预成冠(Prefabricated Crown)是一种预先在工厂制作好的、标准尺寸的牙冠修复体,主要用于修复乳牙或恒牙的龋坏、牙体缺损或恢复外形功能,其制备方法的核心在于椅旁操作,省去了传统全冠所需的技工室制作步骤,以下是预成冠(以最常用的不锈钢预成冠为例)的详细制备方法:
核心原则
- 选择合适大小: 预成冠有标准尺寸(如乳牙常用A、B、C、D、E等型号,恒牙也有相应型号),选择与患牙牙冠大小最匹配的型号是成功的关键。
- 最小预备: 只需去除龋坏组织,进行必要的牙体外形修整,使其能容纳预成冠并确保固位。
- 边缘密合: 调整预成冠边缘,使其与牙体颈部紧密贴合,防止微渗漏和继发龋。
- 良好固位: 通过牙体预备形态(如聚合度、固位沟)和粘接剂确保预成冠稳固不脱落。
- 咬合调整: 确保修复后咬合关系正常,无早接触或干扰。
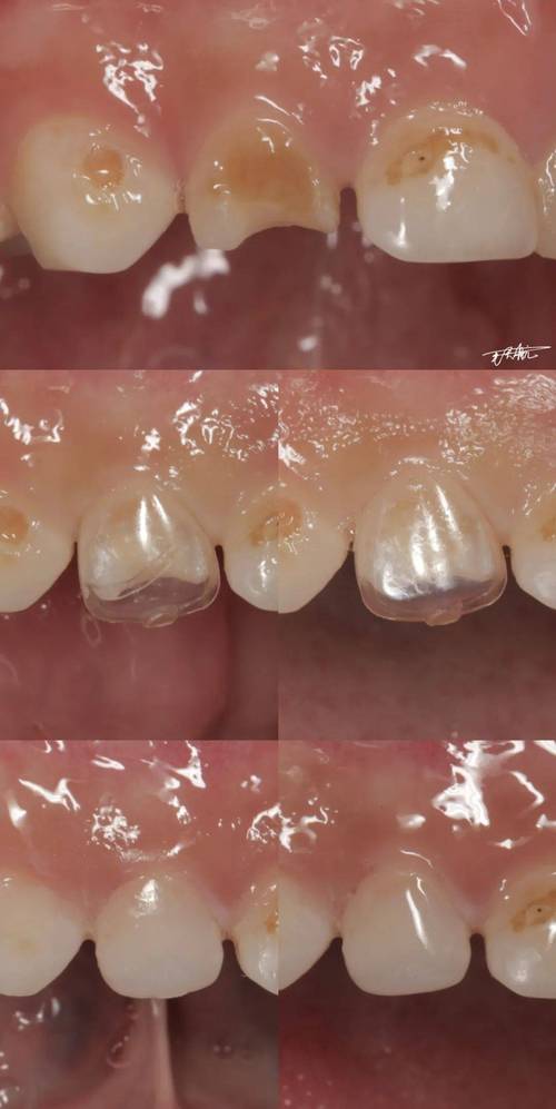
详细制备步骤(以不锈钢预成冠为例)
术前评估与沟通
- 检查患牙:评估龋坏程度、牙髓状态(是否需要根管治疗)、牙周情况、对颌牙关系、咬合情况。
- 确定适应症:预成冠主要用于乳牙大面积龋坏、牙体缺损、充填物反复脱落、修复后牙冠严重缺损等;恒牙主要用于后牙(如第一恒磨牙)的修复或作为临时冠。
- 沟通:向患者/家属解释预成冠的优缺点(如美观性相对较差,但固位好、耐用、操作快)、治疗过程和费用。
局部麻醉
- 对于深龋、活髓牙或操作敏感区域,进行局部浸润麻醉或传导麻醉,确保患者无痛舒适。
隔湿与隔离
- 使用橡皮障或棉卷、吸唾器进行有效隔湿,防止唾液和血液污染操作区,影响粘接效果。
- 使用排龈线(如果需要)推开牙龈,暴露牙体颈部边缘。
去除龋坏组织
- 使用高速涡轮机(球钻、裂钻)或低速手机(挖匙)彻底去除所有龋坏组织,直至牙本质硬组织。
- 检查牙髓活力,如有穿髓或不可复性牙髓炎,需先进行根管治疗。
牙体预备(核心步骤)
- 目的: 为预成冠提供足够空间,确保其能完全覆盖牙体,并形成一定的固位形态。
- 预备要点:
- 高度: 通常需要磨除牙体组织1.5-2.0mm,确保预成冠能完全覆盖牙冠外形高点,并有一定厚度(尤其咬合面)。
- 聚合度: 预备后的牙体轴壁应有一定聚合度(通常2-6度),类似于传统全冠的聚合度,有利于预成冠的就位和固位,避免过度内聚或外展。
- 边缘形态:
- 颈部边缘: 通常预备成8-1.0mm宽的凹斜面或直角肩台(在牙釉质内),凹斜面更有利于边缘密合,边缘应清晰、连续、位于健康牙体组织上(釉质最佳)。
- 轴壁: 平整光滑,无倒凹(除非需要增加固位而刻意制作固位沟)。
- 咬合面/舌面: 磨除足够厚度(至少1.5mm),为预成冠的金属厚度留出空间,恢复基本的生理外形轮廓,但不必过于精细(预成冠会覆盖)。
- 邻面: 去除邻面龋坏,恢复邻接关系(预成冠会覆盖邻面),注意不要过度磨除邻牙。
- 固位形(可选): 对于固位力不足的牙体(如短冠、锥形牙),可在轴壁上制作1-2条浅的固位沟(深度0.5mm,宽度0.5mm,长度不超过1/3牙冠高度),增加机械固位。
- 精修: 用低速手机和细金刚砂车针(如火焰状、锥形)精修预备体边缘和线角,使其圆滑连续,无尖锐边缘,彻底冲洗,去除所有碎屑。
选择预成冠
- 根据预备后牙冠的大小,选择最接近的预成冠型号。
- 将预成冠在模型(或口内)上试戴,检查:
- 大小匹配度: 冠应能完全覆盖预备体,边缘位于预备好的肩台上,无明显悬突或缝隙过大。
- 就位道: 冠应能顺利、无阻力地就位到预备体上。
- 初步咬合: 检查与对颌牙的咬合关系,避免过高。
试戴与调整(关键步骤)
- 将选好的预成冠在预备体上试戴。
- 边缘调整:
- 使用长柄锥形石或专用的预成冠边缘修整车针,在低速手机上精细修整预成冠的边缘。
