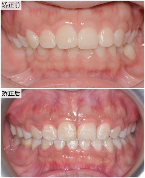
20岁进行牙齿正畸(戴牙套)完全不晚! 这是一个非常常见的年龄,而且很多人在这个年龄段甚至更晚才开始正畸。
以下是详细的分析和原因:

🧠 1. 正畸的核心原理与年龄关系
- 牙齿移动是终身的: 无论年龄多大,牙齿周围的牙周组织(牙槽骨、牙龈、牙周膜)都具有改建能力,在正畸力的作用下,牙齿可以在牙槽骨中移动,这是正畸治疗的基础。这个能力在成年后依然存在。
- 骨骼生长停止 ≠ 无法移动牙齿: 青少年时期,颌骨还在发育,正畸可以利用生长潜力进行一些颌骨的调整(如推磨牙向后、改善前突等),成年后,颌骨停止生长,无法利用生长潜力进行骨骼调整,但牙齿本身的移动完全没有问题,对于单纯的牙齿排列问题(拥挤、稀疏、扭转、咬合深覆合/深覆盖等),成年人和青少年一样可以成功矫正。
✅ 2. 20岁正畸的优势
- 配合度高: 成年人通常更清楚自己的需求,能更好地理解治疗计划,更严格地遵守医嘱(如保持口腔卫生、按时复诊、避免过硬食物),这有助于提高治疗效果和效率。
- 动机明确: 20岁的人往往对美观和功能有更强烈的需求(如找工作、社交、自信),这能提供强大的动力去坚持治疗。
- 经济相对独立: 虽然正畸费用不菲,但20岁的人通常开始有经济能力或能更好地规划预算,或者家人支持。
- 选择更多元: 现代正畸技术非常发达,有更多选择:
- 隐形矫正: 如隐适美、时代天使等,美观舒适,方便清洁,适合对美观要求高的人。
- 舌侧矫正: 托槽粘在牙齿内侧,完全隐形,技术要求高,费用也高。
- 陶瓷托槽: 半透明或白色,比传统金属托槽更美观。
- 传统金属托槽: 技术成熟,性价比高,效果可靠。
- 时间安排自主: 可以更灵活地安排复诊时间,不影响工作或学习(相对于青少年需要请假或家长安排)。
⚠ 3. 成年人正畸需要考虑的特殊因素
虽然20岁不算晚,但相比青少年,正畸医生在制定方案时需要考虑一些额外因素:
- 牙周健康状况: 这是最重要的! 成年人可能存在牙龈炎、牙周炎、牙槽骨吸收等问题。必须在正畸前进行完善的牙周治疗并控制稳定,否则正畸可能加重牙周问题,正畸过程中需要更频繁的牙周维护。
- 口腔健康状况: 需要治疗龋齿(蛀牙)、根管治疗、拔除无法保留的牙齿(如智齿、严重松动的牙齿)等,口腔健康是正畸成功的基础。
- 颞下颌关节问题: 如果存在关节弹响、疼痛、张口受限等问题,需要先评估,正畸方案可能需要调整。
- 修复需求: 如果有缺失牙,可能需要在正畸后进行种植牙、固定桥或活动义齿修复,正畸有时可以为修复创造更好的条件(如开辟空间、调整位置)。
- 骨骼问题: 对于严重的颌骨发育不调(如上颌前突、下颌后缩、面部不对称),单纯的正畸可能效果有限,可能需要结合正颌手术,20岁骨骼已定型,手术是主要手段。
- 口腔习惯: 如长期咬唇、吐舌、口呼吸等不良习惯,需要在正畸前或同时进行纠正,否则容易复发。
- 软组织因素: 唇部、颊部肌肉的力量和位置也会影响牙齿排列和稳定,有时需要肌功能训练。
- 复发风险: 成年人新陈代谢慢,牙齿移动后更倾向于回到原位(复发)。终身佩戴保持器对于维持矫正效果至关重要,比青少年更需要强调这一点。
- 治疗时间可能稍长: 由于牙周组织改建速度相对较慢,以及可能需要更复杂的治疗计划,整体治疗时间有时会比单纯的青少年病例稍长一些。
📌 总结与建议
- 20岁正畸完全不晚! 这是正畸的黄金年龄段之一,甚至更晚开始也很常见。
- 核心在于牙周健康: 在开始正畸前,务必进行全面的口腔检查和牙周评估,确保牙周健康稳定。
- 寻求专业评估: 一定要找专业的正畸医生进行面诊和评估。 医生会根据你的具体牙齿情况、颌骨关系、牙周健康、面部美观、个人需求和期望,制定最适合你的个性化治疗方案,并告知你可能的挑战和风险。
- 充分沟通: 与医生详细讨论你的目标、顾虑、治疗时间、费用、不同矫治器的优缺点等。
- 保持耐心和依从性: 正畸是“持久战”,需要耐心和良好的配合(口腔卫生、复诊、避免损坏矫治器)。
- 重视保持器: 治疗结束后,严格按要求佩戴保持器,这是防止复发的关键。
如果你20岁时对牙齿排列不满意,想要改善美观和咬合功能,现在就是开始正畸的最好时机之一! 不要因为年龄而犹豫,勇敢迈出第一步,去咨询专业的正畸医生,开启你的自信笑容之旅吧!💪✨

