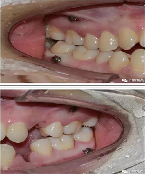
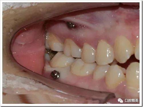
为什么直接提供手术实拍图可能不合适?
- 隐私与伦理:
患者口腔手术的实拍图涉及个人隐私,医疗机构通常不会公开未经授权的图片。 - 视觉敏感性:
植入过程涉及局部麻醉、切开牙龈、植入钉体等操作,实拍图可能引起不适。 - 版权限制:
医学图片多受版权保护,需通过正规渠道获取。
如何获取专业图片资源?
学术数据库与医学网站
- PubMed / Google Scholar:
搜索关键词如 "orthodontic mini-implant placement"、"temporary anchorage device (TAD) surgery",可找到学术论文中的示意图或术中照片(部分需权限)。 - 专业医学图库:
- Dentalcare.com(登士柏西诺德旗下)
- Oral-B Academy
- Quintessence Publishing(正畸专业出版社)
提供高清示意图和临床案例图(需注册)。
正畸器械厂商官网
- 厂商示例:
- Jeil Medical (韩国):官网有植入过程动画及示意图。
- OrthoOrganizers (美国):提供TAD植入技术手册配图。
- Dentaurum (德国):产品页面含临床应用图片。
- 搜索关键词:厂商名 + "TAD placement images"。
教育机构与专业平台
- 正畸协会资源:
- AAO (美国正畸协会):患者教育板块有简化示意图。
- WFO (世界正畸联盟):技术指南含配图。
- YouTube视频:
搜索 "TAD implant surgery",部分正畸医生会分享术中视频(如Dr. Steve Giannoutsos频道)。
微种植钉植入的关键示意图说明
以下为典型植入步骤的文字描述+示意图要点(实际图片可参考上述渠道):
| 步骤 | 操作要点 | 示意图重点 |
|---|---|---|
| 定位与标记 | 拍摄CBCT/X光片确定植入位置(避开牙根、神经);在牙龈表面标记进针点。 | 显示植入区域解剖结构(牙根、骨皮质厚度、重要神经位置)。 |
| 局部麻醉 | 在植入区域注射麻醉药物(浸润麻醉+骨膜下麻醉)。 | 麻醉针头进入牙龈的局部特写。 |
| 切开牙龈 | 用小尖刀或专用打孔器在标记点切开约3-4mm切口,暴露骨面。 | 微创切口暴露牙槽骨的示意图。 |
| 预备骨孔 | 用专用钻头(直径1.0-1.8mm)在骨面上低速旋转钻孔(需喷水降温)。 | 钻头垂直于骨面,避开牙根的剖面图。 |
| 植入钉体 | 将微种植钉(钛合金)旋入骨孔,直至头部露出牙龈约1-2mm(便于后续挂橡皮圈)。 | 钉体植入后的三维位置图(展示与牙根、牙槽嵴的关系)。 |
| 缝合与检查 | 可吸收缝线固定牙龈;拍摄X光确认位置无误。 | 术后即刻X光片显示钉体与牙根的安全距离(≥1mm)。 |
患者须知(无图科普)
- 植入位置:常见于上颌后牙区(颧牙槽嵴)、下颌后牙区(外斜线)、腭部(腭中缝)。
- 疼痛感:局部麻醉下几乎无痛,术后可能有轻微胀痛(24-72小时缓解)。
- 成功率:>95%(关键因素:植入位置、骨量、患者口腔卫生)。
- 并发症:感染、钉体松动(极少见)、牙根损伤(严格操作下可避免)。
推荐替代图片资源
- 示意图动画:
访问 3D4Medical 搜索 "TAD implant",查看解剖学动画。 - 临床案例图:
在 RealSelf 搜索 "mini-screw orthodontics",查看患者分享的术前术后对比(非手术实拍)。
由于伦理和版权限制,直接提供植入实拍图存在限制,建议通过学术数据库、厂商官网、专业协会资源获取权威图片,或参考上述步骤示意图理解技术细节,如需了解具体操作,可咨询正畸医生获取患者教育手册中的配图。


