口腔正畸摄影是正畸诊疗体系中不可或缺的核心环节,其重要性贯穿于诊断设计、治疗实施、疗效评估及医患沟通的全过程,堪称正畸医生的“第三只眼”,相较于传统的临床检查和模型分析,摄影技术能够以直观、客观、动态的方式记录患者的牙齿、颌骨及面部软组织信息,为精准诊疗提供全面依据。
精准诊断的基础:提供客观全面的颌面部信息
正畸诊断的核心是明确牙齿、颌骨与面部软组织的协调性,而摄影技术能捕捉临床检查中易忽略的细节,口内前牙唇面照可清晰显示牙齿的形态、色泽、龋坏、缺损及牙龈状况,帮助判断是否存在牙齿发育异常或牙周健康问题;后牙咬合照则能精准记录咬合关系,如深覆合、深覆盖、锁合等错颌类型,为制定治疗计划提供关键参考,面部摄影方面,正面照可观察面部对称性、中线偏斜及面下三分之一比例;侧面45°照则能分析鼻唇颏关系、突度及软组织轮廓,辅助判断骨性错颌的类型(如II类或III类骨面型),这些静态影像避免了口内检查时患者张口、舌体运动等干扰,确保信息的客观性和可重复性,是诊断不可或缺的补充。

个性化治疗设计的核心依据:量化分析与方案优化
正畸治疗强调“个性化”,而摄影数据为方案设计提供了量化支撑,通过拍摄头颅定位侧位片(属于摄影范畴),可测量SNA、SNB、ANB等骨性指标,以及UI-SN、L1-MP等牙齿倾斜度参数,明确上下颌骨的位置关系及牙齿代偿情况,对于骨性II类错颌患者,通过侧位摄影分析上颌前突程度及下颌后缩量,可判断是否需要配合正畸-正颌联合治疗;对于牙列拥挤患者,全景片结合牙冠、牙根长度的摄影测量,能精确计算拔牙间隙,确保排齐后咬合稳定,微笑位摄影可记录患者自然状态下的上唇覆盖量、露龈量及微笑曲线,帮助设计前牙转矩和转矩控制,避免治疗后出现“露龈笑”或“微笑不自然”等美学问题,这些量化数据使治疗方案从“经验判断”升级为“精准设计”,显著提高治疗可预见性。
医患沟通的桥梁:可视化提升治疗依从性
正畸治疗周期长、方案复杂,医患沟通的清晰度直接影响治疗依从性,摄影技术将抽象的口腔问题转化为直观影像,帮助患者理解自身错颌类型及治疗必要性,通过治疗前后的对比照,患者可清晰看到牙齿从拥挤到排齐、从深覆合到正常咬合的变化;面部侧位照的对比能直观展示面型的改善效果(如下后缩改善后侧面轮廓更协调),这种“可视化沟通”让患者从被动接受转为主动参与,更积极配合治疗中的调整(如橡皮圈牵引、保持器佩戴等),对于青少年患者,家长通过照片能直观看到治疗进展,增强对医生的信任,减少因“看不到效果”而产生的焦虑或质疑。
法律与科研的双重保障:记录诊疗过程,支持学术研究
在医疗纠纷频发的背景下,摄影成为重要的法律证据,治疗前、中、后的系列照片完整记录了患者的初始状态、治疗进展及最终疗效,若出现治疗效果争议,可作为客观依据还原诊疗过程,避免“口说无凭”的纠纷,若患者治疗后出现牙龈萎缩,通过治疗前的牙龈健康照片可判断是否与治疗前牙周状况或治疗中牙根移动有关,高质量的正畸摄影数据是科研和教学的重要资源,通过收集不同错颌类型的影像资料,可建立病例数据库,分析错颌的发病机制、治疗效果及预后;在教学过程中,典型病例的影像能帮助学生直观理解错颌分类、治疗原则及操作技巧,推动正畸学科的发展。
疗效评估的金标准:客观对比验证治疗效果
正畸治疗的疗效评估需兼顾牙齿排列、咬合功能及面部美学,而摄影是最直观的对比工具,治疗结束后,通过拍摄与初诊相同角度、相同条件(如光线、体位)的照片,可进行前后对比:口内全牙列照评估牙弓形态、牙齿排列整齐度及咬合接触关系;面部正面照观察面部对称性及中线对齐情况;侧面照分析鼻唇颏关系的协调性及软组织突度变化,对于“龅牙”患者,治疗后的侧面照可显示上唇突度显著改善,侧面轮廓更柔和;对于“地包天”患者,正面照可见面部不对称性纠正,中线恢复对齐,这种客观对比避免了主观评价的偏差,是验证治疗效果、判断治疗成功与否的核心依据。

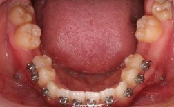
口腔正畸摄影常用类型及临床意义
| 摄影类型 | 临床意义 | |
|---|---|---|
| 口内前牙唇面照 | 上/下颌前牙唇面,包括切缘、牙龈、中线及牙齿形态 | 观察牙齿龋坏、缺损、牙龈状况,评估前牙美学及中线对齐情况 |
| 口内全牙列照 | 上/下颌全牙列,显示牙齿排列、咬合关系及牙弓形态 | 评估牙列拥挤/间隙、咬合异常(深覆合、锁合)及牙弓对称性 |
| 口内后牙咬合照 | 上下后牙颊侧咬合面,显示尖窝关系 | 判断后牙咬合功能及尖牙保护是否存在 |
| 面部正面照 | 面部正面,包括发际线、眉、眼、鼻、唇、颏 | 分析面部对称性、面下三分之一比例及中线偏斜 |
| 面部侧面45°照 | 面部左侧及右侧45°位,显示鼻唇颏关系及软组织轮廓 | 评估侧貌突度、鼻唇角、颏唇角及骨性错颌类型 |
| 微笑位照 | 自然微笑状态,暴露上唇及上前牙 | 分析微笑曲线、露龈量、上唇覆盖量及前牙美学协调性 |
| 头颅定位侧位片 | 头颅侧位,包括颅骨、颌骨及牙齿(需X线设备) | 测量骨性指标(SNA、SNB)及牙齿位置(UI-SN、L1-MP),制定骨性及牙性治疗方案 |
相关问答(FAQs)
Q1:口腔正畸治疗过程中,除了初诊,哪些阶段需要重新拍摄照片?
A:正畸治疗中需定期拍摄照片以监控进展,关键节点包括:①治疗开始前(基线资料);②每次调整弓丝或佩戴附件后(1-2个月,观察牙齿初步移动);③拔牙后(评估拔牙间隙关闭情况);④拆除矫治器前(确认最终疗效);⑤保持期(每3-6个月,观察保持效果及复发情况),动态拍摄可及时发现治疗偏差(如牙齿扭转、咬合干扰),便于方案调整。
Q2:为什么正畸医生有时会要求拍摄黑白照片而不是彩色照片?
A:黑白照片在正畸摄影中具有独特优势:①减少颜色干扰,更清晰显示牙齿轮廓、牙龈边缘及咬合关系,便于对比分析;②突出结构差异,如牙冠与牙根的对比、釉质脱矿的白垩色斑等;③标准化程度高,避免不同光线、肤色对颜色的影响,确保治疗前后照片的可比性,对于美学评估(如微笑、牙龈色泽),仍需结合彩色照片综合判断。

