看到你在考虑昆山牙博士的种植牙服务,我能理解这种需要谨慎选择的心情,种植牙确实是一项重要的口腔修复投资,选择一家靠谱的机构确实让人费心,牙博士作为全国连锁的口腔品牌,在昆山应该有其分店,但具体体验如何,需要从多个维度来分析:
📌 1. 优势 (可能存在的积极方面)
- 连锁品牌背景:
- 规模与标准化: 作为全国连锁品牌,牙博士通常在设备采购、消毒流程、基础管理体系上有一定的标准化要求,可能比一些小型诊所更有保障,这能让你在基础卫生和安全方面更放心。
- 资源整合: 集团内部可能在专家资源、技术引进、学术交流方面有一定优势,特别是处理复杂病例时可能有更强的支持网络。
- 品牌信誉: 大品牌通常更注重口碑和长期发展,在宣传和基础服务上可能更规范,选择大品牌至少在基础安全上有一定保障。
- 技术设备:
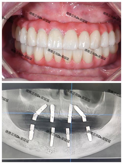
- 知名连锁机构通常会投入资金引进先进设备,如CBCT(锥形束CT)、数字化口扫仪、种植机、显微镜等,这些设备对于精准诊断、手术规划、微创操作、提升种植成功率和舒适度至关重要,看到先进的设备确实能让人安心不少。
- 可能会应用数字化导板技术,提高种植的精准度和安全性。
- 医生团队:
- 连锁机构通常会有相对完善的医生招聘和培训体系,但医生水平个体差异非常大,不能一概而论,关键在于具体给你做种植的主刀医生。
- 可能会聘请一些经验丰富的种植专家坐诊,尤其是在处理复杂病例方面。
- 服务与环境:
- 通常会提供预约制服务,减少等待时间。
- 诊室环境可能比较现代化、整洁舒适,有助于缓解看牙的紧张感。
- 服务流程可能相对规范,从咨询、检查、方案设计到术后跟踪,可能有一套标准流程。
- 价格体系:
- 价格通常相对透明,有明确的套餐或项目清单,虽然种植牙本身费用不低,但连锁机构一般不会随意加价,这点让人比较放心。
- 可能会提供分期付款等金融服务,减轻一次性支付的压力。
⚠ 2. 需要关注和考察的方面 (潜在风险或不足)
- 医生水平是核心:
- 这是最关键的因素! 连锁品牌只是平台,具体给你做手术的医生的技术、经验、审美、责任心直接决定了种植牙的成功率、使用寿命和你的体验,同一个机构,不同医生的水平可能天差地别。
- 务必深入了解主刀医生: 要求查看医生的执业证书、种植牙专项培训证书(如ITI、Straumann等品牌认证)、从业年限、成功案例数量(特别是与你情况类似的案例),不要害怕直接询问医生的经验和专长。
- 价格透明度与性价比:
- 种植牙费用较高,牙博士的价格在昆山属于中高端水平,需要详细询问报价包含哪些项目:是否包含种植体、基台、牙冠(是全瓷冠还是烤瓷冠?)、手术费、检查费(如CBCT费)、麻醉费、术后复查费?是否有后期可能的额外收费(如骨粉、骨膜、上颌窦提升等)?
