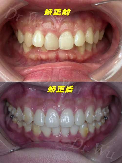
理解您后牙缺失但不想种牙的情况,寻求矫正方案是可行的,但需要明确几点:矫正后牙缺失的核心目标是关闭间隙(将缺牙区两侧的牙齿向中间移动)或维持间隙(为未来其他修复如烤瓷桥、活动义齿做准备),而不是“种植牙齿”。 这与单纯排齐牙齿的正畸目标有显著不同,挑战更大,效果也受多种因素限制。
以下是不种牙的情况下,针对后牙缺失的矫正方案分析、适用情况、优缺点及重要考虑因素:

🦷 核心矫正策略
-
关闭间隙:
- 原理: 利用矫治器(如托槽、隐形牙套)施加力量,将缺牙区两侧的牙齿(前牙或前磨牙)向缺牙区方向移动,最终使两侧牙齿接触,消除缺牙间隙。
- 适用情况:
- 单颗后牙缺失(尤其是磨牙)。
- 缺牙区两侧牙齿位置尚可,有足够空间移动。
- 患者愿意接受前牙或前磨牙向缺牙区移动(这会改变咬合关系和面型)。
- 对颌牙(上颌或下颌)没有明显伸长(伸长的对颌牙会阻碍关闭间隙)。
- 方法:
- 传统固定矫治器: 使用弓丝、橡皮筋、种植体支抗(如果允许)等精确控制牙齿移动。
- 隐形矫治器: 对于简单的单颗磨牙缺失,隐形牙套可能设计关闭间隙的方案,但复杂情况效果有限。
- 优点:
- 消除缺牙间隙,恢复部分连续性。
- 避免活动义齿的异物感和不适。
- 如果关闭间隙后咬合关系调整得当,咀嚼功能可能部分恢复。
- 缺点:
- 改变咬合面型和牙齿位置: 前牙或前磨牙会向缺牙区移动,可能导致前牙后移(影响面型美观,可能加重“凸嘴”或改变微笑线)、前牙覆合覆盖改变、后牙段变短(影响后牙咀嚼效率),这是最大的缺点。
- 需要强支抗: 关闭后牙间隙需要很强的支抗来防止前牙过度前移或后牙前移,可能需要:
- 口外弓: 患者需配合佩戴,舒适度差。
- 种植体支抗: 虽然是“种牙”,但这是微型种植钉(骨钉),用于提供支抗,不是修复缺失牙本身,如果患者绝对拒绝任何形式的“种牙”,则此方法不可用。
- 颌间牵引: 利用上下颌牙齿相互牵引,效果有限。
- 时间长: 关闭后牙间隙通常需要较长时间(1-2年或更长)。
- 效果受限: 对于多颗后牙缺失或缺牙区过长,关闭间隙效果差,可能导致面型改变过大或无法完全关闭。
- 复发风险: 关闭的间隙有复发的可能,需要终身佩戴保持器。
-
维持间隙:
- 原理: 通过矫治器将缺牙区两侧的牙齿移动到理想位置(排齐、整平),并保持缺牙间隙大小不变,为未来其他修复方式(如烤瓷桥、活动义齿)创造条件。
- 适用情况:
- 多颗后牙缺失,缺牙区过长,关闭间隙不现实或会导致严重面型改变。
- 患者未来计划进行烤瓷桥修复(需要两侧基牙位置良好且平行)。
- 患者暂时无法接受活动义齿,但未来可能考虑。
- 对颌牙伸长严重,需要先压低对颌牙才能进行关闭间隙或其他处理。
- 方法:
- 使用矫治器排齐整平缺牙区两侧的牙齿。
- 在矫治器设计时,精确计算并维持缺牙间隙的宽度。
- 可能需要压低伸长的对颌牙(使用摇椅弓、种植体支抗等)。
- 优点:
- 不改变牙齿与缺牙区的相对位置,对咬合面型影响相对较小。
- 为后续修复(烤瓷桥)提供良好基础。
- 避免了关闭间隙带来的前牙或前磨牙移动问题。
- 缺点:
- 并未解决缺牙问题本身: 间隙依然存在,咀嚼功能未恢复。
- 仍需后续修复: 矫正后仍需进行烤瓷桥或活动义齿修复才能恢复功能和美观。
- 可能仍需支抗: 如果涉及压低对颌牙,同样需要支抗(如种植体支抗)。
- 时间: 排齐整平牙齿也需要时间。
-
咬合重建(复杂情况):
- 原理: 对于后牙缺失导致咬合紊乱(如垂直距离降低、前牙深覆合深覆盖、后牙功能丧失等),通过正畸手段移动牙齿(前牙、前磨牙、甚至部分后牙),建立新的、稳定的咬合关系,恢复一定的咀嚼功能和面部垂直高度。
- 适用情况:
- 多颗后牙缺失,导致咬合严重紊乱。
- 伴有颞下颌关节问题。
- 需要恢复面部垂直高度。
- 方法: 复杂的综合性正畸治疗,可能涉及前牙压低、后牙伸长、前后牙移动等多种组合,通常需要多学科合作(正畸、修复)。
