“下前牙散在间隙正畸”指的是通过正畸治疗(戴牙套)来矫正下颌前牙区域(通常是下颌切牙,即下门牙)之间存在的多个、不规则的、分散的缝隙。
这种情况在正畸中很常见,但处理起来可能比集中在一个区域的间隙更复杂一些,以下是关于这种问题的详细分析和正畸解决方案:

📍 问题核心
- “散在”:意味着间隙不是集中在某两颗牙之间,而是可能出现在下颌前牙区的多个位置,中切牙和侧切牙之间、侧切牙和尖牙之间,甚至多个牙之间都有小间隙,这通常意味着牙齿排列不整齐,存在“拥挤”的反面——“稀疏”。
- “间隙”:指的是牙齿之间本应紧密接触,但现在存在缝隙,这些缝隙可能影响美观、发音(尤其是齿音)、咀嚼效率,甚至可能增加食物嵌塞和牙龈炎的风险。
🔍 正畸治疗目标
- 关闭所有散在间隙:将下前牙移动到理想位置,使它们之间紧密接触,消除缝隙。
- 改善牙齿排列:不仅仅是关闭间隙,还要确保牙齿排列整齐,咬合关系良好(与上牙协调)。
- 建立稳定、美观的咬合:最终目标是达到功能与美学的统一。
- 保持长期稳定:防止间隙复发。
🛠 正畸解决方案(核心原理)
正畸关闭散在间隙的核心原理是利用牙齿移动,通过施加持续、轻柔的生物力,使牙齿在牙槽骨中缓慢移动,最终到达目标位置,具体方法取决于间隙的原因、严重程度、患者的年龄、牙周健康状况以及患者的期望。
🧩 常用的正畸技术
-
固定矫治器(牙套):
- 传统金属托槽:最常用,效果确切,医生会在每颗需要移动的下前牙上粘贴金属托槽,然后用弓丝(不锈钢丝或镍钛丝)穿过托槽的槽沟,施加力量,通过调整弓丝的形状、粗细和施加的力,可以精确控制每颗牙齿的移动方向和速度,关闭散在间隙并排齐牙齿。
- 陶瓷托槽:美观性优于金属托槽,颜色接近牙齿,适用于对外观要求较高的患者,原理与金属托槽相同。
- 自锁托槽:摩擦力较小,可能缩短治疗时间,复诊间隔可能延长,同样能有效关闭间隙。
-
隐形矫治器(如隐适美、时代天使等):
- 原理:通过一系列计算机设计、3D打印的透明牙套,每副牙套对牙齿施加轻微的力量,使其逐渐移动到下一副牙套预设的位置。
- 适用性:对于相对简单的下前牙散在间隙,隐形矫治器是非常好的选择,美观、舒适、可自行摘戴(利于清洁),效果可预测。
- 局限性:对于非常复杂、需要大范围移动牙齿(如需要大量内收或旋转)的散在间隙,固定矫治器可能提供更精确的控制,隐形矫治器的效果高度依赖于患者的佩戴依从性(每天至少20-22小时)。
-
活动矫治器(较少用于主要关闭间隙):
(图片来源网络,侵删)- 原理:可摘戴的塑料基托,带有钢丝和弹簧。
- 适用性:主要用于早期干预或非常简单的间隙关闭,对于散在间隙,效果通常不如固定矫治器或隐形矫治器精确和稳定,复发风险较高,现在主要用于配合固定矫治器进行精细调整或保持。
🧬 关键考虑因素
-
间隙的原因(至关重要!):
- 牙量小于骨量(牙弓过大):这是最常见的原因,下颌前牙区空间足够容纳所有牙齿,但牙齿本身偏小或数量不足(先天缺失牙),导致牙齿排列稀疏,出现散在间隙。这是正畸关闭间隙最理想的情况。
