缺牙是口腔健康中常见的困扰,无论是因为龋坏、外伤还是牙周病导致的牙齿缺失,都可能引发一系列继发问题,其中邻牙向缺隙倾斜是最为典型的连锁反应之一,这种倾斜不仅会影响牙齿的正常排列,还可能进一步损害口腔功能与美观,而牙齿正畸作为矫正牙齿排列、恢复口腔健康的重要手段,在解决缺牙后牙齿倾斜问题上发挥着关键作用。
缺牙与牙齿倾斜的内在联系
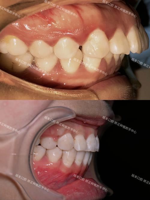
牙齿在口腔中并非孤立存在,而是通过牙槽骨、牙周膜等组织与邻牙相互支撑、相互制约,形成稳定的咬合系统,当一颗牙齿缺失后,原本的力学平衡被打破:缺牙间隙两侧的牙齿会失去邻牙的阻力,逐渐向缺隙处倾斜、移位;而上、下颌对应的牙齿则可能因失去咬合对抗而伸长,导致咬合紊乱,后牙缺失后,前牙可能会因承受过大的咬合力而向前突出,同时后牙也会向缺隙倾斜,形成“锁扣”式咬合,不仅影响咀嚼效率,还可能增加颞下颌关节的负担。

牙齿倾斜的发生速度与缺牙时间、缺牙位置密切相关,缺牙后3-6个月即可观察到邻牙的轻微移位,1-2年后倾斜程度会明显加重,尤其是后牙缺失,因承受的咀嚼力更大,邻牙倾斜的速度和幅度往往比前牙更显著,缺牙导致的牙槽骨吸收也会加速牙齿移位——牙槽骨因失去功能性刺激而萎缩,进一步削弱了对牙齿的支撑力,形成“牙齿倾斜—牙槽骨吸收—牙齿进一步倾斜”的恶性循环。
牙齿倾斜的潜在危害
缺牙后牙齿倾斜看似只是“牙齿长歪了”,实则可能引发多方面问题:
- 咬合功能下降:倾斜的牙齿会导致咬合关系紊乱,咀嚼效率降低,长期可能引起消化系统疾病;部分牙齿因受力不均,可能出现过度磨损、崩裂等情况。
- 口腔清洁困难:倾斜的牙齿会形成异常的牙缝或食物嵌塞区,牙刷、牙线等清洁工具难以彻底清洁,容易堆积牙菌斑,引发龋齿、牙周炎等问题,进一步破坏牙齿健康。
- 美观与心理影响:前牙倾斜会影响面部美观,尤其是对于爱美人士,可能导致笑容不自信,甚至产生社交焦虑。
- 颞下颌关节紊乱:咬合紊乱可能通过咀嚼肌传导至颞下颌关节,导致关节弹响、疼痛、张口受限等症状,严重时影响生活质量。
牙齿正畸:解决缺牙后牙齿倾斜的核心方案
牙齿正畸通过施加持续、轻柔的生物力,引导倾斜的牙齿移动至正常位置,恢复牙列的整齐与稳定,针对缺牙后牙齿倾斜的情况,正畸治疗的目标主要包括:关闭缺牙间隙(或为种植牙创造空间)、纠正邻牙倾斜、恢复咬合功能、改善面部美观,具体治疗方案需根据患者的缺牙时间、年龄、牙槽骨条件、咬合关系等因素综合制定。
正畸治疗的常见步骤
- 全面口腔检查与评估:通过口腔曲面断层片、头颅侧位片、CBCT等影像学检查,评估缺牙区牙槽骨情况、邻牙倾斜程度、牙根位置以及颌骨发育情况,同时检查是否存在龋齿、牙周炎等潜在问题,若存在牙周炎症,需先进行牙周治疗,待炎症控制后再开始正畸。
- 方案设计:根据检查结果,确定是否需要关闭缺牙间隙,对于青少年患者,若牙槽骨条件良好,可通过正畸直接关闭间隙,避免未来种植牙的需求;对于成年人,尤其是后牙缺失,通常建议保留缺牙间隙,先通过正畸排齐倾斜的邻牙,为后续种植牙创造良好的骨条件和空间。
