牙槽骨是上下颌骨包围和支持牙齿的特殊骨质结构,如同树木生长的土壤,其健康状态直接关系到牙齿的稳固与功能,当牙槽骨因各种原因发生体积缩小、密度降低的病理性改变时,即为牙槽骨萎缩,这一问题不仅会影响口腔健康,更可能成为牙齿修复(尤其是种植牙)的重要阻碍,需引起足够重视。
牙槽骨萎缩的常见原因
牙槽骨萎缩并非单一因素导致,而是多种因素长期作用的结果,牙齿缺失后未及时修复是最主要的原因——牙齿通过咀嚼力将刺激传递至牙槽骨,缺牙后缺乏这种生理性刺激,牙槽骨会逐渐被吸收,如同“用进废退”的自然规律,临床数据显示,缺牙后3年,牙槽骨骨量可能减少30%-40%,缺牙时间越长,萎缩程度越严重。

牙周炎是另一大“元凶”,长期存在的牙周炎症会导致牙周袋形成、牙槽骨破坏,炎症因子持续侵蚀下,牙槽骨逐渐吸收、变薄,最终无法支持牙齿,导致牙齿松动甚至脱落,不良口腔习惯(如偏侧咀嚼、夜磨牙)、不良修复体(如不合适的假牙长期压迫牙槽骨)、年龄增长导致的骨代谢失衡、以及全身性疾病(如糖尿病、骨质疏松症)等,都会加速牙槽骨萎缩的进程。
牙槽骨萎缩的危害
牙槽骨萎缩的危害远不止“缺牙”本身,它会直接影响咀嚼功能:骨量不足导致假牙固位变差,吃东西时容易松动、脱落,甚至引发疼痛,迫使患者只能选择软食,长期下来可能影响营养吸收和消化健康,对面部美观造成影响:牙槽骨支撑着面部软组织,萎缩后可能出现“塌陷”或“凹陷”,让人显得比实际年龄苍老,甚至影响发音和社交自信,更严重的是,牙槽骨萎缩会累及邻牙和对颌牙:缺牙处的邻牙会向缺牙区倾斜,对颌牙会伸长,破坏咬合平衡,进一步导致更多牙齿问题,形成“缺一颗坏一排”的连锁反应。
牙槽骨萎缩患者能否种牙?如何处理?
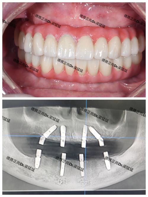
这是许多患者最关心的问题,牙槽骨萎缩并非种植牙的绝对禁忌症,但需要通过专业的评估和预处理,确保种植体有足够的骨支持,核心原则是:根据骨萎缩的程度和位置,选择合适的骨增量技术,为种植牙创造“土壤条件”。
常见骨增量技术对比
| 技术名称 | 适用情况 | 优点 | 缺点 |
|---|---|---|---|
| 自体骨移植 | 骨缺损较大,需大量骨增量 | 骨结合率高,无排斥反应 | 需额外取骨区(如颏部、髂骨),创伤稍大 |
| 引导骨组织再生术 | 局部骨缺损,需引导骨再生 | 可精准塑形,减少创伤 | 对技术要求高,愈合周期较长 |
| 上颌窦提升术 | 上颌后牙区牙槽骨高度不足 | 有效增加骨高度,种植成功率高 | 有上颌窦穿孔风险,术后反应较明显 |
| 骨劈开术 | 牙槽骨宽度不足,高度尚可 | 保留原有骨量,手术创伤小 | 适用于轻度宽度不足,严重者需联合其他技术 |
以“上颌窦提升术”为例,上颌后牙区因接近上颌窦,缺牙后骨高度容易不足,医生可通过“内提升”(从牙槽嵴顶开窗)或“外提升”(从上颌窦外侧壁进入),将上颌窦黏膜推起,在骨与黏膜间植入骨移植材料,3-6个月后骨量足够即可植入种植体,对于骨宽度严重不足的患者,则可能需要“块状骨移植”或“牵引成骨术”,通过缓慢牵拉骨组织,实现骨量的逐渐增加。

种牙流程与注意事项
经过骨增量处理后,种植牙流程通常包括:术前检查(CBCT评估骨量、血常规等)、骨增量手术(如需要)、种植体植入(骨愈合期3-6个月)、基台安装、牙冠制作与戴牙,整个过程需3-6个月,具体时间取决于骨愈合速度和个体差异。
种牙后的维护至关重要:需保持口腔卫生,使用牙线、冲牙器、专用牙刷清洁种植体周围;避免咬硬物(如坚果、骨头),防止种植体过载;定期复查(每6个月1次),医生会检查种植体周围骨状况、牙龈健康及咬合情况,糖尿病患者需严格控制血糖,吸烟者需戒烟,这些因素都会影响种植体的长期成功率。
相关问答FAQs
Q1:牙槽骨萎缩不治疗会有什么后果?
A:牙槽骨萎缩是一个持续进展的过程,不治疗会导致骨量持续减少,不仅增加后期种植牙的难度(可能需要更复杂的骨增量手术,甚至无法种植),还会影响邻牙稳定,导致牙齿移位、咬合紊乱,甚至引发颞下颌关节疾病,面部支撑不足会加速皮肤松弛,影响美观,长期咀嚼功能下降还可能引发消化系统问题。
Q2:种牙后牙槽骨还会继续萎缩吗?
A:种植体植入后,其表面与牙槽骨会形成“骨结合”,类似于天然牙的牙根,通过咀嚼刺激可维持牙槽骨的生理状态,防止进一步萎缩,但若种植体周围发生感染(如种植体周围炎)、咬合力过大或口腔卫生差,仍可能导致牙槽骨吸收,种牙后需严格遵医嘱维护,定期复查,才能确保种植体和牙槽骨的长期健康。

