牙博士口腔作为国内知名的连锁口腔机构,在种植牙领域积累了丰富的临床经验和技术优势,致力于为缺牙患者提供安全、高效、个性化的种植修复方案,种植牙作为目前公认的理想缺牙修复方式,不仅能够恢复牙齿的咀嚼功能,还能维持面部轮廓,提升生活质量,而牙博士口腔通过系统化的诊疗流程、先进的技术设备和专业的医生团队,让种牙过程更安心、效果更持久。
牙博士口腔种牙的核心优势
牙博士口腔在种植牙领域的核心竞争力体现在技术、设备、材料及服务等多个维度,在技术层面,机构引进了国际主流的数字化种植技术,如3D导板种植、即刻种植、微创种植等,数字化导板种植通过术前CBCT扫描和口内数据采集,精准规划种植体的植入位置、角度和深度,将误差控制在0.1毫米以内,有效避开神经和血管,降低手术风险;即刻种植技术则针对符合条件的患者,实现“即拔即种”,缩短了传统种植需要等待3-6个月骨结合的时间,最快当天种牙当天用,极大提升了诊疗效率。

设备方面,牙博士口腔配备德国Sirona CBCT、口腔扫描仪、种植机等先进设备,能够全面评估患者的牙槽骨密度、厚度及神经位置,为种植方案设计提供精准数据支持,机构严格选用国际认证的种植体品牌,如瑞士ITI、瑞典Nobel、韩国Osstem等,这些种植体生物相容性良好,能与牙槽骨形成稳定的骨结合,确保种植牙的长期使用效果。
医生团队是牙博士口腔的又一核心优势,机构所有种植医生均具备5年以上临床经验,且经过国内外种植技术培训,擅长处理复杂种植案例,如骨量不足患者的植骨种植、全口/半口无牙颌的All-on-4即刻负重技术等,针对不同患者的口腔状况,医生团队会制定个性化方案,兼顾功能与美学,确保种植牙不仅“用得好”,还“看得自然”。
牙博士口腔种牙的详细流程
牙博士口腔的种牙流程严格遵循规范化诊疗标准,分为术前检查、方案设计、手术实施、术后修复及长期维护五个阶段,每个环节都注重细节把控,保障患者安全与效果。
术前检查与评估
这是种植成功的基础,患者到院后,医生会进行全面的口腔检查,包括口腔视诊、触诊,拍摄CBCT影像(三维立体成像)、曲面断层片,以及血常规、凝血功能等全身健康检查,通过CBCT数据,医生可直观观察牙槽骨的高度、宽度、密度,以及邻牙、神经管等重要结构的位置,判断患者是否适合直接种植,或是否需要植骨、上颌窦提升等辅助治疗。

个性化方案设计
结合检查结果和患者需求(如咀嚼功能、美观要求、预算等),医生团队会制定种植方案,方案内容明确种植体品牌、型号、植入位置,以及是否采用微创、即刻等技术,并向患者详细解释手术流程、预期效果及可能的风险,确保患者在充分知情的情况下选择方案。
种植手术实施
手术前,医生会再次核对患者信息和方案,并进行口腔消毒,局部麻醉后,医生在牙槽骨上做一个小切口,逐级备洞(扩大种植窝),将种植体精准植入牙槽骨内,整个过程采用微创技术,切口仅3-4毫米,几乎不出血,手术时间根据种植数量而定(单颗种植约30分钟-1小时),术后患者需咬棉球压迫止血,并遵医嘱服用抗生素和止痛药。
牙冠修复与佩戴
种植体植入后,需要3-6个月的骨结合期(即种植体与牙槽骨融合),期间患者可佩戴临时义齿不影响正常生活,骨结合完成后,医生通过口腔扫描获取牙列数据,制作个性化的牙冠(全瓷冠、烤瓷冠等),然后通过基台将牙冠固定在种植体上,完成最终修复,牙冠的颜色、形态会与邻牙高度匹配,达到以假乱真的效果。
术后维护与复查
种植牙并非“一劳永逸”,术后维护直接影响使用寿命,牙博士口腔会为患者建立终身档案,定期提醒复查(术后1个月、3个月、6个月,之后每年1次),日常维护中,患者需注意口腔卫生,使用软毛牙刷、牙线、冲牙器清洁种植体周围,避免咬硬物(如坚果、螃蟹壳),戒烟限酒,防止种植体周围炎的发生。