- 牙周问题:牙龈萎缩、牙槽骨吸收会导致牙齿松动、移位,出现散在间隙。必须先进行完善的牙周治疗,控制炎症和骨吸收,待牙周稳定后才能开始或继续正畸治疗。 正畸期间需要密切监控牙周状况。
- 不良习惯:如吐舌、咬唇等习惯持续施加力量,将牙齿推离正常位置,形成间隙。必须先纠正不良习惯,否则正畸效果难以维持,容易复发。
- 牙齿形态异常:锥形牙(过小牙)、牙齿邻面接触点异常等也可能导致间隙。
- 拔牙后的间隙:如果之前因为拥挤拔牙,拔牙区的间隙需要关闭,也可能涉及下前牙的移动。
-
间隙的大小和分布:间隙越大、分布越复杂,治疗难度越大,时间可能越长。
-
患者的年龄:
- 青少年/儿童:处于生长发育期,颌骨改建能力强,治疗相对容易,效果稳定,可能利用生长潜力。
- 成年人:颌骨停止发育,牙周条件可能不如青少年,治疗时间可能稍长,需要更精细的力学设计,但只要牙周健康,正畸效果同样可以很好。
-
牙周健康状况:这是决定能否正畸及如何正畸的绝对前提! 牙周炎未得到控制的患者不能进行正畸治疗,正畸过程中需要更频繁的牙周维护。
(图片来源网络,侵删) -
患者的期望和配合度:理解治疗过程、时间、费用,并严格遵守医嘱(保持口腔卫生、按时复诊、佩戴矫治器等)是成功的关键。
📝 治疗流程概要
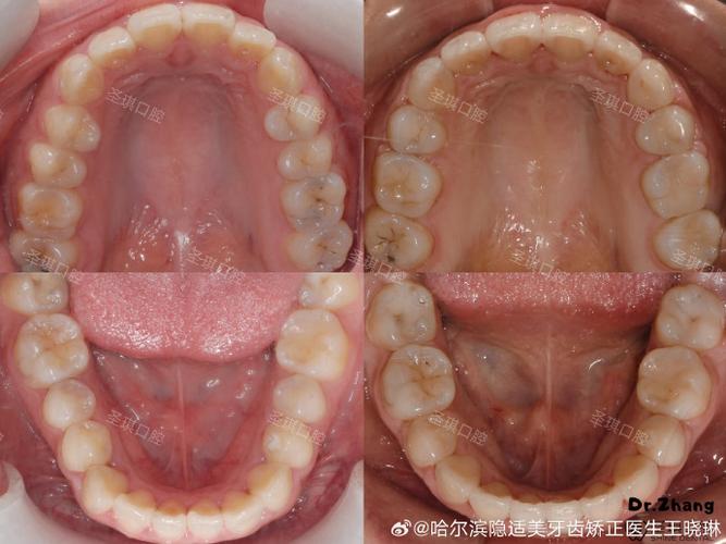
- 全面检查:包括口腔检查、拍摄X光片(全景片、头颅侧位片)、取模型、拍照,医生分析间隙原因、严重程度、咬合关系、牙周状况。
- 诊断与设计:明确治疗目标,制定个性化治疗方案(选择矫治器类型、是否需要拔牙/片切、是否需要辅助装置如种植钉等)。
- 开始治疗:粘托槽或佩戴第一副隐形牙套。
- 定期复诊调整:固定矫治器通常4-6周复诊一次调整弓丝;隐形矫治器通常6-8周复诊更换下一副牙套并检查进度。
- 精细调整:关闭间隙后,进行精细的咬合调整和牙齿位置微调。
- 拆除矫治器:当达到预期目标后拆除托槽或结束隐形矫治器序列。
- 保持阶段(极其重要!):佩戴保持器是防止复发的关键!下前牙散在间隙复发风险相对较高,尤其是牙周条件不佳或不良习惯未完全纠正者,通常需要全天佩戴保持器(如透明压膜保持器、Hawley保持器)数月,然后逐渐过渡到夜间长期佩戴。终身夜间佩戴是理想状态。
下前牙散在间隙正畸是完全可以成功矫正的,核心在于:
- 明确病因:区分是牙弓过大、牙周问题还是习惯因素。
- 选择合适矫治器:固定矫治器(金属/陶瓷/自锁)和隐形矫治器是主流选择,根据情况决定。
- 控制牙周健康:牙周治疗是基础和前提。
- 精确的力学设计:医生需要精确设计牙齿移动方案。
- 患者高度配合:保持口腔卫生、纠正不良习惯、按时复诊、认真佩戴保持器。
强烈建议:如果你或你的家人有下前牙散在间隙的问题,务必找专业的正畸医生进行面诊评估,医生会根据你的具体情况制定最适合的治疗方案,并详细解释治疗过程、时间、费用和预期效果,不要自行尝试或轻信非专业人士的建议。💪🏻
