牙齿间距大是口腔中常见的牙齿排列问题,不仅可能影响面部美观,还可能导致咀嚼功能下降、发音不清,甚至引发牙周疾病等问题,对于牙齿间距大且伴有牙齿缺失或需要修复的患者,种植牙作为一种理想的修复方式,能够有效恢复牙齿的形态与功能,本文将围绕牙齿间距大患者的种牙问题,从原因分析、种牙可行性、术前准备、手术过程、术后护理及注意事项等方面进行详细阐述,帮助患者全面了解这一修复方案。
牙齿间距大的常见原因及影响
牙齿间距大在医学上称为“牙齿稀疏”,其形成原因多样,先天因素中,颌骨发育过大、牙齿体积过小(如侧切牙先天缺失或形态异常)是主要原因;后天因素则包括牙周病导致的牙槽骨吸收、牙齿移位,以及不良习惯(如舔牙、咬唇、口呼吸等)使牙齿外倾,牙齿缺失后未及时修复,邻牙向缺牙区倾斜,也会导致相邻牙齿间出现间隙。

牙齿间距大的影响不仅限于美观:较大的牙缝容易嵌塞食物,若清洁不当可能引发龋齿、牙龈炎、牙周炎;多颗牙齿间距大可能导致咀嚼效率降低,增加胃肠负担,长期还可能因咬合关系紊乱引发颞下颌关节问题,对于牙齿缺失且伴有间距大的患者,传统修复方式如活动义齿或固定桥可能因间隙过大而固位不良,种植牙则因其独立的牙根支持,成为更优选择。
牙齿间距大种牙的可行性评估
种植牙是通过外科手术将纯钛种植体植入牙槽骨内,作为人工牙根,再在种植体上安装牙冠,从而恢复牙齿形态与功能,对于牙齿间距大的患者,种牙的可行性需综合评估以下条件:
牙槽骨条件
种植牙的成功基础是充足的牙槽骨骨量,牙齿间距大可能伴随牙槽骨因长期缺牙或牙周病而吸收,导致骨高度或宽度不足,此时需通过CBCT(锥形束CT)等影像学检查评估骨量,若骨量不足,需先进行骨增量手术(如引导骨再生术、骨挤压术等),待骨结合完成后再行种植。
口腔健康状况
患者需无未控制的牙周炎、根尖周炎等口腔疾病,若存在牙周病,需先进行系统性牙周治疗(如洁治、刮治、根面平整等),待牙周炎症控制、病情稳定后再考虑种植,相邻牙齿需无严重龋坏或牙体缺损,否则需先进行治疗。

全身健康状况
全身性疾病如未控制的糖尿病(空腹血糖需控制在8mmol/L以下)、严重骨质疏松、长期服用双膦酸盐类药物(如治疗骨质疏松的药物)、免疫系统疾病等,可能影响种植体骨结合,需医生综合评估手术风险。
牙齿间距大种牙的适应症与禁忌症
为更直观判断,以下表格总结了牙齿间距大患者种牙的适应症与禁忌症:
| 类别 | |
|---|---|
| 适应症 | 因先天或后天因素导致牙齿间距大,伴单颗或多颗牙齿缺失; 牙槽骨骨量充足,或可通过骨增量改善; 无严重全身系统性疾病,口腔健康状况良好; 对美观及功能要求较高,依从性好。 |
| 禁忌症 | 严重未控制的牙周病或根尖周炎; 牙槽骨骨量严重不足且无法进行骨增量; 未控制的糖尿病、心血管疾病等; 长期服用抗凝药物或免疫抑制剂; 严重夜磨牙或咬合习惯不良。 |
种牙前的详细准备工作
牙齿间距大的患者种牙前需进行充分的术前准备,以确保手术顺利进行和种植效果长期稳定。
全面的口腔检查与评估
除临床检查外,需拍摄口腔全景片、CBCT(三维重建)、根尖片等影像学资料,明确缺牙区牙槽骨的高度、宽度、密度,以及邻牙、神经管、上颌窦等重要解剖结构的位置,取研究模型,分析咬合关系及牙齿排列情况,为种植体植入位置、角度及牙冠设计提供依据。

