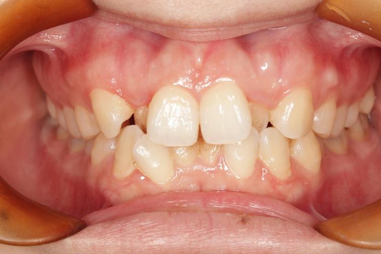
正畸后牙上颌中线不齐是指经过牙齿矫正治疗后,上颌牙齿的中线与面部中线(通常指鼻尖、上唇中线、颏点连成的理想对称线)出现不一致的情况,表现为上颌门牙之间缝隙偏向一侧、牙齿整体偏移或中线与面部中线不重合,这种情况不仅影响面部美观,还可能对咬合功能、口腔健康造成潜在影响,是正畸治疗中常见的并发症之一,需要明确原因并采取针对性处理。
上颌中线不齐的发生通常与多方面因素相关,从治疗设计阶段看,若正畸医生在方案制定时未充分评估患者的面部对称性、骨骼类型或牙齿原始位置,例如忽略了上颌骨本身的轻微偏斜,或未精确测量牙弓长度与牙齿宽度的比例,可能导致矫正后中线无法与面部中线对齐,治疗过程中的操作细节同样关键,比如在关闭拔牙间隙时,若支抗控制不足(如后牙前移过多),或牙齿移动过程中施加的力量不均匀,都可能引起整体牙弓的偏移;若患者存在未及时纠正的不良习惯,如偏侧咀嚼、咬唇、吐舌等,也会在治疗中或保持期导致中线复发,患者自身因素也不容忽视,例如上颌骨发育不对称(如一侧颧骨突出)、乳牙早失导致的恒牙萌出方向异常,或正畸前存在严重的牙齿拥挤、扭转,这些情况在矫正中若处理不当,均可能成为中线不齐的诱因,保持阶段的问题同样常见,比如保持器佩戴时间不足、保持器与牙齿贴合度不佳(尤其是可摘保持器),或保持器损坏后未及时修复,导致牙齿在保持期内发生轻微移位,进而引发中线偏差。

上颌中线不齐的影响不仅限于美观层面,从咬合功能看,中线偏差可能导致上下颌牙齿咬合关系紊乱,如中线两侧受力不均,长期可能引发颞下颌关节紊乱(表现为关节弹响、疼痛、张口受限),同时降低咀嚼效率,增加胃肠道负担,在口腔健康方面,中线不齐常伴随牙齿邻接关系异常,容易导致食物嵌塞,进而引发邻面龋、牙龈炎或牙周炎;若牙齿倾斜过度,还可能增加牙根吸收的风险,对患者的心理状态也有潜在影响,尤其是对美观要求较高的青少年或成人,中线不齐可能引发自卑、社交回避等负面情绪。
针对正畸后上颌中线不齐,需根据偏差程度、发生时间及原因制定个性化解决方案,对于轻度中线不齐(偏差≤2mm)且处于保持期内的患者,可通过调整保持器改善,例如在可摘保持器的腭侧添加弹簧装置,通过轻微力量引导牙齿移动;对于固定保持器,可通过弯制弓丝进行微调,若偏差程度较重(偏差>2mm)或已过保持期,通常需要二次矫正治疗,此时可选择隐形矫正(如隐形牙套)或固定矫正(如粘接托槽),通过轻力、间歇性移动牙齿,逐步将中线调整至理想位置,治疗周期一般为3-6个月,具体时间取决于偏差程度及牙齿移动难度,值得注意的是,若中线不齐由骨骼因素(如上颌骨发育不对称)导致,单纯正畸治疗难以完全纠正,需联合正颌手术进行骨性调整,术后再通过正畸精细排齐牙齿,以确保中线与面部中线协调一致。
为预防正畸后中线不齐,治疗前的全面评估至关重要,医生需通过X线片(如头颅侧位片、曲面断层片)、面部对称性分析、模型测量等手段,明确骨骼与牙齿的实际情况,制定兼顾功能与美观的方案;治疗中需加强支抗控制,采用精准的牙齿移动技术,并定期监控中线位置;患者则需严格遵医嘱佩戴保持器,纠正不良习惯,定期复诊检查,以降低复发风险。
以下是相关问答FAQs:
Q1:正畸后中线不齐一定是医生操作不当吗?
A1:不一定,中线不齐的原因复杂,可能涉及治疗设计、操作细节、患者自身骨骼或习惯等多方面因素,若患者存在上颌骨发育不对称或未纠正的不良习惯,即使医生操作规范,仍可能出现中线偏差;但若因方案设计时未评估面部对称性或治疗中支抗控制不足导致,则与医生相关,需具体分析原因,不能简单归咎于某一方。

Q2:中线不齐不处理会有什么后果?
A2:轻度中线不齐若不影响咬合和美观,且保持稳定,可不处理;但中重度不齐可能导致咬合紊乱(如颞下颌关节问题)、食物嵌塞引发牙周疾病、牙齿磨损加剧,甚至影响面部美观和心理健康,建议及时就医评估,根据医生建议决定是否需要矫正处理。

