,不仅影响美观,连吃苹果都得小心翼翼,生怕剩下的残根发炎,终于下定决心种牙,从检查到戴上牙冠,前后花了半年多时间,现在牙齿用起来跟真的一样,就把这段经历详细写下来,给有需要的朋友参考。
种牙前的检查:先给口腔“拍CT”
种牙不是直接往牙槽骨里拧钉子,得先评估口腔条件,我第一次去医院口腔科,医生先做了口腔检查,发现我磕断的门牙牙根已经发炎,残根松动,需要先拔掉,拔牙过程比想象中快,打完麻药后医生用器械轻轻一撬,残根就出来了,咬了块棉球压了半小时,除了有点血腥味,基本不疼。

拔牙后等了三个月,让牙槽骨慢慢愈合,复查时,医生安排拍CBCT(三维口腔CT),这就像给骨头“拍CT片”,能清楚看到牙槽骨的厚度、高度,以及神经管、上颌窦的位置,我的情况是牙槽骨有点窄,医生说可能需要植骨,不然种植体不稳定,另外还做了血常规、凝血功能检查,排除凝血障碍等禁忌症。
这里整理了前期检查的关键项目,方便大家参考:
| 检查项目 | 注意事项 | |
|---|---|---|
| 口腔临床检查 | 残根/残冠情况、牙周健康度、邻牙是否松动 | 拔牙后需等牙槽骨愈合(一般3个月),急性炎症期需先控制炎症 |
| CBCT检查 | 牙槽骨厚度、高度、密度,神经管位置、上颌窦情况 | 检查前摘掉金属牙套、项链等饰品,避免伪影 |
| 血常规+凝血功能 | 是否有出血倾向、感染风险 | 检查前空腹,避免服用抗凝药物(如阿司匹林,需提前咨询医生) |
| 全身健康评估 | 是否有糖尿病、高血压、心脏病等慢性病(控制不佳者需先治疗) | 如有长期服药史,需告知医生,评估是否影响种植手术 |
第一次手术:植入种植体,给牙齿“打地基”
植骨和种植体植入是同一次手术做的,手术当天早上没吃东西,医生说全麻需要空腹,但我做的是局部麻醉,可以少量喝水,躺在牙科椅上,护士先给我脸上铺了无菌洞巾,只露出嘴巴,然后医生在牙龈上打麻药——针扎的时候有点疼,像被蚊子叮,但麻药起效后,牙龈就完全没知觉了。
手术过程大概持续了1个多小时,医生先切开牙龈,暴露牙槽骨,然后用钻一点点在骨头上“打孔”,边钻边往骨头里注水降温(能闻到点焦糊味,但不疼),植骨时,医生用的是人工骨粉,像撒沙子一样填在骨量不足的地方,然后覆盖骨膜,接着把种植体(医生说是纯钛的,跟人体相容性好)拧进骨头里,最后缝合牙龈,缝针的时候有点牵拉感,但不疼。

术后医生开了消炎药和止痛药,叮嘱我24小时内不要吐口水、不要漱口(以免血凝块脱落),当天吃冰牛奶、冰淇淋帮助消肿,第二天开始吃温凉的粥、面条等软食,脸有点肿,像“塞了包子”,冰敷了两天就好多了,术后一周拆线,医生说种植体位置很好,让我再等3个月,让骨头和种植体长在一起(也就是“骨结合”)。
第二次手术:安装“基座”,露出种植体
等了三个月,复查时拍CT看到骨结合得不错,医生安排第二次手术:安装愈合基台,其实比第一次手术简单,局麻后切开牙龈,露出种植体顶部,拧上愈合基台——它像个小帽子,能让牙龈围绕它长成自然的“牙颈形状”,手术半小时就结束了,术后反应比第一次轻,基本没肿,当天就能正常吃饭(只是不能吃太硬的)。
等牙龈长好(大概2周),医生给我取模,用一种蓝色的硅胶材料,往牙龈和基台周围一按,等凝固后取下来,就是牙齿的“模型”,医生说会送到加工厂做牙冠,让我等1-2周,取模时有点恶心,因为材料会流到喉咙,但医生动作很快,几秒钟就好。
第三次“装牙”:戴上牙冠,重获“真牙”
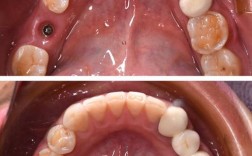
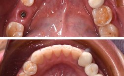
等了10天,我去试戴牙冠,医生拿出烤瓷牙冠,颜色跟我旁边的真牙几乎一样,透光性也挺好,把牙冠往基台上套,调整了几次咬合,确保不疼、不顶,确认合适后,用专门的粘接剂把牙冠固定在基台上,整个过程不到半小时,当镜子看到“新牙齿”的那一刻,真的太激动了!形状、颜色、光泽都跟真牙一样,完全看不出是种的。

刚戴上牙冠,医生说前几天要适应,别啃硬骨头、螃蟹壳、坚果,避免用门牙咬苹果(用后牙嚼就行),另外要注意清洁,每天用牙线剔牙缝,种植牙周围牙龈容易藏食物残渣,用软毛牙刷刷的时候,重点清洁牙龈边缘。
种牙后的维护:像爱护真牙一样“伺候”
种牙不是“一劳永逸”,得好好维护,医生说,种植牙的“牙根”(种植体)和骨头长在一起,不会蛀牙,但牙冠是烤瓷的,可能会崩瓷;牙龈如果发炎,会影响种植体寿命,所以每天早晚刷牙,用牙线清洁邻面,每周用冲牙器冲洗牙缝,每半年去口腔科洗一次牙,拍片检查种植体周围骨头情况。
现在用了快一年,吃嘛嘛香,啃排骨、咬馒头都没问题,完全忘了这是颗假牙,唯一需要注意的是,比真牙更容易塞牙,所以饭后一定要清洁,不然牙龈发炎会出血。
相关问答FAQs
Q1:种牙过程中会很疼吗?
A:手术是在局部麻醉下进行的,过程中基本没有疼痛感,最多有轻微的胀或牵拉感,术后麻药消退后,可能会有轻微疼痛或肿胀,一般像牙疼的程度,医生会开止痛药,1-3天就能缓解,术后24小时内冰敷面部,能有效消肿,疼痛感会越来越轻,大多数人都能忍受。
Q2:种牙能用多久?会影响旁边的真牙吗?
A:种植牙的使用寿命受多种因素影响,如果维护得好(每天清洁、定期复查),用10-20年甚至更久没问题,种植体是独立植入牙槽骨的,不会磨损旁边的真牙,反而能分担邻牙的咬合力,防止邻牙因缺牙而松动,但如果长期清洁不到位,导致牙龈炎、种植体周围炎,可能会影响种植体寿命,所以日常维护非常重要。