种植牙的适用人群与禁忌人群
适用人群
- 单颗、多颗牙缺失:无论是前牙影响美观,还是后牙影响咀嚼,种植牙均可修复。
- 全口/半口牙缺失:可采用All-on-4/All-on-6技术,仅需4-6颗种植体即可支撑半口牙冠,避免传统活动牙的异物感和不适。
- 长期缺牙导致牙槽骨萎缩:通过植骨、上颌窦提升等辅助手术,仍可进行种植。
- 对活动牙或烤瓷牙过敏、不适应者:种植牙无需磨损邻牙,且舒适度更高。
禁忌人群
- 严重全身性疾病:如未控制的糖尿病、心脏病、高血压、凝血功能障碍等,需病情稳定后再评估种植。
- 口腔局部问题:如急性根尖周炎、牙周炎未控制、颌骨骨髓炎等,需先治疗炎症。
- 长期服用抗骨疏松药物(如双膦酸盐类):可能增加颌骨坏死风险,需医生评估。
- 吸烟者:吸烟会影响骨结合速度,建议术前戒烟或减少吸烟量。
影响种植牙价格的因素
种植牙的价格因多种因素而异,以下为主要影响因素及大致价格范围(以单颗种植为例):
| 影响因素 | 具体说明 | 价格范围(元/颗) |
|---|---|---|
| 种植体品牌 | 欧美品牌(瑞士ITI、瑞典Nobel):生物相容性佳,长期稳定性强;韩国品牌(Osstem、Dentium):性价比高;国产品牌(创英、威高):价格亲民 | 8000-30000 |
| 牙冠材料 | 全瓷牙冠(氧化锆、铸瓷):美观通透,生物相容性好,耐用;烤瓷牙冠(金属内冠):价格较低,但可能牙龈变色 | 1500-8000 |
| 种植技术 | 传统种植:价格较低;微创种植:创伤小、恢复快,费用增加1000-2000元;即刻种植:缩短疗程,费用增加2000-4000元 | 根据技术浮动 |
| 辅助治疗 | 骨量不足需植骨:2000-5000元/部位;上颌窦提升:3000-8000元/侧 | 额外增加费用 |
牙博士口腔会根据患者的口腔状况和经济需求,提供不同档次的种植体和牙冠选择,并承诺价格透明,无隐形消费,让患者安心种牙。
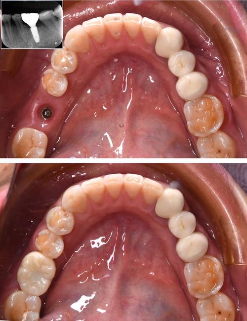
成功案例分享
单颗前牙即刻种植
王女士因意外磕断上门牙,影响美观和社交,到牙博士口腔后,医生检查发现牙槽骨条件良好,采用数字化导板即刻种植技术,当天植入瑞士ITI种植体,并临时牙冠修复,3个月后,永久全瓷牙冠佩戴完成,颜色与邻牙一致,形态自然,王女士对效果非常满意。
半口All-on-4即刻负重
李先生因牙周炎导致半口牙齿脱落,长期佩戴活动牙,咀嚼困难且易脱落,医生通过CBCT评估,采用All-on-4技术,植入4颗种植体支撑半口牙冠,当天实现临时牙冠负重,即可正常进食,6个月后,永久牙冠安装完成,恢复了90%以上的咀嚼功能,李先生终于能享受美食,生活质量大幅提升。
相关问答FAQs
问题1:种牙过程会很疼吗?
解答:种植手术通常在局部麻醉下进行,术中几乎无疼痛感,类似于拔牙的体验,术后24小时内可能有轻微肿胀和疼痛,属于正常反应,可通过冰敷和服用止痛药缓解,牙博士口腔采用微创技术,创伤小,恢复快,多数患者表示疼痛感在可接受范围内,且远小于缺牙带来的长期困扰。
问题2:种植牙的使用寿命有多久?如何维护?
解答:种植牙的寿命与多种因素相关,若维护得当,可使用20-30年以上,甚至终身,关键在于:① 选择优质的种植体和专业的医生;② 术后保持良好的口腔卫生,每天刷牙、使用牙线和冲牙器清洁种植体周围;③ 定期复查(每年1-2次),及时发现并处理种植体周围炎等问题;④ 避免咬硬物、吸烟、过量饮酒,牙博士口腔会为患者提供详细的维护指导和终身跟踪服务,帮助延长种植牙使用寿命。