基础疾病治疗
若患者存在牙周病,需先完成牙周系统性治疗,包括龈上洁治、龈下刮治、牙周手术等,控制炎症后再行种植;若伴有全身性疾病(如高血压、糖尿病),需在内科医生指导下将病情控制在稳定范围;长期服用抗凝药物的患者,需与心内科医生沟通评估是否需调整用药,避免术中术后出血过多。
骨增量处理(必要时)
对于牙槽骨骨量不足的患者,需先进行骨增量手术,常见方法包括:
- 引导骨再生术(GBR):在骨缺损区植入骨粉(如自体骨、异体骨、人工骨等),覆盖生物膜,引导骨组织再生;
- 骨挤压术:对于骨宽度轻度不足,通过专用器械将牙槽骨挤压扩大,为种植体提供植入空间;
- 上颌窦提升术:针对上颌后牙区牙槽骨高度不足,通过上颌窦黏膜下植骨或开窗植骨,增加骨高度。
骨增量术后需等待3-6个月,待种植体与骨组织达到良好骨结合后,再进行二期手术。
数字化种植设计
随着技术发展,数字化种植已成为主流,通过口内扫描获取口腔数据,结合CBCT影像进行三维重建,利用种植设计软件模拟种植体植入位置、角度及深度,制作3D打印手术导板,提高手术精准度,避免损伤重要解剖结构,尤其适用于牙齿间距大、邻牙位置异常的复杂病例。
种植手术过程详解
牙齿间距大患者的种植手术过程可分为以下几个阶段,具体时间因骨量、修复方式不同而异(通常3-6个月):
一期手术:种植体植入
在局部麻醉下,沿牙槽嵴顶做切口,剥离黏骨膜,暴露牙槽骨,根据术前设计,使用逐级备洞预备种植窝洞,将种植体(如纯钛或钛合金种植体)植入预定位置,缝合切口,术后需拍摄X线片确认种植体位置是否理想,并给予抗生素、止痛药等预防感染和缓解不适。
骨结合期
种植体植入后,需等待其与牙槽骨形成牢固的骨结合(骨整合),这一过程通常需3-6个月:下颌骨血供较好,骨结合时间约3个月;上颌骨骨密度较低,需4-6个月,期间避免种植体受力,遵医嘱保持口腔卫生,定期复查。
二期手术:基台连接
骨结合完成后,行二期手术暴露种植体顶部,安装愈合基台,使牙龈形成袖口形态,为牙冠佩戴提供支持,术后1-2周,牙龈袖口形态稳定后,可取模进行牙冠制作。
牙冠佩戴与调整
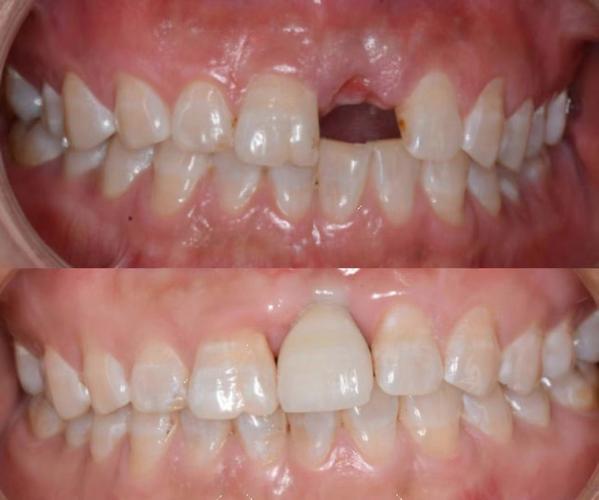
牙冠制作完成后(材料包括全瓷、烤瓷等,全瓷冠因美观、生物相容性更优,更推荐用于前牙区修复),需试戴调整咬合、邻接关系及颜色,对于牙齿间距大的患者,牙冠设计需特别注意与邻牙的接触点位置,避免因间隙过大导致食物嵌塞,或接触过紧压迫牙龈,调整完成后,用粘接剂固定牙冠,完成最终修复。
术后护理与长期维护
种植牙的成功不仅依赖于手术技术,还需术后科学护理和长期维护,以延长种植体使用寿命。
术后短期护理(1-2周)
- 饮食:术后24小时内进食温凉流质或半流质食物,避免用患侧咀嚼,术后1周内避免过硬、过热食物;
- 口腔卫生:术后24小时内不刷牙,仅用漱口水(如氯己定漱口液)含漱,术后1天可轻柔刷牙,避开术区,术后1周拆线;
- 避免剧烈运动:术后3天内避免剧烈运动、重体力劳动,防止术区出血;
- 复诊:按医生要求定期复查(术后1周、1个月、3个月),检查伤口愈合及种植体情况。
长期维护(终身)
- 口腔清洁:种植牙与天然牙一样需认真清洁,每天至少刷牙2次,使用牙线、牙缝刷、冲牙器等清洁邻面和种植体周围,预防种植体周围炎;
- 定期复查:每6个月-1年进行一次口腔检查及专业洁治(种植牙洁治需使用专用器械,避免损伤种植体表面);
- 避免不良习惯:避免咬硬物(如坚果、螃蟹壳)、夜磨牙(需佩戴夜磨牙垫)、用牙开瓶等,防止种植体或牙冠损坏;
- 全身健康管理:控制糖尿病、骨质疏松等全身疾病,长期吸烟者需戒烟,吸烟会增加种植体周围炎和失败风险。
相关问答FAQs
Q1:牙齿间距大种牙需要多久完成?整个过程中会疼吗?
A:牙齿间距大种牙的时间因人而异,主要取决于牙槽骨条件,若骨量充足,无需骨增量,通常需3-4个月(一期手术1个月,骨结合3个月,二期手术及戴牙1个月);若需骨增量,则需6-8个月(骨增量3-6个月,后续步骤同上),手术过程中采用局部麻醉,患者不会感到疼痛;术后可能出现轻微肿胀、疼痛,遵医嘱服用止痛药可缓解,一般3-5天症状逐渐消失。
Q2:牙齿间距大种牙后能用多久?和自然牙一样耐用吗?
A:种植牙的使用寿命与多种因素相关:若患者口腔卫生良好、定期复查、无不良习惯,种植体可使用20年以上,甚至终身;牙冠部分(全瓷冠)一般使用10-15年,若出现磨损或崩瓷,可更换新牙冠,虽然种植牙的强度接近自然牙,但需注意避免咬硬物,且种植体周围缺乏天然牙的牙周膜缓冲,长期过载可能导致骨吸收,因此需像爱护自然牙一样维护,避免过度受力。
