磨牙作为口腔中承担主要咀嚼功能的牙齿,因长期受力、龋坏或外伤等原因缺失后,不仅影响食物咀嚼效率,还可能导致邻牙倾斜、对颌牙伸长、咬合关系紊乱等问题,种植牙因具有接近天然牙的咀嚼功能和美观效果,成为磨牙区修复的首选方案,磨牙的种牙过程需结合其解剖位置(如上颌磨牙靠近上颌窦,下颌磨牙靠近下牙槽神经)、骨量条件及咬合受力特点,严格遵循规范流程,以确保种植体长期稳定。
术前检查与评估:种植成功的基石
磨牙区种牙前需进行全面检查,评估口腔及全身状况,制定个性化方案。

- 口腔临床检查:医生通过视诊观察缺牙区牙龈形态、邻牙松动度及咬合关系,触诊检查牙槽嵴的丰满度及黏膜厚度,同时评估口腔卫生状况(如是否有牙菌斑、牙结石,是否存在牙周炎——活动期牙周炎需先控制炎症再种牙)。
- 影像学检查:拍摄曲面断层片初步了解牙槽骨高度、宽度及重要解剖结构位置(如下颌神经管、上颌窦),再通过锥形束CT(CBCT)进行三维重建,精确测量骨量(高度、宽度、密度),判断骨量是否充足,明确种植体植入的最佳位置、角度及深度,避开神经血管,下颌磨牙区种植体需距离下颌神经管至少2mm,上颌磨牙区若骨高度不足(接近或进入上颌窦),可能需行上颌窦提升术。
- 全身健康状况评估:询问患者是否有高血压、糖尿病、心脏病等系统性疾病,控制情况如何(如糖尿病患者血糖需控制在8mmol/L以下);长期服用双膦酸盐类药物(如治疗骨质疏松)的患者需评估颌骨坏死风险;吸烟者需告知吸烟量,吸烟可能影响骨结合,建议术前戒烟。
- 方案沟通:医生结合检查结果,向患者说明是否需要植骨、种植体品牌及型号、修复方式(如单冠、联冠)、治疗周期、费用及风险,签署知情同意书。
种植手术实施:精准植入的关键步骤
磨牙区种植手术需在严格无菌下进行,通常采用局部麻醉,根据骨量选择是否进行植骨,分阶段完成。
(一)麻醉与切口
常规消毒铺巾后,局部浸润麻醉或神经阻滞麻醉(如下牙槽神经阻滞麻醉用于下颌磨牙区),确保术区无痛,切开牙龈黏膜及骨膜,翻瓣暴露牙槽嵴,视野清晰便于操作。
(二)备洞与种植体植入
- 定位与导向:根据术前设计的种植体位置、角度,先用球钻在牙槽嵴顶定位,逐步扩大备洞,磨牙区受力较大,备洞时需保持冷却(生理盐水冲洗),避免产热损伤骨组织。
- 逐级备洞:按照种植体系统推荐的备洞序列(如从细到粗的钻针),逐步制备种植窝洞,直径和深度与种植体匹配,下颌磨牙区备洞时需时刻监测下颌神经管位置(可通过神经探测仪或CBCT引导),防止穿通;上颌磨牙区若牙槽骨高度不足,可能需先进行骨增量(如引导骨再生术GBR或上颌窦提升术)。
- 植入种植体:将选定的种植体(通常为钛或钛合金,表面经喷砂酸处理或亲水处理以促进骨结合)旋入备好的种植窝洞,初期稳定性(即种植体植入后无松动)是成功的关键,磨牙区因骨密度较高(如Ⅲ类、Ⅳ类骨),初期稳定性相对容易获得,若骨量严重不足,可能需选择较粗的种植体或延长种植体长度以增强稳定性。
- 缝合:植入种植体后,用生理盐水冲洗术区,将牙龈瓣复位,缝合切口(通常采用间断缝合),7-10天拆线。
(三)特殊情况处理
- 骨量不足:磨牙区牙槽骨因长期缺牙易吸收,常见水平骨量不足(宽度不够)或垂直骨量不足(高度不够),水平骨量不足可采用骨劈开术或骨挤压术(用骨凿逐级挤压骨组织,扩大种植窝);垂直骨量不足需行引导骨再生术(GBR),用骨粉(如自体骨、异体骨、人工骨)填充骨缺损区,覆盖生物膜(如胶原膜)引导骨再生,3-6个月后再行种植手术;上颌磨牙区骨高度进入上颌窦时,需行上颌窦内提升术(从牙槽嵴顶开窗,向上推起上颌窦黏膜,植入骨粉)或外提升术(从上颌窦外侧壁开窗,植入大量骨粉),术后6-12个月待骨结合完成再种植。
- 即刻种植:对于磨牙区新鲜拔牙 sockets(拔牙后无明显炎症、骨壁完整),可在拔牙同期植入种植体,缩短治疗周期,但需严格把握适应证(如无急性感染、骨量充足)。
骨结合期:等待种植体“扎根”
