突发牙齿问题不用慌,48小时重获健康好牙
生活中,牙齿问题总爱“突然袭击”:早上刷牙突然一阵剧痛,照镜子发现牙齿松动得厉害;或者运动时不小心摔倒,门牙直接磕断一半;又或是长期蛀牙的牙冠突然崩裂,露出黑乎乎的牙洞,疼得吃不下饭……牙齿“急症”不仅影响生活质量,更可能拖垮口腔健康,这时候,很多人会焦虑:“能不能马上拔掉坏牙?多久能种上?疼不疼?”我们就以“拜博口腔急拔急种牙”为核心,聊聊突发牙齿问题的高效解决方案,帮你告别“牙疼病”,快速重获咀嚼力。
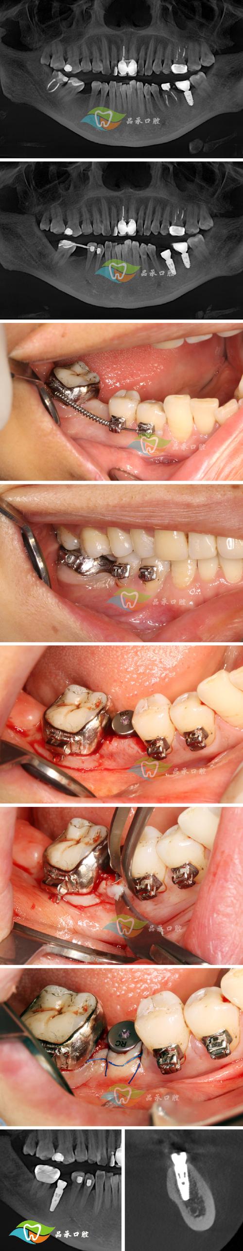
什么是“急拔急种牙”?为什么它能解决你的“燃眉之急”?
“急拔急种牙”,顾名思义,就是针对无法保留的急性牙齿问题(如急性根尖周炎导致牙根严重感染、外伤导致的牙齿断裂/脱落、牙周病晚期牙齿III度松动等),在24-48小时内完成拔牙、即刻种植牙的微创治疗技术。

传统种植牙通常需要“拔牙后等待3-6个月,等牙槽骨愈合后再种牙”,周期长、复诊次数多,但对于突发牙齿问题(比如前牙外伤影响美观、后牙剧痛影响进食),等待3个月显然不现实,而拜博口腔的“急拔急种牙”技术,通过精准的术前评估、微创拔牙技术和即刻种植技术,缩短了治疗周期,让患者在“一天之内”拔掉坏牙、种上新牙,甚至实现“当天种牙、当天用”(即刻负重),极大缓解了急性牙齿问题的痛苦和不便。
哪些情况需要“急拔急种”?这5类人尤其要注意!
并非所有牙齿问题都能“急拔急种”,它需要满足严格的适应症,如果你符合以下情况,建议尽快咨询拜博口腔,评估是否适合急拔急种:
急性牙髓炎/根尖周炎,剧烈疼痛
蛀牙深达牙髓,导致牙神经感染,引发剧烈疼痛(甚至夜不能寐),加上牙根周围有脓肿、牙槽骨破坏,无法通过根管治疗保留的牙齿。
外伤导致的牙齿断裂/脱落
比如前牙碰撞断裂、牙齿完全脱位(脱位时间不超过2小时),或牙根折断无法保留的牙齿。“黄金2小时”是外伤牙再植的关键,但如果牙根条件差,急拔后即刻种植是更好的选择。

牙周病晚期,牙齿严重松动
牙周病导致牙槽骨吸收,牙齿III度松动,甚至“晃得厉害”,吃东西时可能脱落,此时拔除松牙,避免感染扩散,同时即刻种植修复,防止牙槽骨进一步萎缩。
阻生智齿急性冠周炎
阻生智齿反复发炎,导致牙龈肿痛、张口受限,甚至引发面部间隙感染,对于无法正常萌出、反复发炎的阻生智齿,拔除后结合即刻种植(如果是后牙区),可避免后期邻牙被顶坏。
牙齿修复失败,牙冠/桩钉脱落
比如根管治疗后桩钉折断、牙冠崩裂导致牙齿二次感染,无法再次修复的牙齿,需及时拔除并种植。
拜博口腔“急拔急种牙”,凭什么让你“放心又省心”?