- 对比昆山其他口碑好的机构(包括公立医院口腔科和知名私立诊所),了解市场行情,评估其性价比是否合理,不要只看低价陷阱,但也要警惕虚高价格。
- 营销导向:
- 连锁品牌通常营销投入较大,广告宣传较多,需要保持理性,不要被广告或促销活动冲昏头脑,广告说得再好,不如实地考察和了解真实案例。
- 可能存在过度推销的情况,比如推荐不必要的附加项目或更贵的材料,面诊时保持清醒,多问几个"为什么"。
- 分店差异:
- 不同城市、不同分店的管理水平、医生团队、服务细节可能存在差异。 昆山牙博士的具体表现需要单独了解,不能仅凭全国品牌印象判断。
- 患者评价与口碑:
- 在大众点评、百度地图、本地论坛等平台查看真实患者评价,特别关注关于医生技术、服务态度、术后效果、收费透明度的评价,注意辨别广告水军和真实差评。
- 可以尝试在本地牙友群或社交媒体上打听非广告性质的口碑,真实患者的经历往往比广告更有参考价值。
- 售后保障:
- 询问种植体的质保期是多久?由谁负责质保(机构还是医生)?如果出现问题,如何处理?保障机制是否清晰可靠?种植牙是长期使用,完善的售后保障很重要。
📍 给你的建议
-
务必实地考察和面诊: 这是最重要的一步!不要只看网上信息。
(图片来源网络,侵删)- 预约面诊: 亲自去昆山牙博士(你意向的那家分院)感受环境、服务流程。
- 详细咨询: 与咨询师和医生充分沟通,告知你的口腔状况、期望和顾虑。
- 要求看案例: 要求查看与你情况(如骨量、缺牙位置、年龄等)相似的真实案例照片和X光片(最好能看到术前术后对比)。
- 深挖医生背景: 重点了解给你做方案和手术的医生,要求查看其资质证明,并当面沟通,感受其专业度和沟通是否顺畅,你完全可以要求更换医生,如果对当前医生不满意的话。
- 索要详细报价单: 要求提供书面、详细的费用清单,逐项确认包含内容,并询问是否有潜在额外费用,最好要求在报价单上盖章确认。
- 观察细节: 注意诊所的卫生状况、消毒流程是否规范(可以留意消毒室)、设备新旧程度、护士态度等,这些细节能反映机构的整体管理水平。
-
多方对比:
- 不要只看一家。至少再对比2-3家昆山其他口碑好的口腔机构(包括公立医院口腔科和口碑好的私立诊所),对比内容包括:医生资质与经验、方案设计、使用的种植体品牌与质量、牙冠材料、价格明细、服务保障等,多对比几家能让你更清楚市场行情,避免被一家机构牵着走。
-
重点考察主刀医生:
- 再次强调,医生的技术和经验是种植牙成功的核心保障,选择一个技术好、经验丰富、沟通顺畅、让你放心的医生,比选择品牌本身更重要,如果牙博士的某个医生让你感觉不靠谱,果断换一家机构或换医生。
-
理性看待价格:
种植牙是长期投资,不要只追求最低价,但也不要盲目追求高价,在保证质量的前提下,选择性价比高的方案,了解不同种植体品牌(如ITI、Straumann、Nobel、Osstem、Dentium等)和牙冠材料(全瓷、烤瓷)的差异和价格区间。
(图片来源网络,侵删) -
信任自己的感受:
- 面诊过程中,如果感觉医生不耐烦、解答不清晰、机构有过度推销嫌疑、环境或卫生让你不舒服,相信自己的直觉,谨慎选择。
昆山牙博士作为全国连锁品牌,在基础保障、设备投入、环境服务方面通常有一定优势,值得作为考察对象之一。这绝不意味着它就是最佳选择,或者所有分店、所有医生都一样好。
决定你种植牙最终效果和体验的关键,永远是具体为你实施手术的那位医生的技术、经验和责任心,以及机构提供的真实保障和透明价格。
强烈建议你:

- 去昆山牙博士(意向分院)实地面诊,重点考察主刀医生。
- 索要详细报价和医生资质证明。
- 对比昆山其他至少2-3家口碑好的口腔机构。
- 综合比较医生水平、方案设计、价格透明度、保障措施、服务体验后,做出最适合自己的选择。
种植牙是一项对生活品质影响很大的投资,花时间多做功课、多对比是值得的,希望你能找到一位技术精湛、值得信赖的医生,顺利完成种植牙,重获健康自信的笑容!💪🏻
