隐形牙套正畸(如隐适美、时代天使等)的效果非常好,在适应症范围内,其最终效果可以达到甚至媲美传统金属托槽矫正,它已经成为一种主流且备受青睐的正畸方式。
效果的好坏并非仅仅取决于牙套本身,而是由多个关键因素共同决定的:

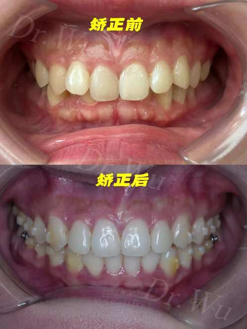
✅ 隐形牙套正畸的核心效果(优点)
-
显著的牙齿移动效果:
- 排齐牙齿: 解决牙齿拥挤、不齐的问题,让牙齿排列整齐。
- 关闭牙缝: 有效关闭牙齿之间的间隙。
- 纠正咬合关系: 改善深覆合(上牙盖下牙过多)、深覆盖(龅牙)、开合(上下前牙无法咬合)、反合(地包天)、偏颌等问题。
- 改善面部美观: 通过调整牙齿位置和咬合,常常能带来侧貌和微笑曲线的改善。
- 解决扭转: 对于牙齿的轻微到中度扭转,隐形牙套也能有效纠正。
-
卓越的美观性: 这是隐形牙套最大的优势,牙套由透明高分子材料制成,佩戴后几乎看不出,非常适合对美观要求高的人群(如成人、演员、模特等)。
-
舒适度高:
- 没有金属托槽和弓丝,避免了口腔黏膜被刮伤、溃疡的问题。
- 材质光滑,异物感相对较小(尤其是适应期过后)。
- 力量施加相对柔和、持续。
-
口腔卫生维护方便:
(图片来源网络,侵删)- 进食、刷牙、牙线时可以自行摘下牙套,彻底清洁牙齿和牙套本身。
- 大大降低了佩戴传统托槽后容易出现的蛀牙、牙龈炎等风险。
-
方便生活:
- 进食不受限制(只要摘下牙套即可),避免传统托槽可能遇到的饮食禁忌。
- 复诊周期相对较长(通常6-8周一次),对于工作繁忙或居住在偏远地区的人更友好。
- 某些社交场合(如重要会议、约会、演讲)可以临时取下(需遵医嘱,确保每天佩戴时间足够)。
⚠ 影响隐形牙套效果的关键因素(潜在缺点/注意事项)
-
医生的技术和经验(最关键!):
- 方案设计: 隐形牙套的效果极度依赖医生在矫正前通过专业软件(如ClinCheck)设计的方案,方案是否精确、是否能预测并实现理想的牙齿移动路径,直接决定了最终效果。一个经验丰富、技术精湛的正畸医生是成功的第一要素。
- 临床操作: 医生在佩戴过程中的监控、附件(小树脂点)的粘贴、附件的去除、对牙套贴合度的判断、对疑难问题的处理等,都至关重要。
-
患者的配合度(极其重要!):
- 佩戴时间: 必须保证每天佩戴20-22小时以上!这是隐形牙套有效的基础,只有长时间佩戴,才能持续施加轻柔而持续的矫正力,如果佩戴时间不足,牙齿移动会停滞甚至倒退,严重影响效果和延长治疗时间。
- 按时更换牙套: 严格按照医嘱(通常1-2周更换一副新牙套)进行更换,不能提前或延后。
- 清洁维护: 保持牙套和牙齿的清洁,避免食物残渣和细菌滋生。
- 按时复诊: 即使复诊周期长,也必须按时复诊,让医生检查进度和调整方案。
-
病例的复杂性:
(图片来源网络,侵删)- 适应症范围: 隐形牙套尤其擅长处理轻中度的牙齿排列不齐、牙缝、前突等问题,对于非常复杂的病例(如严重骨性畸形、需要大量拔牙、需要复杂支抗控制、需要精确的三维旋转移动的牙齿等),传统托槽有时可能更具优势或控制更精准,随着技术和材料的进步,隐形牙套能处理的复杂病例范围也在不断扩大。
- 拔牙病例: 需要拔牙的病例,隐形牙套也能完成,但对医生方案设计和患者配合要求更高。
-
牙套本身的因素:
- 材质和工艺: 不同品牌(隐适美、时代天使、Spark等)的牙套材料厚度、弹性、回弹力、透明度、抗染色能力等有差异,可能影响舒适度和效率。
- 附件: 为了增强对牙齿的控制(尤其是扭转、压低、伸长等复杂移动),需要在牙齿上粘贴小树脂点(附件),附件的存在可能会增加清洁难度,初期可能有刮嘴感。
- 牙套贴合度: 如果牙套与牙齿贴合不紧密(可能由于牙齿移动未达预期、附件脱落、牙套变形等),会影响矫正力传递,需要及时复诊处理。
- 异味: 部分人反映牙套可能有轻微塑料味或容易吸附食物气味。
📌 总结与建议
- 效果肯定: 在选择合适的适应症、由经验丰富的正畸医生设计并监控、以及患者高度配合的前提下,隐形牙套正畸的效果是非常可靠和显著的,能够达到理想的牙齿排列和咬合改善,同时带来美观和舒适的双重优势。
- 不是万能: 它并非适用于所有类型的错颌畸形,对于极其复杂或需要精细三维控制的病例,传统托槽可能仍是更优选择或需要联合使用。
- 核心在于人: 医生的技术和经验是决定性因素,患者的配合度是保障,不要只看重品牌或价格,选择一个专业、负责、经验丰富的正畸医生至关重要。
- 充分沟通: 在决定前,务必进行详细的咨询和检查(拍片、取模等),让医生评估你的牙齿情况是否适合隐形牙套,并了解预期效果、治疗时间、费用、风险以及需要患者配合的具体要求。
- 管理期望: 矫正是一个漫长的过程(通常1.5-3年),效果是逐渐显现的,要有耐心和毅力,严格遵从医嘱。
隐形牙套正畸是一项技术成熟、效果可靠的正畸方式,尤其适合注重美观和生活便利性的轻中度错颌畸形患者,只要选对医生、积极配合,你完全可以拥有一口整齐漂亮的牙齿和自信的笑容! 建议你多咨询几位正畸医生,拍片检查后,根据专业建议和自身情况做出最适合自己的选择。💪🏻
