高密度无痕正畸治疗法是近年来口腔正畸领域的一项创新技术,其核心通过精密的材料设计、数字化方案优化及微创粘接技术,在实现牙齿高效移动的同时,最大限度降低传统正畸带来的美观、舒适度及口腔清洁等问题,传统正畸治疗中,金属托槽的凸起结构易导致口腔黏膜溃疡、食物嵌塞,且托槽边缘与牙面间的粘接剂残留可能形成“三角区”,增加龋齿风险;而高密度无痕法则通过“高密度”托槽排列与“无痕”粘接工艺的结合,重塑了正畸治疗的体验。
技术原理与核心优势
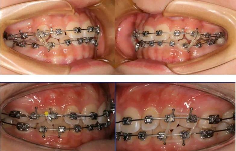
高密度无痕正畸的核心在于“高密度”与“无痕”两大特性。高密度指托槽在牙面排列时采用更紧凑的布局,通过优化托槽基底的形态与尺寸,减少托槽间的无效间隙,使弓丝与托槽的接触点更密集,从而实现牙齿移动的精准控制,缩短治疗周期。无痕则体现在两方面:一是托槽材料采用生物相容性高的透明陶瓷或高分子树脂,其折射率与牙釉质接近,佩戴后几乎不可见;二是粘接技术采用间接粘接法,通过数字化导板将托槽精确定位在牙面,粘接剂仅覆盖托槽基底,避免传统直接粘接中多余的粘接剂残留,实现“零痕迹”粘接。

与传统正畸方法相比,其优势显著(如下表所示):
| 对比维度 | 传统金属托槽正畸 | 高密度无痕正畸 |
|---|---|---|
| 托槽材质 | 金属(不锈钢) | 透明陶瓷/高分子树脂 |
| 美观性 | 显著,金属色影响社交 | 接近隐形,与牙色融合 |
| 口腔舒适度 | 托槽凸起易导致溃疡,异物感强 | 表面光滑,边缘圆润,减少黏膜刺激 |
| 口腔清洁难度 | 高,托槽周围易存留食物残渣 | 低,无粘接剂残留,便于刷牙冲牙器 |
| 粘接精准度 | 依赖医生经验,易出现偏差 | 数字化导板定位,误差<0.1mm |
| 治疗周期 | 平均18-24个月 | 平均12-18个月(高密度排列加速移动) |
适用人群与治疗流程
高密度无痕正畸适用于多种错颌畸形,包括牙列拥挤、牙间隙过大、深覆合、深覆盖、个别牙错位等,尤其适合对美观要求高的成年人、青少年及传统正畸有抗拒心理的患者,但对于严重骨性畸形(如下颌后缩伴上颌前突)或需要正颌手术的患者,仍需联合正颌治疗。
其治疗流程严格遵循数字化正畸标准:
- 初诊检查:通过口内检查、CBCT、数字化口扫(如iTero)获取牙齿、牙槽骨及颌面三维数据,结合面部美学分析制定初步方案。
- 方案设计:利用专业正畸设计软件(如Dentofacial Planner)模拟牙齿移动路径,预测治疗结果,确定托槽粘接位置与弓丝序列,重点优化“高密度”排列以减少疗程。
- 托槽定制与粘接:根据设计方案,通过3D打印技术个性化定制托槽基底,确保与牙面完美贴合;采用间接粘接法,在模型上预粘接托槽后转移至口内,避免唾液污染,提升粘接精度。
- 复诊调整:每4-6周复诊一次,更换更粗的弓丝或调整托槽槽沟,利用“高密度”接触点施加轻力、持续力,引导牙齿向目标位置移动。
- 保持阶段:拆除矫治器后,佩戴透明压模保持器或固定式保持丝,防止复发。
注意事项与常见误区
治疗期间需特别注意口腔卫生,建议使用正畸专用牙刷(如凹形刷头)、冲牙器及牙线,每日至少刷牙3次,每次3分钟,避免托槽周围形成菌斑;饮食上避免过硬(如坚果、骨头)、过黏(如口香糖、年糕)食物,防止托槽脱落,部分患者初期可能出现牙齿酸痛、口腔黏膜轻微溃疡,通常1周内缓解,可使用正畸保护蜡覆盖托槽边缘。

“无痕正畸=完全隐形”,无痕正畸的托槽虽接近牙色,但并非完全隐形(如隐适美等隐形牙套),更适合对“半隐形”有需求的患者,误区二:“高密度排列可无限缩短疗程”,牙齿移动需遵循生物学规律,高密度设计通过提升效率缩短周期,但疗程仍取决于错颌畸形的复杂程度,不可盲目追求“快速矫正”。
相关问答FAQs
Q1:高密度无痕正畸的托槽容易脱落吗?
A1:相较于传统托槽,高密度无痕托槽因采用间接粘接技术与个性化基底设计,粘接面积更大、更均匀,脱落率显著降低(<5%),若不慎脱落,需及时联系医生处理,避免影响牙齿移动方向。
Q2:治疗结束后牙齿会复发吗?如何预防?
A2:正畸治疗后牙齿存在一定复发风险,尤其是未经保持的阶段,高密度无痕正畸因精准控制牙齿移动,复发风险相对较低,但仍需严格佩戴保持器:前6个月除进食外全天佩戴,之后夜间长期佩戴,同时定期复查(每6个月1次),医生会通过口扫等方式监测牙齿稳定性,及时调整保持方案。

