正畸治疗中“上方丝”(即上颌弓丝)的使用阶段不是固定的一个特定数字,而是取决于你当前的治疗目标、牙齿移动的进度以及使用的弓丝类型。
正畸治疗通常分为几个主要阶段,每个阶段会使用不同尺寸、不同材质(如镍钛丝、不锈钢丝)和不同形态(如圆丝、方丝)的弓丝来达到特定的目标。“上方丝”是贯穿多个阶段的核心工具,但它的角色和特性会随着阶段变化而改变。

以下是常见的正畸阶段以及“上方丝”在其中扮演的角色:
📍 1. 初始排齐与整平阶段
- 目标: 将拥挤错位的牙齿排齐到牙弓的正确位置,将牙弓整平(消除过深的覆颌或过大的覆盖)。
- 上方丝特点: 通常使用较细的、弹性好的镍钛圆丝(如 0.014", 0.016"),这种丝柔韧性好,能温和、持续地施加力量,使牙齿在三维空间上移动到大致正确的位置。
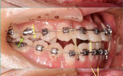
- 阶段判断: 如果你的上颌现在戴着的是一根细的、银色或蓝色的、有点弹性的圆丝,那么你很可能处于这个第一阶段或早期阶段。
📍 2. 关闭拔牙间隙/调整咬合阶段
- 目标: 如果拔除了前磨牙(通常是为了解决拥挤或前突),这个阶段的核心就是关闭拔牙留下的缝隙,同时开始调整牙齿的倾斜度和咬合关系。
- 上方丝特点: 通常会换上较粗的、弹性或刚性的镍钛方丝或不锈钢方丝(如 0.018" x 0.025" 镍钛方丝,或 0.019" x 0.025" 不锈钢方丝),方丝能提供更精确的控制力,用来倾斜牙齿、旋转牙齿、以及通过滑动法或关闭曲法关闭间隙。
- 阶段判断: 如果你的上颌现在戴着的是一根方形的、颜色可能是银色(不锈钢)或蓝色/金色(镍钛)的丝,并且医生可能在关注你牙齿之间的缝隙(特别是拔牙位置),那么你很可能处于这个第二阶段或中期阶段。
📍 3. 精细调整与稳定阶段
- 目标: 在牙齿基本排齐、间隙关闭、咬合关系建立后,进行精细调整,确保每颗牙齿都达到理想的位置、角度和接触关系,为保持阶段做准备。
- 上方丝特点: 可能会使用更精细的方丝(如 0.017" x 0.025" 或更细的方丝),或者较细的不锈钢圆丝,有时会使用多股麻花丝或钛镍圆丝进行最后的轻柔调整和稳定,也可能开始使用颌间牵引(橡皮筋)来完善咬合。
- 阶段判断: 如果你的上颌戴着的是一根非常细的方丝或圆丝,或者医生在用精细的工具调整你的牙齿,并且告诉你“快好了”或“在精细调整了”,那么你很可能处于这个第三阶段或后期阶段。
📍 4. 保持阶段
- 目标: 保持治疗成果,防止牙齿复发回原来的位置。
- 上方丝特点: 不再使用活动的弓丝,而是使用保持器,最常见的是上颌透明压膜保持器或上颌 Hawley 保持器(带钢丝的),这些保持器里有固位丝,但它们是保持器的一部分,不是用于主动移动牙齿的“弓丝”。
- 阶段判断: 如果你的上颌戴的是透明的塑料牙套或者一个带钢丝的塑料基托,里面有一根弯好的金属丝,那么你已经进入了保持阶段,不属于主动正畸的弓丝阶段了。
📌 总结与关键点
- 没有“第几个上方丝”的固定说法: 上方丝在治疗的不同阶段都会被更换,其形态和功能是变化的。
- 阶段由弓丝类型和目标决定:
- 细镍钛圆丝 → 初始排齐整平(第一阶段)
- 方丝(镍钛或不锈钢) → 关闭间隙/调整咬合(第二阶段)
- 细方丝/圆丝/多股丝 → 精细调整/稳定(第三阶段)
- 保持器内的固位丝 → 保持阶段(非主动正畸阶段)
- 个体差异大: 每个人的治疗方案不同,拔牙与否、牙齿问题的复杂程度都决定了各阶段的时长和使用的具体弓丝。
- 直接问你的正畸医生: 最准确的方法是直接问你的正畸医生或助手。 他们最清楚你当前处于哪个治疗阶段,以及为什么选择现在这根上方丝,你可以问:“医生,我现在这个上方的丝,是属于治疗哪个阶段的呀?”
📎 如何判断当前阶段(供参考)
- 看丝的形态: 是圆丝还是方丝?粗还是细?
- 看丝的材质/颜色: 银色(不锈钢)?蓝色/金色(镍钛)?
- 关注牙齿变化: 牙齿是否整齐了?拔牙的缝隙是否在变小?咬合是否感觉好多了?
- 听医生的话: 医生通常会告诉你下一步计划或当前重点是什么。
希望这些信息能帮你更好地理解自己的正畸进度!💪🏻 如果还有疑问,下次复诊时一定要和医生沟通清楚哦。