- 优点: 可能全面改善咬合功能、面部美观和关节症状。
- 缺点:
- 最复杂、最耗时、费用最高。
- 改变显著: 牙齿移动幅度大,对医生技术和患者配合要求极高。
- 效果不确定性高: 长期效果依赖于咬合设计的稳定性和患者口腔维护。
- 通常仍需后续修复: 咬合重建后,缺牙区仍需用修复体(如活动义齿)填补。
📌 重要考虑因素和风险(不种牙矫正后牙缺失)
-
缺牙位置和数量:
(图片来源网络,侵删)- 单颗磨牙缺失: 关闭间隙相对可行,但需接受前牙后移。
- 前磨牙缺失: 关闭间隙对美观和功能影响相对较小(前磨牙位置靠前),是较常见的关闭间隙适应症。
- 多颗后牙缺失/缺牙区过长: 关闭间隙效果差,面型改变风险大,维持间隙或咬合重建更现实。
-
缺牙时间:
- 缺牙时间越长,邻牙倾斜、对颌牙伸长、缺牙区牙槽骨吸收越严重,矫正难度越大,效果越差。建议越早处理越好。
-
对颌牙状态:
- 对颌牙伸长: 是关闭间隙的最大障碍,必须先通过正畸压低伸长的对颌牙(通常需要种植体支抗),才能考虑关闭间隙,压低伸长的牙齿本身也需要时间和支抗。
- 对颌牙缺失: 情况更复杂,需要综合考虑上下颌的咬合关系重建。
-
患者年龄和骨骼状况:
- 成年人矫正速度慢于青少年,复发风险相对较高。
- 需要评估骨骼基础,判断牙齿移动的潜力和空间。
-
口腔卫生和维护:
(图片来源网络,侵删)- 矫正期间和矫正后,口腔卫生至关重要,移动的牙齿区域、关闭间隙的接触点、维持间隙的边缘都容易堆积食物残渣,导致龋齿和牙周病。必须保持良好的口腔卫生习惯,并定期洁牙。
-
保持:
- 无论采用哪种矫正方案,保持都是终身的! 尤其是关闭的间隙,复发风险很高,需要长期佩戴保持器(通常是透明保持器或固定保持丝),甚至可能需要终身佩戴。
-
费用:
复杂的正畸治疗(尤其是涉及支抗、咬合重建)费用不菲,可能接近甚至超过种植牙的费用,需要与医生详细沟通费用构成。
-
效果预期:
- 必须明确:矫正不能“种出”牙齿。 关闭间隙会改变牙齿位置和咬合关系;维持间隙只是为未来修复做准备;咬合重建是整体调整。不能期望达到种植牙那样的功能和美观效果。 效果因人而异,取决于缺牙情况、口腔条件、医生技术和患者配合度。
📝 总结与建议
- 种植牙是修复后牙缺失的“金标准”: 它能最有效地恢复咀嚼功能、维持牙槽骨、不损伤邻牙,效果稳定可靠,如果经济条件允许且身体条件允许,强烈建议优先考虑种植牙。
- 不种牙矫正的局限性: 矫正方案(关闭间隙、维持间隙、咬合重建)是替代或过渡性方案,存在显著局限性:
- 改变牙齿位置和咬合关系(关闭间隙)。
- 无法完全恢复咀嚼功能和美观(维持间隙)。
- 复杂、耗时、费用高(咬合重建)。
- 复发风险高,需终身保持。
- 效果通常不如种植牙理想。
- 寻求专业正畸评估: 强烈建议您咨询经验丰富的正畸医生进行面诊和全面检查(包括口腔检查、取模、拍X光片、CBCT等)。 医生会根据您的具体缺牙情况(位置、数量、时间)、口腔条件(牙齿位置、咬合、对颌牙、牙周、骨骼)、年龄、诉求、经济状况等,评估是否适合矫正、采用哪种方案(关闭/维持/重建)、预期效果、所需时间、费用、风险以及是否需要使用种植体支抗(微型骨钉)。明确告知医生您绝对拒绝任何形式的“种牙”(包括骨钉)。
- 充分沟通与知情同意: 与医生深入沟通,理解不同方案的优缺点、可能带来的改变(尤其是面型和咬合)、长期维护要求(保持器)、费用以及不处理缺牙的长期风险(邻牙倾斜、对颌牙伸长、咬合紊乱、关节问题、食物嵌塞、龋齿、牙周病等),权衡利弊后做出决定。
- 考虑其他非种植修复: 如果矫正方案不可行或不满意,可以考虑活动义齿(局部义齿) 或 烤瓷桥/全瓷桥(需要磨小缺牙区两侧的健康牙齿作为基牙),烤瓷桥修复速度快,但需磨牙;活动义齿无需磨牙,但异物感强,可能影响发音和咀嚼,长期佩戴可能加速牙槽骨吸收。
最终决定权在您手中,但务必基于充分了解信息。 后牙缺失长期不处理会导致一系列口腔健康问题,寻求专业意见至关重要,矫正是一种选择,但需对其效果和局限性有清醒的认识。💪🏻