- 矫治器选择:根据患者年龄、美观需求及牙齿复杂度选择合适的矫治器:
- 传统固定矫治器:即“钢牙套”,通过托槽和弓丝施加力量,适用范围广,尤其适合牙齿倾斜严重、需要复杂移动的患者;
- 自锁托槽矫治器:摩擦力较小,牙齿移动速度更快,复诊间隔延长,患者不适感较低;
- 隐形矫治器:如隐形牙套,美观、舒适,可自行摘戴,适合成年轻度至中度牙齿倾斜患者,但需患者高度配合,每天佩戴时间不少于20小时。
- 加力与调整:定期复诊(通常1-2个月一次),医生根据牙齿移动情况调整矫治力,确保倾斜的牙齿按计划移动至目标位置,治疗周期一般为1-3年,具体时间取决于牙齿倾斜程度和方案复杂度。
- 保持与维护:正畸结束后需佩戴保持器(通常建议夜间佩戴至少1年),防止牙齿因牙周组织改建和肌肉力量作用而复发倾斜,保持良好的口腔卫生习惯,定期进行口腔检查和洁牙。
不同缺牙情况下的正畸方案选择
| 缺牙情况 | 邻牙倾斜程度 | 推荐正畸方案 | 注意事项 |
|---|---|---|---|
| 前牙缺失,缺牙时间短 | 轻度倾斜(<30°) | 直接关闭间隙,配合邻面去釉减小阻力 | 需评估前牙美观需求,关闭间隙后可能影响面型 |
| 后牙缺失,缺牙时间长 | 重度倾斜(>30°) | 保留间隙,先排齐邻牙,再行种植修复 | 需评估牙槽骨高度,必要时植骨 |
| 多颗牙连续缺失 | 多颗牙倾斜移位 | 分阶段矫治:先纠正倾斜牙齿,再设计修复体(种植桥/活动义齿) | 需重建咬合曲线,确保咀嚼功能恢复 |
正畸治疗的注意事项
- 口腔卫生维护:戴矫治器期间,牙齿和托槽之间易残留食物残渣,需使用正畸专用牙刷、牙线、冲牙器等工具清洁,避免龋齿和牙周炎。
- 饮食调整:避免食用过硬、黏性食物(如坚果、口香糖),防止托槽脱落或弓丝变形;减少碳酸饮料摄入,以防牙釉质脱矿。
- 定期复诊:严格按照医嘱复诊,若出现托槽脱落、弓丝刺伤口腔等异常情况,需及时就医处理。
相关问答FAQs
Q1:缺牙后牙齿倾斜,一定要做正畸吗?
A:不一定,是否需要正畸取决于牙齿倾斜的程度、是否影响咬合功能以及患者的美观需求,若倾斜轻微(如邻牙倾斜<15°),未引起咬合紊乱或清洁困难,且患者无美观顾虑,可暂时观察,定期复查;若倾斜明显(>30°),导致咀嚼疼痛、食物嵌塞或影响面部美观,则建议及时进行正畸治疗,避免问题进一步加重。

Q2:成年人缺牙正畸和青少年相比,难度更大吗?
A:成年人正畸确实存在一定特殊性,但“难度更大”需辩证看待,成年人的牙槽骨改建速度较慢,牙齿移动效率相对较低,治疗周期可能比青少年长;成年人可能伴有牙周炎、牙槽骨吸收等问题,需先控制牙周炎症再开始正畸,但成年人的配合度高,目标明确(如为种植牙做准备),且矫治器选择更丰富(如隐形牙套),只要方案设计合理,正畸效果通常理想,医生会通过详细检查制定个性化方案,确保治疗安全有效。

