北京永康口腔作为一家在口腔医疗领域深耕多年的专业机构,其种植牙技术凭借严谨的诊疗流程、先进的设备支持及经验丰富的专家团队,已成为众多缺牙患者修复口腔功能与美观的重要选择,种植牙作为目前公认的牙齿缺失修复理想方式,不仅能恢复咀嚼功能,更能避免邻牙倾斜、牙槽骨萎缩等问题,而北京永康口腔在种植牙领域的专业实践,为患者提供了从术前评估到术后维护的全周期保障。
种植牙技术优势:精准微创,安全高效
北京永康口腔在种植牙技术上始终紧跟国际前沿,结合数字化诊疗设备,实现了“精准、微创、快速、舒适”的种植体验,其核心技术优势主要体现在三个方面:一是数字化导板种植,通过CBCT三维影像扫描和口内数字化取模,在计算机中模拟种植体植入位置、角度及深度,3D打印的手术导板能将误差控制在0.1毫米以内,避免损伤神经血管;二是即刻种植技术,针对符合条件的患者(如牙槽骨条件良好、无严重炎症),可实现即拔即种,缩短缺牙等待期;微创种植则采用微小切口,减少术中出血和术后肿胀,恢复周期较传统种植缩短30%以上。

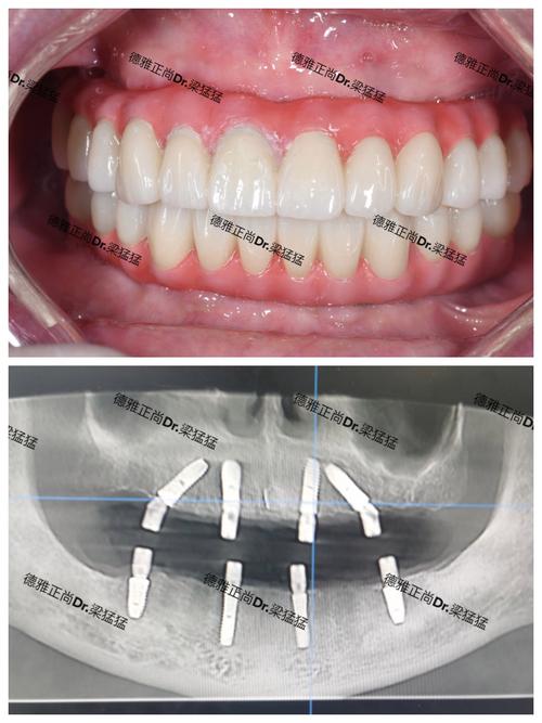
北京永康口腔注重个性化方案设计,会根据患者的牙槽骨密度、咬合习惯、面部美学需求等,制定“一人一策”的种植方案,对于牙槽骨萎缩的患者,可采用骨增量技术(如植骨、上颌窦提升)重建骨条件;对于全口缺牙患者,All-on-4/6即刻负重技术可实现当天种牙、当天戴牙,快速恢复咀嚼功能。
种植体品牌选择:国际主流,品质保障
种植体作为种植牙的核心部件,其品牌、材质直接影响种植牙的成功率和使用寿命,北京永康口腔引进了国际主流种植体系统,涵盖高端、中端及经济型多个层级,满足不同患者的需求,以下是常见种植体品牌的对比:
| 品牌 | 产地 | 特点 | 价格范围(元/颗) |
|---|---|---|---|
| 瑞士ITI | 瑞士 | 生物相容性极佳,亲水表面技术缩短愈合期 | 12000-18000 |
| 瑞典Nobel | 瑞典 | 钛金属材质,临床应用50年以上,成功率超98% | 15000-25000 |
| 德国Ankylos | 德国 | 锥形设计,初期稳定性好,适合即刻种植 | 10000-16000 |
| 国产威高 | 中国 | 性价比高,适合牙槽骨条件较好的患者 | 6000-9000 |
瑞士ITI和瑞典Nobel作为高端种植体品牌,以其长期的临床数据和优异的稳定性,成为对种植牙寿命要求高的患者的首选;而国产种植体则在价格上更具优势,且近年来技术不断提升,品质逐步获得认可,北京永康口腔的医生会根据患者的口腔条件、预算及使用需求,推荐最适合的种植体品牌,确保种植牙的长期效果。
种植牙流程:规范严谨,全程无忧
北京永康口腔的种植牙流程严格遵循国际标准,分为术前检查、方案设计、手术植入、戴牙冠及术后维护五个阶段,每个环节都由专业团队把控,确保诊疗安全。

术前检查:通过口腔全景片、CBCT、血液检查等,评估患者牙槽骨骨量、密度及全身健康状况,排除种植禁忌症(如未控制的糖尿病、严重心脏病等)。
方案设计:结合检查数据,利用数字化软件模拟种植过程,确定种植体数量、位置及牙冠形态,与患者沟通后确定最终方案。
手术植入:在局部麻醉下,通过微创切口将种植体植入牙槽骨,整个过程约30分钟-1小时,患者术中无明显疼痛。
戴牙冠:种植体植入后3-6个月(骨愈合期),通过基台连接牙冠,牙冠材质包括全瓷、烤瓷等,其中全瓷牙冠色泽、通透度接近天然牙,美观度更佳。
术后维护:医生会详细指导患者口腔清洁方法,并建议定期复查(术后1个月、6个月、1年,之后每年1次),及时发现并处理潜在问题。
种植牙价格:透明收费,性价比高
种植牙费用是患者普遍关注的问题,北京永康口腔坚持透明收费原则,费用主要包括种植体、牙冠、手术费、检查费等,无隐形消费,具体费用因种植体品牌、牙冠材质、是否需要植骨等因素而异:
- 单颗种植牙:6000-25000元(国产种植体+全瓷牙冠约6000-9000元,进口高端种植体+全瓷牙冠约12000-25000元);
- 半口种植:All-on-4技术约8万-15万元,All-on-6技术约12万-20万元;
- 全口种植:约15万-30万元。
若患者牙槽骨条件不足,需进行植骨或上颌窦提升,会产生额外费用(植骨约3000-8000元/部位,上颌窦提升约5000-10000元/侧),北京永康口腔会提前告知患者所有费用明细,避免后期纠纷。
服务特色:专家团队,终身质保
北京永康口腔的种植牙团队由拥有10年以上临床经验的种植医生组成,其中部分医生曾赴德国、瑞士等国家进修,掌握国际先进的种植技术,医院还建立了完善的术后质保体系,提供种植体终身质保、牙冠5年质保服务,让患者无后顾之忧,医院注重患者就诊体验,从预约咨询到术后回访,均有专人跟进,提供一对一的贴心服务。

相关问答FAQs
Q1:种植牙手术疼吗?术后恢复需要多久?
A:种植牙手术在局部麻醉下进行,术中患者基本无疼痛感,术后可能会有轻微肿胀或不适,一般3-5天缓解,可通过冰敷和止痛药缓解,骨愈合期通常为3-6个月,期间可正常饮食,避免用种植牙咀嚼过硬食物。
Q2:种植牙能用多久?会影响邻牙吗?
A:种植牙的使用寿命与患者口腔维护、种植体质量、医生技术等因素相关,维护良好的情况下,种植牙可使用20年以上,甚至终身,与传统活动假牙不同,种植牙独立植入牙槽骨,不损伤邻牙,反而能通过咀嚼刺激牙槽骨,防止萎缩,保护邻牙健康。