作为国内连锁口腔医疗品牌,拜博口腔在“急拔急种牙”领域积累了20+年的临床经验,形成了“精准评估-微创拔牙-即刻种植-快速负重”的一体化服务体系,核心优势体现在4个方面:

精准术前评估:用数据说话,避免“盲目种植”
急拔急种牙最关键的一步是判断牙槽骨条件,拜博口腔采用3D数字化CBCT+口扫仪,在拔牙前精准测量牙槽骨的厚度、高度、密度,以及神经血管的位置,确保种植体植入的位置、角度、深度都经过精密计算。
- 对于牙槽骨条件好(骨量充足、无严重吸收)的患者,可直接进行即刻种植;
- 对于牙槽骨轻微不足的患者,可通过“骨粉骨膜引导再生技术”同期或延期种植,避免二次手术;
- 对于牙槽骨严重萎缩的患者,拜博的“穿颧穿翼种植技术”可绕开牙槽骨,植入颧骨或翼板,实现“无牙颌当天种牙当天用”。
微创拔牙技术:“轻柔拔牙”,减少创伤和疼痛
很多人害怕“拔牙”,其实是担心疼痛和术后肿胀,拜博口腔采用微创拔牙器械(如超声骨刀、微创拔牙挺),配合计算机导航技术,精准分离牙齿与牙槽骨的连接,避免暴力锤击,实现“创伤小、出血少、疼痛轻”。
- 急性根尖周炎患者:拔牙前会先进行“根管开放引流”,缓解疼痛,再拔除坏牙;
- 外伤牙患者:对于脱位时间短、牙根健康的牙齿,会先尝试“再植”,若再植失败,再评估即刻种植;
- 阻生智齿患者:通过3D设计拔牙路径,避免损伤邻牙和神经,术后肿胀反应比传统拔牙减少50%以上。
即刻种植技术:“当天种牙”,缩短治疗周期
拔牙后,医生会在新鲜的牙槽窝内立即植入种植体(相当于“人工牙根”),拜博口腔采用亲水性种植体(如瑞典NobelActive、瑞士ITI),其表面特殊处理技术可促进骨细胞附着,骨结合速度比传统种植体快30%,缩短了“等待骨结合”的时间。
- 前牙区美学修复:对于前牙外伤或龋坏的患者,拔牙后即刻种植,同时安装临时牙冠,当天即可恢复美观和基本咀嚼功能,避免“缺牙尴尬”;
- 后牙区功能修复:对于后牙缺失的患者,若牙槽骨条件允许,即刻种植后可安装“临时修复体”,1-3个月后更换永久牙冠,避免传统种植牙“3个月无牙可用”的困扰。
医保政策支持:“省钱又省心”,降低治疗负担
很多人关心:“急拔急种牙能走医保吗?”答案是:部分项目可报销,具体看当地政策。
- 拔牙费用:符合医保规定的“牙齿拔除术”(如普通牙、智齿拔除),可按医保比例报销(通常在50%-70%之间,不同地区政策不同);
- 种植牙费用:目前大部分地区的“种植体、基台、牙冠”属于自费项目,但拜博口腔作为“医保定点单位”,会提供透明的价格清单,部分城市推出“种植牙惠民补贴”(如北京、上海、广州等),补贴后价格更低;
- 附加治疗费用:如拔牙前的“根管治疗”“牙周刮治”,或种植前的“骨粉骨膜植入”,若符合医保适应症,也可部分报销。
建议:治疗前,可向拜博口腔的医保专员咨询当地最新政策,提前了解报销范围和比例,避免“多花钱”。
拜博口腔急拔急种牙真实案例:从“牙疼吃不下饭”到“当天啃苹果”
案例1:上班族小张,前牙外伤断裂(28岁,程序员)
问题:加班回家时不小心撞到桌角,门牙断裂至牙根,牙龈出血剧烈,影响美观和进食。
过程:
- 2小时内赶到拜博口腔,CBCT显示牙根未折断,但牙髓暴露,无法保留;
- 当天完成“微创拔牙”,并在新鲜牙槽窝内植入亲水性种植体;
- 安装临时树脂牙冠,当天即可正常说话,1周后恢复工作;
- 3个月后更换全瓷永久牙冠,颜色与邻牙一致,看不出“种植痕迹”。
小张反馈:“本来以为要请假几个月,结果拜博帮我一天搞定,现在啃苹果、吃排骨都没问题!”
