在口腔健康日益受到重视的今天,种植牙因媲美自然牙的咀嚼功能和美观度,成为缺牙修复的理想选择,海宁地区作为长三角宜居城市,居民对口腔医疗的需求持续增长,其中李森医生在种植牙领域凭借精湛技术和细致服务,赢得了众多患者的信赖,种植牙并非简单的“种个牙钉”,而是融合口腔外科、修复学、材料学的系统性工程,从术前评估到术后维护,每一步都关乎最终效果与使用寿命。
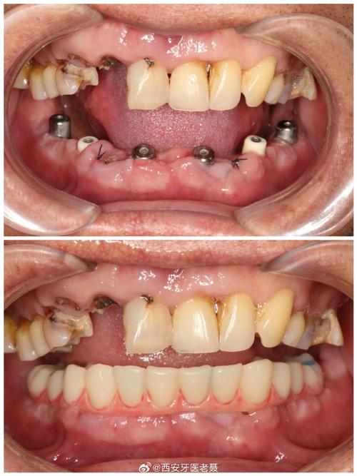
种植牙的核心原理是通过外科手术将纯钛种植体植入牙槽骨,模拟自然牙根的功能,再在种植体上安装牙冠,实现恢复咀嚼、维持面容的目的,李森医生在接诊时,始终强调“个性化方案设计”,他会借助CBCT、数字化口扫等设备,精准测量患者的牙槽骨高度、宽度、密度,以及邻牙位置、咬合关系,避免盲目操作,对于牙槽骨萎缩的患者,他会结合骨增量技术(如引导骨再生术、上颌窦提升术),为种植体创造理想的骨结合条件;针对全口无牙患者,则可能推荐All-on-4/6即刻负重技术,通过少量种植体支撑固定桥,实现当天种牙、当天戴牙,大幅缩短治疗周期。

在技术细节上,李森医生注重微创与精准,传统种植牙常需切开翻瓣,创伤较大,而他熟练应用的数字化导板技术,能通过3D打印制作手术导板,预先规划种植体的植入位置、角度和深度,将手术误差控制在0.1毫米以内,这不仅减少了术中出血、肿胀,也缩短了术后恢复时间,许多患者反馈,种植过程比想象中轻松,术后仅轻微不适,不影响正常生活,他选用的种植体系统均经过国际权威认证,如瑞士Straumann、瑞典Nobel Biocare等,这类种植体生物相容性极佳,能与骨组织形成牢固的“骨结合”,长期使用稳定性强。
为了让患者更清晰了解种植流程,以下以单颗牙种植为例,分阶段说明治疗周期与注意事项:
| 治疗阶段 | 时间周期 | 核心操作 | 患者注意事项 |
|---|---|---|---|
| 术前检查与方案设计 | 1-2周 | 口腔检查、CBCT拍摄、血常规化验,结合患者需求制定个性化方案 | 如有高血压、糖尿病等基础病,需控制在稳定范围;停用抗凝药物(如阿司匹林)1周 |
| 种植体植入手术 | 30-60分钟/颗 | 局部麻醉、微创切口植入种植体、缝合,术后拍片确认位置 | 24小时内避免刷牙漱口,术后24小时冷敷面部减少肿胀,遵医嘱服用抗生素 |
| 骨结合期 | 3-6个月 | 种植体与牙槽骨融合,期间可佩戴临时义齿过渡 | 避免种植区域受力,戒烟限酒(吸烟会影响骨结合速度) |
| 牙冠修复 | 2-3次就诊 | 取模、比色,制作全瓷或烤瓷牙冠,试戴调整后粘固 | 初期避免咬过硬食物,如坚果、骨头,定期用牙线清洁牙冠邻面 |
| 术后维护 | 长期 | 每年1-2次复查,检查种植体周围状况、牙冠磨损情况 | 采用巴氏刷牙法,配合冲牙器清洁,出现牙龈红肿、咬合异常及时复诊 |
李森医生特别强调术后维护的重要性,他指出,种植牙虽被称为“人类的第三副牙齿”,但仍需精心保养,与天然牙不同,种植体周围缺乏牙周膜的缓冲,若清洁不当易引发种植体周围炎,导致牙槽骨吸收,最终影响种植体寿命,他建议患者使用种植体专用牙刷、冲牙器,并定期进行专业洁牙,同时戒烟(吸烟者种植失败率是非吸烟者的3倍),在他接诊的患者中,有位70岁的张阿姨,10年前接受种植牙修复,至今使用良好,能正常啃咬苹果,这得益于她坚持每年复查和细致的家庭护理。
针对患者普遍关心的费用问题,种植牙的费用主要由种植体、牙冠、手术费三部分构成,海宁地区单颗种植牙的费用根据种植体品牌和牙冠材料不同,大致在8000-20000元不等,韩国登腾种植体性价比高,适合骨质条件较好的患者;瑞士Straumann种植体表面处理技术先进,适合骨质薄弱或对长期稳定性要求高的患者,李森医生会在术前详细告知费用明细,无隐形消费,并根据患者的经济状况和口腔条件推荐合适的方案,让患者“明明白白消费”。

相关问答FAQs
Q1:种植牙手术会很痛吗?
A1:种植手术通常在局部麻醉下进行,术中不会有明显疼痛感,麻醉效果消退后,部分患者可能会感到轻微胀痛或不适,类似于拔牙后的反应,一般持续2-3天,可通过冰敷和服用非处方止痛药缓解,李森医生采用微创技术,创伤小,术后疼痛程度普遍较轻,多数患者无需服用止痛药。
Q2:所有缺牙的人都适合做种植牙吗?
A2:并非绝对,种植牙的适应证较广,但需满足以下基本条件:牙槽骨有一定高度和厚度(可通过骨增量技术改善);无严重的心脑血管疾病、未控制的糖尿病等全身性疾病;口腔卫生良好,无未治疗的牙周病,对于骨质疏松患者,需在病情稳定后由医生评估;青少年因颌骨发育未完成,需成年后再考虑种植,具体能否种植,需通过专业口腔检查和影像学评估确定。

