支抗钉(微种植钉)的取下过程通常非常简单、快速且无痛,必须由你的正畸医生或口腔外科医生在诊所操作完成。绝对不要自行尝试取下!
以下是取下支抗钉的标准流程和要点:

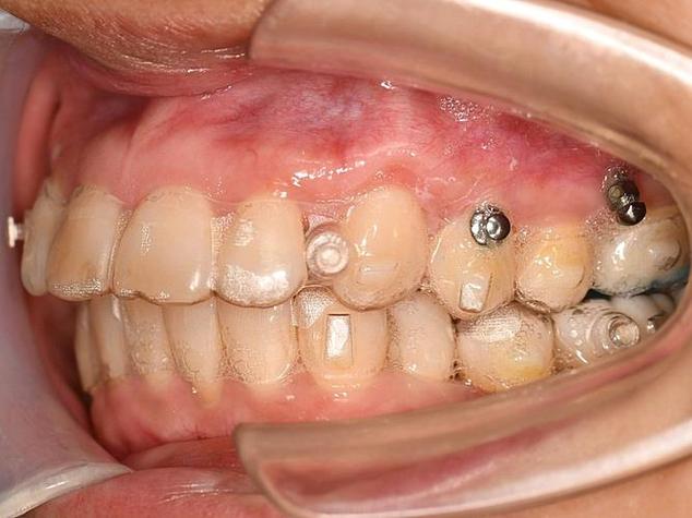
📍 1. 评估与准备
- 医生评估: 医生会先检查支抗钉周围的软组织(牙龈)是否愈合良好,确认没有明显的炎症或感染,同时会确认支抗钉已经完成了它的任务(比如牙齿移动到位)。
- 沟通: 医生会再次与你确认取钉的安排,并告知过程通常很快、很轻松。
- 局部麻醉(通常不需要,但可能使用): 虽然取钉过程本身通常不需要麻醉(因为钉子周围组织已经适应,且操作非常轻微),但如果钉子周围有轻微炎症或你对疼痛特别敏感,医生可能会在钉子周围注射少量局部麻醉剂,确保完全无痛。
📍 2. 取钉操作(核心步骤)
- 器械准备: 医生会使用专门的器械,通常是一个类似小扳手或螺丝刀形状的专用取钉器(有时也可能用持针器或蚊式钳,但专用工具更常见)。
- 固定与旋转:
- 医生会用器械稳稳地夹住或套住支抗钉的头部(暴露在牙龈表面的部分)。
- 医生会轻轻地、稳定地向逆时针方向旋转,支抗钉通常是自攻螺纹设计,取下时就是反向拧出。
- 轻柔取出: 一旦钉子开始松动,医生会感觉阻力减小,然后可以更轻松地将整个钉子从牙槽骨中旋出,整个过程通常只需要几秒钟到十几秒钟。
- 感觉: 大多数患者只感觉到轻微的压力感,或者几乎感觉不到什么,因为钉子周围的组织已经适应,且操作非常轻柔,疼痛感非常轻微,甚至没有,远没有打钉子时那么明显。
📍 3. 术后处理
- 检查: 医生会检查取钉后的钉孔,确认钉子已完全取出,没有残留。
- 压迫止血(如果需要): 钉孔可能会有少量渗血,医生可能会用棉球或纱布在钉孔处轻轻压迫几分钟,或者让你自己咬住棉球10-15分钟止血,通常出血很少。
- 清洁: 医生可能会用生理盐水或漱口水轻轻冲洗钉孔。
- 指导: 医生会告知你术后的注意事项:
- 避免刺激: 当天避免用舌头、手指或牙刷大力戳、抠取钉孔的位置。
- 口腔卫生: 正常刷牙,但轻轻刷取钉孔周围区域,可以使用漱口水(医生推荐)辅助清洁。
- 饮食: 避免过热、过硬、辛辣刺激的食物,防止刺激钉孔或引起出血。
- 愈合: 钉孔会像一个小伤口一样,在几天到一两周内逐渐愈合,牙龈会慢慢覆盖钉孔,最终可能只留下一个微小的痕迹,甚至不明显。
📍 重要注意事项
- 必须由专业医生操作: 自行取钉可能导致钉子断裂、软组织损伤、感染、疼痛加剧甚至更严重的并发症。
- 无痛是常态: 不要因为担心疼痛而焦虑,取钉过程通常非常轻松。
- 术后遵医嘱: 按照医生的指示进行术后护理,确保钉孔顺利愈合。
- 咨询医生: 如果取钉后出现异常疼痛、持续出血、肿胀加重或感染迹象(如脓液),请立即联系你的正畸医生。
- 取钉时机: 医生会在认为支抗钉任务完成、且取出不会影响后续矫治效果时安排取钉,有时为了保持效果,钉子可能会在矫治后期甚至保持阶段再取。
取下支抗钉是一个快速、简单、几乎无痛的门诊小操作,由你的正畸医生完成,医生会用专用器械轻轻地将钉子旋出,术后只需注意短期护理,钉孔会自然愈合。放松心情,相信你的医生,这个过程远没有你想象的那么复杂或痛苦! 😊 如果有任何疑问,随时和你的正畸医生沟通。

