广州光华口腔作为华南地区颇具影响力的口腔医疗机构,其正畸科室汇聚了一批临床经验丰富、技术功底扎实的专业医生团队,在牙齿矫正领域形成了以“精准诊断、个性化设计、舒适化治疗”为核心的服务体系,为不同年龄段的患者提供从常规牙齿排齐到复杂骨性病例矫正的全方位解决方案。
光华口腔正畸医生团队:专业与经验的集合
光华口腔正畸科室的医生团队构成多元,既有深耕临床十余年的资深专家,也有掌握国际前沿技术的青年骨干,团队成员普遍拥有国内外知名院校的口腔正畸学硕士、博士学位,部分医生还具备海外进修经历,如美国、德国、日本等正畸技术发达国家的培训背景,确保技术与国际水平接轨,团队核心成员在各自的擅长领域各有侧重,形成了覆盖全年龄段、全病例类型的诊疗能力。

以下为光华口腔部分核心正畸医生的简介(表格形式呈现):
| 医生姓名 | 职称/学历 | 从业年限 | 擅长领域 | 学术背景与技术特色 |
|---|---|---|---|---|
| 李明远 | 主任医师/教授 | 20年+ | 成人复杂骨性错颌矫正、颞下颌关节病(TMJ)正畸治疗、隐形矫正精细化设计 | 中华口腔医学会正畸专委会委员,发表SCI论文10余篇,独创“支抗强化技术”解决骨性开颌问题 |
| 陈思琪 | 副主任医师/博士 | 12年 | 儿童早期干预(MRC、罗慕矫正)、青少年及成人隐形矫正、美学矫正 | 美国Invisalign隐适美认证讲师,擅长结合面部美学设计微笑曲线,完成案例超2000例 |
| 王浩然 | 主治医师/硕士 | 8年 | 自锁托槽快速矫正、种植支抗技术应用、牙周病患者的正畸联合治疗 | 瑞士Damon、美国3M自锁托槽认证专家,注重治疗效率与舒适度平衡,复诊间隔优化至6-8周 |
| 张雨薇 | 主治医师/博士 | 6年 | 儿童牙列期早期干预、多学科联合矫正(正畸-修复-种植)、唇腭裂术后正畸 | 参与国家自然科学基金项目,擅长通过生长改良治疗降低成人正畸手术率,临床经验丰富 |
技术特色:数字化与个性化并重
光华口腔正畸科室始终将“精准”与“舒适”作为核心追求,近年来大力投入数字化设备建设,引入了全套3D数字化正畸系统,包括口内扫描仪(如iTero、3Shape)、CBCT(锥形束CT)、计算机辅助设计(CAD/CAM)等,实现了从数据采集、方案设计到矫治器制作的全流程数字化。
在技术选择上,光华口腔覆盖了目前主流的正畸方式,包括传统金属托槽、陶瓷半隐形托槽、自锁托槽(Damon、SmartClip等),以及隐形矫正(隐适美、时代天使等),并根据患者牙齿情况、年龄、美观需求及经济预算,提供“一人一策”的个性化方案,对于成人患者,若对美观要求高,可选择陶瓷托槽或隐形矫正,结合数字化模拟效果,让患者在治疗前即可预见矫正后的面型与微笑变化;对于儿童早期干预病例,则通过MRC肌功能训练器、罗慕矫正等方式,利用生长发育潜力引导颌骨正常发育,避免未来复杂的正畸手术。
光华口腔在复杂病例处理上具备显著优势,如骨性龅牙、地包天(反颌)、偏颌、牙齿严重拥挤等情况,团队擅长通过正畸-正颌联合治疗、种植支抗技术、微种植体支钉等方式,实现牙齿与颌骨的协同改善,不仅排齐牙齿,更注重咬合功能与面部美观的统一。

服务体验:全程关怀与细节把控
光华口腔正畸科室注重患者的全程体验,从初诊咨询到治疗后维护,建立了完善的服务流程,初诊时,医生会通过详细的口腔检查(包括口内检查、模型分析、X光片拍摄等)全面评估患者的牙齿、颌骨、关节及面部软组织情况,与患者充分沟通治疗目标与预期效果,再结合数字化模拟结果制定个性化方案,治疗过程中,医生会定期跟踪牙齿移动情况,根据动态调整矫治力,确保治疗效果与计划一致;护理人员会提供专业的口腔卫生指导,帮助患者佩戴矫治器期间保持口腔清洁,避免龋齿和牙龈炎。
矫正结束后,光华口腔还提供长期的保持器佩戴指导和定期复查服务,通过建立患者档案,持续跟踪牙齿稳定性,有效防止复发,对于有特殊需求的患者,如演员、主播等对形象要求较高的群体,团队还会提供“隐形保持器”“美观保持器”等定制化服务,兼顾功能与美观。
患者口碑:真实案例见证效果
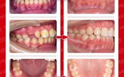
多年来,光华口腔正畸医生团队凭借精湛的技术和贴心的服务,积累了良好的患者口碑,一位接受过成人隐形矫正的患者分享:“我因为牙齿拥挤和龅牙问题一直不自信,对比了多家机构后选择了光华口腔的陈思琪医生,陈医生不仅方案设计详细,还耐心解答了我的各种顾虑,矫正过程中几乎无不适感,现在牙齿排齐了,侧脸线条也柔和了很多,朋友都说我变化很大!”还有一位儿童患者的家长表示:“孩子有地包天问题,在光华口腔做了早期干预,王浩然医生通过很简单的矫治器就引导了下颌骨正常生长,避免了以后手术,非常感谢!”
相关问答FAQs
Q1:如何选择适合自己的光华口腔正畸医生?
A:选择正畸医生时,可从以下几个方面综合考量:一是看医生的擅长领域是否符合自己的需求(如儿童矫正、成人隐形矫正、复杂骨性病例等);二是了解医生的从业年限和案例数量,经验丰富的医生对治疗过程中的风险把控更到位;三是初诊时与医生的沟通体验,好的医生会耐心倾听诉求,用通俗的语言解释方案,让患者充分理解治疗过程,建议患者可先通过光华口腔官网或公众号了解医生背景,再预约1-2位医生面诊,对比方案后选择最适合自己的医生。

Q2:正畸治疗过程中饮食和口腔护理需要注意什么?
A:正畸期间的饮食和口腔护理直接影响治疗效果和口腔健康:
- 饮食禁忌:佩戴固定托槽时,应避免过硬(如坚果、骨头)、过黏(如口香糖、年糕)的食物,以防托槽脱落;避免用前牙啃咬食物(如苹果、玉米),可切成小块后用后牙咀嚼,隐形矫正者需注意佩戴期间避免饮用含色素饮料(如咖啡、可乐),以防牙面染色,且进食前需取下矫治器。
- 口腔护理:固定托槽矫正者需使用正畸专用牙刷(如小头牙刷)、牙间刷、冲牙器等,每天至少刷牙3次,每次3分钟,重点清洁托槽周围;可配合使用牙线牵引器,清洁牙缝,隐形矫正者需每天清洁矫治器,用专用清洁片浸泡,避免用热水冲洗以防变形,每3-6个月进行一次专业洗牙,彻底清除牙结石和菌斑,预防牙龈炎。