种植体植入后,需等待4-6个月(上颌骨因骨质较疏松,需6-8个月;下颌骨骨质致密,4-6个月即可),期间种植体与牙槽骨发生“骨结合”——骨细胞在种植体表面沉积,形成稳定的骨性结合界面,这是种植体长期行使功能的基础。
此阶段需注意:避免种植体承受过大咬合力(如用临时活动义齿修复,且需调整咬合,使咬合力由基托传递至牙槽嵴,而非种植体);保持口腔卫生,使用软毛牙刷、冲牙器清洁种植体周围,防止种植体周围炎;定期复查(术后1个月、3个月),观察伤口愈合及骨结合情况。
修复阶段:恢复咀嚼功能与美观
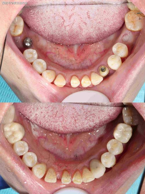
骨结合完成后,进入修复阶段,主要包括取模、制作牙冠及戴牙。

- 二期手术(若为埋植式种植体):对于埋植式种植体(种植体顶部完全埋入牙龈下),需行二期手术切开牙龈,暴露种植体基台连接部位,安装愈合基台,让牙龈形成袖口,2-4周后取模。
- 取模:采用数字化印模(口内扫描仪)或传统印模(用聚醚硅橡胶或聚加硅橡胶取模),获取精确的种植体及周围牙龈形态,送技工室制作牙冠。
- 牙冠制作与戴牙:磨牙区牙冠需承受较大咬合力,材料通常选择全瓷冠(如氧化锆全瓷冠)或金属烤瓷冠,强度高、耐磨性好,技工室制作完成后,医生试戴牙冠,检查边缘密合度、颜色、形态及咬合关系(调整咬合避免早接触、创伤颌),确认无误后用粘接剂固定(种植体基台通常采用粘接固位或螺丝固位)。
- 复查:戴牙后1个月、3个月、6个月定期复查,之后每年复查1次,检查牙冠使用情况、种植体周围骨吸收程度及口腔卫生状况。
术后维护:延长种植体使用寿命
磨牙区种植牙的长期效果离不开科学维护:
- 口腔卫生:每天使用巴氏刷牙法刷牙,配合牙线、冲牙器清洁种植体邻面及牙龈沟,避免食物嵌塞;使用含氟牙膏,预防种植体周围龋。
- 饮食习惯:避免咬硬物(如坚果、骨头、螃蟹壳),减少种植体过度受力;避免过多摄入含糖食物,预防龋齿。
- 定期复查:每年至少1次专业洁治(种植体专业洁治,避免常规洁治器械损伤种植体表面),及时发现并处理种植体周围炎(表现为牙龈出血、红肿、牙周袋溢脓、骨吸收)。
种植手术步骤及操作要点(表格)
| 手术步骤 | 操作要点 | 注意事项 |
|---|---|---|
| 麻醉 | 局部浸润麻醉或神经阻滞麻醉,确保术区无痛 | 下颌磨牙区需阻滞下牙槽神经,避免术中疼痛 |
| 切口翻瓣 | 切开牙龈黏膜及骨膜,暴露牙槽嵴 | 翻瓣范围充分,保证视野清晰,避免损伤牙龈瓣血运 |
| 备洞 | 逐级备洞,保持冷却,控制方向、角度、深度 | 下颌避开下颌神经管,上颌注意上颌窦位置,防止穿孔 |
| 种植体植入 | 选择合适直径、长度种植体,确保初期稳定性 | 旋入力度适中,避免损伤骨组织,初期稳定性>35N·cm为佳 |
| 缝合 | 黏骨膜瓣复位,间断缝合 | 缝合紧密,避免伤口裂开,7-10天拆线 |
| 特殊情况处理 | 骨量不足时行植骨、上颌窦提升;即刻种植需拔牙窝无感染、骨壁完整 | 植骨需充分覆盖骨缺损区,生物膜固定良好;即刻种植需严格把握适应证 |
相关问答FAQs
问:磨牙区种牙后能用多久?会影响正常吃东西吗?
答:磨牙区种植牙的使用寿命受多种因素影响,若维护得当(保持口腔卫生、定期复查、避免咬硬物),可使用10年以上,甚至终身,其咀嚼效率接近天然牙,能恢复80%-100%的咀嚼功能,基本不影响正常进食(如咬坚果、啃面包等均可),但需避免用种植牙开酒瓶、咬骨头等过度受力行为,以免损坏牙冠或影响种植体稳定性。
问:磨牙区骨量严重不足,还能种牙吗?需要植骨吗?
答:磨牙区骨量严重不足仍可种牙,但通常需先进行植骨或骨增量手术,下颌磨牙区水平骨量不足可行骨挤压术(用骨凿逐级挤压骨组织,无需大量植骨)或引导骨再生术(GBR,植入骨粉+生物膜);垂直骨量不足需行骨劈开术延长牙槽嵴高度;上颌磨牙区骨高度进入上颌窦,需行上颌窦内提升术(少量植骨)或外提升术(大量植骨),植骨后需等待3-12个月待骨结合完成,再行种植手术,治疗周期会延长,但能保证种植体的长期稳定。