- 目标: 使预成冠的边缘精确密合在预备好的牙体肩台上,修整时少量多次,不断试戴,避免过度磨除。
- 检查边缘是否有悬突(压迫牙龈)或缝隙(易藏食物、导致继发龋),用探针或牙周探针检查边缘密合度。
- 咬合调整:
- 使用咬合纸(蓝纸、红纸)检查咬合接触点。
- 使用长柄圆头石或专用的咬合调整车针,在低速手机上少量、精确地磨除预成冠咬合面的高点。
- 目标: 建立稳定、均匀的咬合接触,避免早接触和干扰,特别注意工作尖(功能尖)的咬合平衡。
- 调整后再次用咬合纸确认,并让患者做正中咬合、前伸咬合、侧方咬合检查。
- 轴面外形调整: 必要时,用车针轻轻修整预成冠的轴面外形,使其更符合生理形态,但注意不要过度改变冠的尺寸。
- 抛光: 调整完成后,用抛光轮(如橡皮轮、抛光膏)将预成冠的咬合面和轴面抛光,使其表面光滑,减少菌斑附着。
粘接
- 隔湿: 再次严格隔湿,使用棉卷、吸唾器、橡皮障。
- 酸蚀(可选,推荐用于恒牙或要求高的乳牙):
- 对牙釉质边缘(非全酸蚀)或牙本质(全酸蚀)进行酸蚀(如35%磷酸,恒牙15-30秒,乳牙10-15秒),注意保护牙龈。
- 彻底冲洗,轻吹干至牙面呈白垩色(釉质)或湿润光泽(牙本质)。
- 涂布粘接剂:
- 根据粘接剂类型(自酸蚀、全酸蚀)按厂家说明操作。
- 均匀涂布一层粘接剂,轻吹薄层(避免过厚),光照固化。
- 预成冠处理(部分粘接剂要求): 如果粘接系统要求,可在预成冠内壁涂布一层粘接剂(如自粘接树脂水门汀)或硅烷偶联剂(用于增强树脂与金属的粘接),光照固化。
- 混合/准备粘接剂: 按厂家说明调拌玻璃离子水门汀或树脂水门汀。
- 放置粘接剂: 将粘接剂均匀、适量地涂布在预成冠的内壁。
- 就位: 将预成冠准确、平稳地戴入预备体上,施加轻微压力,确保完全就位,去除多余粘接剂。
- 固化:
- 玻璃离子水门汀: 待其自行固化(通常3-5分钟)。
- 树脂水门汀: 通过预成冠的预留孔或透明窗口进行光照固化,光照时间按厂家说明(通常20-40秒/面,多面照射),确保固化完全。
- 去除多余粘接剂: 使用探针、洁治器或低速手机小心去除冠边缘及龈沟内多余的粘接剂,避免刺激牙龈。
术后检查与修整
- 检查咬合:再次确认咬合舒适无干扰。
- 检查边缘:确认边缘密合,无悬突,牙龈无刺激。
- 检查外形:检查邻接关系是否良好,有无食物嵌塞。
- 封闭预成冠孔(如适用): 如果预成冠有用于固化的孔洞,在咬合调整和粘接完成后,用流动树脂或玻璃离子水门汀封闭该孔洞,恢复咬合面完整性和美观性。
- 指导患者:告知术后注意事项(避免咬硬物、保持口腔卫生、定期复诊)。
其他类型预成冠的特殊注意事项
- 树脂预成冠:
- 通常用于前乳牙或前恒牙,美观性较好。
- 制备方法类似不锈钢冠,但牙体预备可能更精细(因树脂较薄)。
- 粘接通常使用树脂水门汀,酸蚀和粘接步骤更为关键(树脂与牙本质的粘接)。
- 调整时注意树脂材料的特性(易产热,避免产热过多损伤牙髓)。
- 全瓷预成冠:
- 主要用于前牙美观修复(如乳前牙、恒前牙)。
- 牙体预备要求更高,通常需要更厚的肩台(1.0-1.5mm)和聚合度(6度左右),为瓷层提供足够空间。
- 边缘调整需更精细,避免崩瓷。
- 粘接使用树脂水门汀,酸蚀和粘接(包括瓷表面处理)是关键步骤。
预成冠的制备方法是一个高度依赖临床医生椅旁操作技能的过程,其核心在于精确的牙体预备、仔细的冠边缘调整、精细的咬合打磨以及可靠的粘接技术,选择合适型号的预成冠并确保其与预备体高度匹配是成功的基础,虽然省去了技工室步骤,但每一步的精细操作都直接影响修复体的长期效果(固位、密合度、咬合、牙龈健康),良好的隔湿和严格的粘接操作是防止微渗漏和继发龋的关键。


