在儿童青少年正畸治疗中,拨牙是一个常见但常引发家长焦虑的话题,拨牙并非“洪水猛兽”,而是医生根据患者具体病情,为达到理想矫正效果而采取的必要手段,其核心目的是通过创造有限的间隙,解决牙齿排列、咬合及面型等问题,最终实现功能与美观的统一。
拨牙的常见原因与必要性
儿童青少年正畸拨牙,主要基于以下几类核心问题,具体可通过下表直观呈现:

| 问题类型 | 具体表现 | 拨牙必要性 |
|---|---|---|
| 牙列严重拥挤 | 牙齿数量与颌骨空间不匹配,出现“排不下”“歪斜、扭转”等情况,拥挤度常≥5mm | 为牙齿排齐提供必需间隙,避免“强行排齐”导致的牙龈萎缩、牙根吸收等风险 |
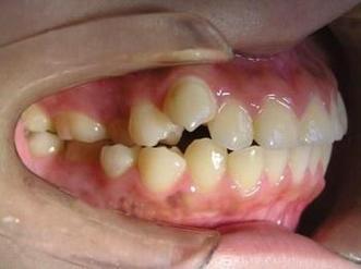
| 前牙前突(龅牙) | 上下门牙突出,嘴唇难以自然闭合,影响面型美观,且易导致前牙外伤 | 通过拨牙内收前牙,改善唇部突度,纠正“凸嘴”面型,增强面部协调性 |
| 咬合关系紊乱 | 如深覆合(上牙过度覆盖下牙)、深覆盖(上牙切端到下牙唇面的水平距离过大)、反合(地包天)等 | 调整上下颌牙齿的咬合接触点,建立稳定的咬合功能,避免咀嚼异常、颞下颌关节问题 |
| 生长发育不协调 | 上下颌骨长度不匹配(如下颌后缩),单纯通过正畸手段难以纠正时 | 结合拨牙与颌骨牵引等治疗,利用间隙改善骨骼关系,引导颌向正常生长发育方向 |
拨牙的原则与流程
正畸医生是否拨牙,需严格遵循“能不拨尽量不拨,该拨必须拨”的原则,综合评估患者年龄、牙齿发育情况、骨骼面型、口腔卫生等多因素,具体流程包括:
- 全面检查:通过口腔曲面断层片、头颅侧位片、CBCT等影像学检查,分析牙齿数量、牙根形态、骨量及颌骨关系;结合口腔模型、面部照片,制定个性化方案。
- 方案设计:利用计算机模拟技术,预测拨牙后牙齿移动轨迹、面型变化,确保拨牙间隙能精准用于解决核心问题(如解除拥挤、纠正前突)。
- 分步实施:通常分次拨牙(如先拨乳牙或恒牙),配合“先移动后内收”的矫正策略,减少不适感;治疗中定期复诊,根据牙齿移动情况调整力度。
拨牙后的注意事项
拨牙后,患者需积极配合以保障矫正效果:
- 口腔卫生:佩戴矫治器后,食物易嵌塞,需使用正畸牙刷、牙缝刷、冲牙器等工具清洁,避免牙龈炎、龋齿;
- 饮食管理:避免过硬、黏性食物(如坚果、口香糖),防止矫治器脱落或牙齿损伤;
- 定期复诊:按医生要求调整矫治力,通常每4-6周复诊一次,确保牙齿按计划移动;
- 生长发育监测:对于处于青春期的患者,医生会定期评估颌骨生长情况,及时调整方案,利用生长潜力辅助矫正。
相关问答FAQs
Q1:拨牙会导致牙齿松动、老了掉牙吗?
A:不会,正畸拨牙是“有计划的拔除”,不会影响牙齿整体数量与稳定性,矫正过程中,牙齿在牙槽骨内缓慢移动,移动后牙槽骨会重建,恢复正常支持力,只要治疗后佩戴保持器、维护口腔卫生,牙齿不会因“拨牙矫正”而松动或脱落。
Q2:孩子害怕拨牙,有没有替代方案?
A:对于轻度拥挤或前突,可通过扩大牙弓、邻面去釉(磨除少量牙釉质创造间隙)、推磨牙向远中等非拨牙方式解决,但若问题严重(如拥挤度>10mm、前突明显),强行避免拨牙可能导致“排齐但内收不足”,反而影响面型与咬合功能,医生会结合具体情况,选择最优方案。