案例2:退休阿姨王阿姨,后牙剧痛无法进食(62岁,退休教师)
问题:后牙反复疼痛3天,吃药无效,牙龈肿起“脓包”,连稀饭都吃不下。
过程:
- 拜博医生检查发现:牙齿III度龋坏,牙根尖有脓肿,无法保留;
- 先进行“根管开放引流”,缓解疼痛,3天后炎症消退,拔除坏牙;
- 牙槽骨条件尚可,即刻种植植入种植体,安装临时牙冠;
- 2个月后更换永久全瓷牙,现在能正常吃坚果、啃排骨,生活质量大幅提升。
急拔急种牙后,这5点护理事项要牢记!
急拔急种牙虽然高效,但术后护理直接影响种植成功率,拜博口腔的医生会详细告知护理要点,核心包括:
术后24小时:冰敷+止血
拔牙和种植后,在术区冰敷(每次15分钟,间隔1小时),可减轻肿胀;咬住棉球30-60分钟,帮助止血(不要频繁吐口水,以免血凝块脱落)。
饮食:温凉、软烂,忌辛辣刺激
术后24小时内吃流食(如粥、酸奶、豆腐脑),避免用患侧咀嚼;3天内吃半流食(如烂面条、蒸蛋),1周内避免吃坚果、排骨等硬物,防止种植体松动。
口腔卫生:轻柔刷牙+漱口水
术后24小时可轻柔刷牙,避开术区;遵医嘱使用“含氯己定的漱口水”(如复方氯己定含漱液),每天3次,连续1周,预防感染。
避免剧烈运动和吸烟
术后1周内避免跑步、游泳等剧烈运动,以免血液循环加快导致出血;吸烟会严重影响骨结合,建议术后1-2周内避免吸烟,最好戒烟。
定期复查:关键节点别错过
- 术后1周:拆线,检查伤口愈合情况;
- 术后1个月:检查种植体稳定性;
- 术后3-6个月:拍CBCT,确认骨结合完成,安装永久牙冠。
突发牙齿问题?拜博口腔“24小时急诊”为你守护!
牙齿问题不会“挑时间”,拜博口腔深知你的焦虑,在全国多地门店开设“24小时口腔急诊”,无论白天深夜、节假日,只要你遇到:
- 急性牙痛(蛀牙、牙髓炎);
- 牙齿外伤(断裂、脱落);
- 牙龈肿痛、出血;
- 假牙损坏、疼痛;
随时可拨打拜博口腔急诊热线(400-XXX-XXXX),或通过“拜博口腔”官方公众号/小程序“在线咨询”,医生会第一时间指导处理,必要时安排到院急诊。
牙齿“急症”不可怕,选对方法是关键
牙齿问题“拖不得”,尤其是急性疼痛、外伤等情况,越早治疗,对口腔健康的影响越小,拜博口腔“急拔急种牙”技术,通过精准评估、微创拔牙、即刻种植,帮你“缩短治疗周期、减少疼痛创伤、快速恢复功能”,让你告别“牙疼病”,重拾健康好牙。
如果你或家人正面临突发牙齿问题,别再犹豫——点击下方链接,预约拜博口腔“急拔急种牙”专家号,或直接到店咨询,让专业团队为你解决“牙”的烦恼!
【预约通道】
👉 拜博口腔官方小程序:搜索“急拔急种牙”预约,享新人专享补贴;
👉 急诊热线:400-XXX-XXXX(24小时在线);
👉 全国门店地址:登录拜博口腔官网查询就近门店。
拜博口腔,用专业守护你的每一颗牙,让“急症”不再“急”!
