拔牙后一年进行种植牙是目前临床中较为推荐的种植时机,这一时间间隔既能让拔牙窝充分愈合,又能避免因等待过长导致牙槽骨过度吸收,为种植体提供稳定的骨结合基础,拔牙后,牙槽骨会经历自然的改建过程:最初3个月是血肿机化、纤维组织形成的关键期,6个月左右骨小梁逐渐形成并初步稳定,而一年左右牙槽骨的密度和高度已趋于稳定,此时种植不仅能降低手术难度,还能提高种植体的长期成功率。
为何需等待一年再种植?
拔牙后,牙齿周围的牙槽骨会失去咀嚼刺激,逐渐发生废用性萎缩,尤其是前牙区,因骨壁较薄,吸收速度可能更快,若过早种植(如拔牙后3个月内),拔牙窝内的纤维组织尚未完全转化为骨组织,种植体周围易出现骨结合不良,甚至导致种植体松动,而等待一年左右,牙槽骨的骨量基本稳定,种植体植入后能与骨组织形成紧密的“骨整合”,这是种植牙成功的关键,若拔牙时伴有感染(如根尖周炎、牙周炎),一年时间能让炎症彻底消退,避免种植后继发感染。

种植前的必要检查
在确定种植前,需进行全面评估:通过CBCT(锥形束CT)检查牙槽骨的厚度、高度及密度,理想情况下种植区骨量需≥10mm(厚度)、≥8mm(高度);若骨量不足,可能需进行骨增量手术(如植骨、引导骨再生),需排查全身性疾病(如糖尿病、骨质疏松、长期服用抗凝药物等),控制血糖在8mmol/L以下,停用抗凝药物1周以上,确保手术安全。
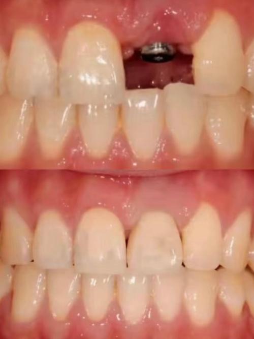
种植牙流程及时间安排
拔牙后一年种植的流程可分为四个阶段,具体如下:
| 阶段 | 时间 | 主要操作 | 注意事项 |
|---|---|---|---|
| 术前准备 | 种植前1-2周 | CBCT检查、血常规、凝血功能、口腔卫生清洁 | 治疗牙周炎,控制口腔内炎症 |
| 种植手术 | 当天 | 局部麻醉、切开牙龈、植入种植体、缝合伤口 | 术后24小时内不刷牙、不漱口,避免剧烈运动 |
| 骨结合期 | 3-6个月 | 种植体与牙槽骨融合,期间可佩戴临时义齿 | 避免种植区受力,定期复查骨愈合情况 |
| 修复戴牙 | 骨结合完成后 | 安装基台、取模、制作并戴入牙冠 | 调整咬合,避免早接触,保持口腔卫生 |
拔牙后一年种植的优势
- 骨条件稳定:一年时间让牙槽骨充分愈合,骨量充足,减少植骨概率,简化手术步骤。
- 成功率更高:研究显示,延期种植(≥6个月)的5年成功率可达95%以上,显著高于早期种植(3-6个月)的85%-90%。
- 修复效果更佳:稳定的骨支持可使牙冠形态、功能更接近天然牙,提升咀嚼效率和美观度。
术后注意事项
种植后需严格遵循医嘱:术后24小时内冷敷面部减少肿胀,遵医嘱服用抗生素预防感染;一周内避免种植区咀嚼硬物,用非手术侧进食;使用软毛牙刷、牙线清洁种植体周围,预防种植体周围炎;定期复查(术后1个月、6个月、1年),之后每年至少复查1次,监测种植体及牙槽骨状况。
不同种植时机的对比
| 种植时机 | 拔牙后时间 | 适用情况 | 优缺点 |
|---|---|---|---|
| 即刻种植 | 拔牙当天 | 骨量充足、无感染的前牙区 | 优点:减少手术次数,缩短疗程;缺点:骨结合风险高,需严格筛选病例 |
| 早期种植 | 3-6个月 | 拔牙窝愈合良好,无明显骨吸收 | 优点:缩短等待时间;缺点:骨量可能不足,需植骨概率较高 |
| 延期种植 | ≥6个月(推荐1年) | 骨量不足、有感染或需复杂植骨 | 优点:骨条件稳定,成功率高;缺点:治疗周期长,需佩戴临时义齿 |
FAQs
Q1:拔牙后一年,牙槽骨已经吸收了,还能种植吗?
A:若骨量不足,可通过植骨、引导骨再生等技术增加骨量,目前骨增量技术成熟,如自体骨移植、人工骨粉填充等,可有效解决骨量不足问题,为种植创造条件,具体方案需根据CBCT结果由医生评估制定。

Q2:种植牙使用年限受哪些因素影响?
A:种植牙的使用年限主要与三个方面相关:一是口腔卫生维护,若日常清洁不到位,易引发种植体周围炎,导致骨吸收;二是咬合习惯,长期咬硬物(如坚果、螃蟹壳)可能损伤种植体及牙冠;三是全身健康状况,糖尿病未控制、骨质疏松等可能影响骨结合,维护得当的种植牙可使用20年以上甚至终身。

