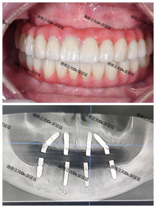
种植牙是目前修复缺失牙的有效方式,而种植体作为人工牙根,其材质、设计及品牌直接影响种植成功率、使用寿命及舒适度,选择种植体时,需结合自身骨质条件、经济预算及医生建议,综合考量以下核心因素。
种植体材质:生物相容性与稳定性的基础
种植体材质需具备良好的生物相容性(与人体组织相容,不产生排异反应)、机械强度(能承受咀嚼力)及耐腐蚀性,目前主流材质包括以下四类,具体对比如下:

| 材质类型 | 特点 | 优势 | 适用人群 |
|---|---|---|---|
| 纯钛(四级/五级) | 最常用材质,以纯钛(Ti)为主,四级钛纯度≥99.5%,五级钛添加少量铝、钒等元素 | 生物相容性极佳,耐腐蚀性强,五级钛强度更高 | 适合大多数人群,尤其骨质条件较好者 |
| 钛合金 | 在纯钛基础上添加铝、钒等合金元素,强度高于纯钛 | 机械强度更高,抗折裂能力强 | 需承受较大咬合力(如后牙区)或骨质稍差者 |
| 锆钛合金 | 钛与锆(Zr)的复合材质,兼顾钛的生物相容性与锆的美学特性 | 美学效果好(牙龈透色风险低),强度适中 | 对美观要求高(如前牙区)或对钛轻度敏感者 |
| 氧化锆 | 全陶瓷材质,无金属成分 | 生物相容性极佳,无金属过敏风险,色泽自然 | 对金属严重过敏者,或前牙美学修复需求高者 |
表面处理技术:加速骨结合的关键
种植体表面并非光滑,而是通过特殊处理形成微观粗糙结构,以增加与骨组织的接触面积,促进成骨细胞附着,加速“骨结合”(种植体与牙槽骨融合)过程,主流表面处理技术包括:
- 喷砂酸蚀(SLA):通过大颗粒喷砂形成粗糙表面,再用酸蚀细化孔径,是目前应用最广泛的技术,骨结合速度快,适合大多数病例。
- 阳极氧化(ANODIC):在钛表面形成多孔氧化钛层,增加表面能,促进蛋白质吸附,适合骨质条件不佳者(如骨质疏松、骨量不足)。
- 亲水性表面:通过特殊工艺去除种植体表面的油脂污染物,使其具有亲水性,可加速血液附着和初期骨愈合,缩短愈合时间(部分品牌可缩短至6-8周)。
主流品牌:技术成熟度与临床验证
种植体品牌众多,进口品牌(如瑞士、瑞典、德国)临床应用时间长,技术积累深厚;国产品牌近年发展迅速,性价比高,以下为部分代表性品牌特点:
- 进口品牌:
- 瑞士Straumann(士卓曼):被誉为“种植牙界的标杆”,其Straumann® Classic Roxolid(钛锆合金)和BLT(纯钛)系列,采用SLA Active亲水性表面,骨结合效率高,即刻负重成功率领先,价格较高(单颗约1.5万-3万元)。
- 瑞典Nobel Biocare(诺贝尔):现代种植牙技术的开创者,NobelActive系列采用锥形设计,初期稳定性好,适合即刻种植和即刻负重,尤其适合骨质条件复杂者(如骨量不足),价格与士卓曼接近。
- 德国Ankylos(安格斯):以“渐进式螺纹”和“锥形连接”设计著称,能分散咬合力,减少骨吸收,长期稳定性好,适合对使用寿命要求高者,单颗约1.2万-2.5万元。
- 国产品牌:
- 威高(WEGO):国内较早进入种植牙领域的品牌,CDIC系列采用四级纯钛,表面处理技术成熟,性价比高(单颗约8000-1.5万元),适合预算有限者。
- 百康特(Bicon):以“独特基台设计”和“短种植体”技术闻名,适合牙槽骨条件不佳(如骨高度不足)的患者,价格适中(单颗约1万-2万元)。
选择种植体的核心考量因素
- 骨质条件:牙槽骨骨密度高、骨量充足者,可选常规纯钛种植体;骨量不足或骨质疏松者,优先考虑亲水性表面、宽直径或锥形设计种植体(如NobelActive),或需联合植骨。
- 经济预算:进口品牌技术成熟但价格较高,国产品牌性价比突出,可根据预算选择(如学生或老年人可选国产,对长期效果要求高者选进口)。
- 口腔健康状况:牙周炎患者需先控制炎症,选择易清洁的种植体设计(如Ankylos的锥形连接);前牙修复注重美观,可选锆钛合金或氧化锆种植体。
- 医生建议:种植体选择需结合医生操作经验,部分医生对特定品牌(如士卓曼、诺贝尔)的种植系统更熟悉,可降低手术风险。
种植体并非“越贵越好”,而是“越适合越好”,优先选择具备正规认证(如CFDA、FDA、CE)的品牌,材质上纯钛和钛合金适用大多数人群,氧化锆适合金属过敏者;表面处理可选SLA或亲水性技术以加速愈合;最终需在医生评估骨质、口腔状况后,综合确定种植体型号,配合规范的术后维护(如定期洁牙、避免咬硬物),才能确保种植牙长期稳定使用。
相关问答FAQs
Q1:种植体是不是越贵越好?如何判断性价比?
A:并非越贵越好,性价比需结合“自身需求”与“产品可靠性”:若骨质条件好、预算有限,选择纯钛材质的国产种植体(如威高)即可,其生物相容性和强度已满足多数病例;若骨质差、需即刻负重,或对美观要求高(如前牙),可考虑进口品牌的亲水性表面或锆钛合金种植体(如士卓曼 Roxolid),判断标准:是否具备长期临床验证(如10年以上成功率>95%)、是否适合自身口腔条件,而非单纯看价格。

Q2:不同品牌的种植体使用寿命差异大吗?能用多久?
A:正规品牌的种植体设计寿命均超过20年,维护得当甚至可用终身,差异主要体现在“初期骨结合速度”和“即刻负重能力”上:如诺贝尔的锥形设计初期稳定性好,适合即刻种植;士卓曼的亲水性表面愈合时间短,可缩短治疗周期,但长期效果(如10年以上)更多取决于术后维护(如口腔卫生、定期复查),而非品牌本身,临床数据显示,规范使用下,主流品牌种植体10年成功率均在95%以上,无需过度担忧品牌差异。

